肺不张
严格说肺不张(atelectasis)应指出生后肺从未充盈过气体,而已经充气的肺组织失去原有的气体(de-aeration)应称作肺萎陷(pulmonarycollapse)。但由于多年来沿用习惯,广义肺不张可包括先天性肺不张及后天性肺萎陷。 医学百科网 | YxBaike.Com
疾病别名:新生儿原发性肺膨胀不全,肺萎陷
医学百科网 | YxBaike.Com
所属部位:胸部
就诊科室:呼吸内科,儿科 医学百科网 | YxBaike.Com
症状体征:发热呼吸异常胸痛胸廓异常腰背痛
医学百科网 | YxBaike.Com
病因编辑本段
肺不张在小儿时期比较常见,可由多种原因引起肺组织萎缩或无气,以致失去正常功能。按其病因可分为三类。
医学百科网 | YxBaike.Com
1、外力压迫肺实质或支气管受压迫,可以有下列四种情况。
医学百科网 | YxBaike.Com
(1)胸廓运动障碍:神经、肌肉和骨骼的异常,如脑性瘫痪、脊髓灰质炎、多发性神经根炎、脊椎肌肉萎缩、重症肌无力及骨骼畸形(佝偻病、漏斗胸、脊柱侧弯)等。北京以多发性神经根炎为最常见。 医学百科网 | YxBaike.Com
(2)膈肌运动障碍:由于膈神经麻痹或腹腔内压力增高。常为各种原因引起的大量腹水所致。
(3)肺膨胀受限制:由于胸腔内负压减低或压力增高,如胸腔内积液、积气、脓胸、血胸、乳糜胸、张力性气胸、膈疝、肿瘤及心脏增大等。
医学百科网 | YxBaike.Com
(4)支气管受外力压迫:由于肿大的淋巴结、肿瘤或囊肿的压迫,支气管管腔堵塞,空气不能进入肺组织。扩大的左心房及肺动脉可压迫左总支气管导致左肺不张。北京儿童医院常见病例属于肿瘤型支气管淋巴结结核引起的肺不张;还曾见2例高位室间隔缺损的患儿,其左室血直接经缺损入肺动脉,以致肺动脉扩大,压迫左总支气管,引起全左肺不张。
肺不张2、支气管或细支气管内的梗阻支气管内腔被阻塞,可有下列几种情况: 医学百科网 | YxBaike.Com
(1)异物:异物堵塞支气管或细支气管引起大叶性或肺段性肺不张。偶有异物堵塞气管或主支气管引起双侧或一侧肺不张。
医学百科网 | YxBaike.Com
(2)支气管病变:支气管粘膜下结核、结核病肉芽组织,白喉伪膜延及气管及支气管。 医学百科网 | YxBaike.Com
(3)支气管壁痉挛及管腔内粘稠分泌物堵塞:婴儿的呼吸道较狭小,容易被阻塞。患肺部炎症性疾病如肺炎、支气管炎、百日咳、麻疹等及患支气管哮喘时,支气管粘膜肿胀,平滑肌痉挛,粘稠分泌物可阻塞呼吸道引起肺不张。此类病因多见于冬春季,故肺不张的发病也以寒冷季节为多。止咳药如阿片、阿托品等既能减少自然的咳嗽,又能使分泌物变稠,都可增加梗阻,故不可滥用。
医学百科网 | YxBaike.Com
脊髓灰质炎或其他原因引起的膈肌及胸部肌肉张力低下甚或麻痹时,支气管分泌物不易咳出。在胸部手术进行较长时间的全身麻醉、深麻醉或外伤性休克的情况下,由于刺激引起支气管痉挛,加以支气管分泌物本来有所增加,如咳嗽反射遭受抑制或消失,分泌物更易堵塞管腔,引起肺不张。 医学百科网 | YxBaike.Com
毛细支气管炎、间质性肺炎及支气管哮喘时,常引起多数细支气管的梗阻。初期表现为梗阻性肺气肿,其后则一部分完全梗阻,形成肺不张,与肺气肿同时存在。
医学百科网 | YxBaike.Com
根据支气管镜直接检查的结果,可以阐明梗阻性肺不张的形成。
医学百科网 | YxBaike.Com
肺不张3、非阻塞性肺不张除以上两类外,近年来对非阻塞性肺不张越加重视,其主要原因为:
(1)表面活性物质(surfactant)缺乏:肺表面活性物质由Ⅱ型肺泡上皮细胞生成,是一种磷脂蛋白质复合物,起主要作用的是二棕搁酰卵磷脂。表面活性物质衬覆在肺泡内面,具有降低肺泡的气-液交界面表面张力的作用,有稳定肺泡防止肺泡萎陷的功能,如果表面活性物质缺乏则肺泡表面张力增大,肺泡回缩力增加,肺泡即萎陷,造成很多处微型肺不张(microatelectasis)。肺表面活性物质缺乏可见于:①早产儿肺发育不成熟;②支气管肺炎特别是病毒肺炎致表面活性物质生成减少;③创伤、休克等初期发生过度换气,迅速消耗了表面活性物质;④吸入毒气或肺水肿等使表面活性物质破坏及变性。正常肺的表面张力为6达因/cm,而表面活性物质缺乏时,呼吸窘迫症婴儿的表面张力可达23达因/cm。
(2)另一种非阻塞性肺不张可能与肺终末气道神经肌肉结构有关:不少学者证实,远离气道直到肺泡管及肺泡囊有一种肌弹力纤维,系平滑肌和弹力纤维交织在一起,受植物神经控制。当剧痛如肋骨骨折及手术时,或支气管受强烈刺激如行支气管造影时,肌弹力纤维收缩可造成肺不张,特别是大片肺萎陷。
(3)呼吸过浅:如手术后及应用吗啡,或昏迷与极度衰弱的病人均可见呼吸浅表。当肺内压力减低到不足以抗拒局部表面张力时,就可逐渐引起肺泡关闭与肺不张。鼓励手术后病人深呼吸可防止肺泡关闭,或可使因呼吸表浅而关闭的肺泡重新开放。
医学百科网 | YxBaike.Com
总之,肺不张在小儿发病数较高,其病因以毛细支气管炎、支气管炎、哮喘、支气管淋巴结结核、多发性神经根炎、支气管异物及手术后较多见。此外,还可见于吸入性肺炎、支气管扩张、颅内出血、心内膜弹力纤维增生症、先天性心脏病、肿瘤等。
医学百科网 | YxBaike.Com
症状编辑本段
肺不张1、症状及体征由于病因及范围大小不同,症状也不同。今按不同范围的肺不张分别叙述如下。
医学百科网 | YxBaike.Com
(1)一侧或双侧肺不张:常由多种原因,如胸肌、膈肌麻痹,咳嗽反射消失及支气管内分泌物梗阻等综合而发生一侧或双侧的肺不张。起病很急,呼吸极为困难,年长儿能自诉胸痛和心悸,可有高热,脉速及发绀。发生于手术后者,多在术后24小时内发生。明显的胸部体征如下:①同侧胸廓较扁平,呼吸运动受限制。②气管及心尖搏动偏向病侧。③叩诊时有轻微浊音,但在左侧可被上升的胃所遮蔽。④呼吸音微弱或消失。⑤膈肌移高。 医学百科网 | YxBaike.Com
(2)大叶性肺不张:起病较慢,呼吸困难也较少见。体征近似全侧肺不张,但程度较轻,可随不张的肺叶而有所不同。上肺叶不张时,气管移至病侧而心脏不移位,叩诊浊音也仅限于前胸;下叶不张时,气管不移位而心脏移向病侧,叩诊浊音位于背部近脊椎处;中叶不张时,体征较少,难于查出。由于邻区代偿性肺气肿,叩诊浊音往往不明显。 医学百科网 | YxBaike.Com
(3)肺段不张:临床症状极少,不易察觉。肺不张可发生于任何肺叶或肺段,但以左上叶最为少见,只有先天性心脏病时扩大的左肺动脉压迫左上叶支气管可引起左上叶肺不张。小儿肺不张最常见于两肺下叶及右肺中叶;下呼吸道感染时肺不张多见于左下叶及右中叶;结核性肿大淋巴结多引起右上及右中叶不张。"中叶综合征"(middlelobesyndrome)指由于结核、炎症、哮喘或肿瘤引起的中叶不张,长期不消失,反复感染,最后可发展为支气管扩张。
医学百科网 | YxBaike.Com
2、肺功能检查可见肺容量减少,肺顺应性下降,通气/血流比率异常以及程度轻重不等的动静脉分流,低氧血症等。 医学百科网 | YxBaike.Com
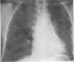
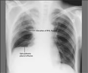
3、X线检查X线特点为均匀致密阴影,占据一侧胸部、一叶或肺段。阴影无结构,肺纹理消失及肺叶体积缩小。一侧或大片肺不张时可见肋间变窄、胸腔缩小。阴影位置随各肺叶肺不张的部位而异。下叶肺不张在正面胸片中成三角形阴影,位于脊柱与膈肌之间,在侧片中则靠近后胸壁。若系上叶肺不张,则正面、侧面影均呈楔形,其尖端向下并指向肺门。若系右侧中叶的肺不张,其正面阴影呈三角形,底部位于心影的右缘,尖端指向外侧;其侧影为一楔形,底部近前胸壁,位于膈肌之上,尖端向后及向上。在幼婴时期,除代偿性肺气肿之外,其他代偿现象如气管与心脏移位及膈肌上升,可暂不凧??,直至肺不张持续较久后才发生。但由于表面活性物质不足造成的微型肺不张,肺多呈毛玻璃状阴影,X线表现与小叶肺炎无异。
医学百科网 | YxBaike.Com
4、病程梗阻性肺不张可以短暂或持久。肺炎、毛细支气管炎、哮喘及支气管炎所致粘液栓塞或粘膜水肿而形成的肺不张,时间较短,消炎去肿后即易消失。由于结核病或未取出的异物时,肺不张可较持久。双侧或大面积肺不张常迅速死亡,应立即用支气管镜吸出堵塞物,并进行人工呼吸抢救才可存活。 医学百科网 | YxBaike.Com
检查编辑本段
1.肺功能检查 医学百科网 | YxBaike.Com
2.胸部X线片:显示肺不张,X线检查起主要诊断作用,尤以****为简捷。但局限于一个肺叶的肺不张,有时很难与肺炎区别,须参照肺叶解剖位置来考虑。必要时可作支气管镜检查以确定梗阻的部位及性质,同时也可作适当治疗。
治疗编辑本段
有特殊病因的应作去因疗法,如取出异物,应用抗生素及抗结核治疗等。一般用雾化吸入,吸取气管分泌物,须多变动病儿的体位,或利用拍背方法,使分泌物容易向外排出。对症治疗可用支气管扩张药、消炎药以及化痰止喘药。有呼吸困难时给氧。如不张肺部仍有感染现象,宜采用抗菌药物,一般先肌注青霉素,无效时可改用其他抗菌药物。必要时施行支气管窥视术及吸引分泌物。
医学百科网 | YxBaike.Com
护理编辑本段
肺不张1心理护理
医学百科网 | YxBaike.Com
2翻身、拍背、辅助咳痰血压稳定,撤离呼吸机拔除气管插管后,即可翻身,拍背,以后每2h翻身1次,以防止因重力作用,分泌物沉积在胸背及肺底部,叩背手法:手掌微凹呈弓型,由下至上,由边缘到中央,有节奏地叩拍患者背部,同时嘱患者深呼吸。经过上述措施后痰液大多已从肺泡周围进入气管,或痰液已松动,此时鼓励患者进行有效的咳嗽排痰。嘱患者深呼吸,在呼气的2/3时咳嗽,重复数次,因深呼吸可带出少量肺底部分泌物,配合咳嗽可产生痰液移动及加强咳出效果。
医学百科网 | YxBaike.Com
3雾化吸入可给予雾化吸入,以使气道湿化,黏液变稀便于咳出。药物通过超声波的作用产生的雾化量大,雾滴小,药物能随深而慢的吸气,均匀地到达终末支气管肺泡,有效地发挥抗菌消炎稀释痰液的作用,可以使痰液迅速排出,保持呼吸道通畅,有效预防肺不张、肺部感染的发生。 医学百科网 | YxBaike.Com
4鼻导管吸痰病情严重、无力咳嗽或全麻未清醒未撤离呼吸机的患者可采用鼻导管吸痰,粗细适宜、动作轻柔、边抽边吸,以免损伤气道黏膜,吸痰前给纯氧吸入5~10min,一次吸痰时间不超过15s。
医学百科网 | YxBaike.Com
5气管内给药在呼吸机撤离前如发现痰液黏稠,不易吸出,可通过气管插管内滴入生理盐水2.5ml,患者会发生呛咳反应、剧烈咳嗽,同时气管内给药也可湿化气道,稀释痰液,促进排痰。
医学百科网 | YxBaike.Com
6气囊加压,通气膨肺听诊呼吸音者低、呼吸音粗或干湿性口罗音者,经上述处理仍无改善,可给予气囊加压通气。促进肺复张。神志清楚能配合的患者也可嘱其用力吹气球,造成肺内正压,使肺泡在压力下有效复张。
医学百科网 | YxBaike.Com
鉴别编辑本段
预防编辑本段
具体预防措施:选用比一般略细不带密封气囊的气管导管;气管内冲洗及气管内温湿化;加强胸部物理治疗;机械通气加用PEEP,以防呼气终末肺泡萎陷;撤机、拔管前后的处置(静脉推注地塞米松、吸痰、雾化、拍背、翻身)等。 医学百科网 | YxBaike.Com
并发症编辑本段
如肺不张长期存在,在肺不张基础上容易继发感染,造成支气管损害及炎性分泌物潴留,日久可发生支气管扩张及肺脓肿。 医学百科网 | YxBaike.Com
相关词条编辑本段
附件列表
词条内容仅供参考,如果您需要解决具体问题,请遵医嘱或咨询医师。
本站词条内容如果涉嫌侵权,请与客服联系,我们将及时进行处理。如需转载,请注明来源于www.yxbaike.com
