胸膜孤立性纤维瘤1例
发布时间:2022-10-22
发布时间:2022-10-22
【临床资料】
男性,70岁。平素体健,半个月前发现右颈部肿块,后自行消失。
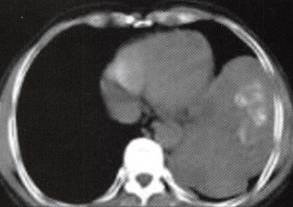
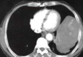
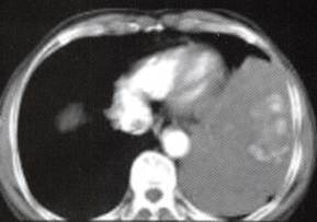
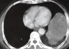
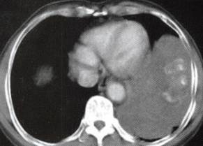
图1胸膜孤立性纤维瘤

A

B

C

D

E

F
【影像学检查】
A.B.CT平扫示左中下胸巨大肿块,宽基底与胸壁相连,内见斑片状钙化;
C~F.CT增强扫描肿块内缘肺门侧见一血管蒂样结构与纵隔相连,中度不均匀强化,内见匍行、紊乱的血管影,肿块中度均匀强化;
G.H.矢状位及冠状位重组见肿块与左膈面、左侧下胸壁宽基底相连,边缘胸膜掀起
【最后诊断】
胸膜孤立性纤维瘤(良性术后病理)。
【诊断要点】
孤立性纤维瘤(solitary fibrous tumor,SFT)以往被认为是间皮瘤的一种类型,故又称为局限性间皮瘤、局限性纤维性间皮瘤等,目前倾向认为起源于树突状间质细胞,多见于中年人,良恶性之比约为7:1,没有明显性别差异。好发于胸膜腔,还可以在腹膜、腹膜后、纵隔、四肢、鼻咽、眼眶等部位发生,发生于纵隔处较少见,影像表现不具有特征性,诊断准确率较低。免疫组化显示CD34表达强阳性。
1.临床表现:肿瘤生长缓慢,约50%的患者无临床症状,随着肿瘤增大,出现相应呼吸困难、咳嗽及胸痛等症状,大的肿瘤可伴副肿瘤综合征,如杵状指、肺性骨病、低血糖等。
2.X线平片:
1)胸膜下孤立性肿块,直径通常>5 cm,边缘光整,密度均匀。
2)巨大肿块可占据大部分胸腔,难以显示边界。
3.CT表现:
1)多位于肋胸膜下的孤立性肿块,1〜25 cm大小,圆形或分叶,与胸壁成钝角或锐角。
2)肿块边缘光整,密度均匀,大的肿块因变性、坏死、出血而密度不均匀,钙化少见。
3)肿瘤富含血管,增强扫描强化程度明显高于软组织,可见匍行、紊乱、粗细不等的肿瘤血管。.
4)“胸膜尾征”或“胸膜蒂”:前者指肿块周围肺组织无浸润,边缘逐渐变窄,胸膜掀起;后者指肿块边缘逐渐变窄呈“蒂”与纵隔胸膜相连,蒂中含有肿瘤血管。改变体位扫描,病变位置和形态变化提示诊断SFT。
5)大量胸腔积液或胸壁侵蚀提示恶性。
4.MRI表现:
优于CT检查,能较好地显示组织成分、形态学特征及与胸壁的关系,对定性诊断有较大帮助。肿块T1WI为低或中等信号,T2WI表现为特征性的低信号,肿瘤巨大时为高低混杂信号;增强扫描小病灶强化均匀,大的病灶不均匀,可见异常血管结构影。
【分析思路】
诊断依据:
1.患者为男性,70岁。平素身体健康,胸片偶然发现。
2.左胸巨大孤立性肿块,贴于胸膜面,境界清晰,边缘光滑,可见钙化。
3.增强扫描肿块强化明显,并见“胸膜蒂”与纵隔胸膜相连,蒂内有强化的血管影及肿块内匍行、紊乱的血管影。
4.矢状位及冠状位重组见肿块边缘有典型的“胸膜尾征”。
5.无肺门、纵隔淋巴结增大,无胸腔积液及胸壁浸润。
无症状患者,偶然发现胸部巨大肿块,增强扫描示胸膜蒂及异常血管影,无转移侵蚀征象,高度提示胸膜孤立性纤维瘤,手术见胸膜蒂与左下肺韧带相连,肿块游离于胸腔内。
鉴别诊断:
1.胸膜恶性间皮瘤:①广泛胸膜结节或胸膜弥漫性增厚。②胸腔积液和/或胸壁侵蚀。
2.肺硬化性血管瘤:①大多2〜7 cm大小,圆形,边缘光整。②肿瘤富含血管,增强扫描强化明显且延迟,所见异常血管影围绕病灶边缘,形成“贴边血管征”。而胸膜孤立性纤维瘤血管影随蒂样软组织结构引入病灶,形成病灶内异常走行不规则血管影。
3.肺隔离症:①多位于左下肺叶基底段脊柱旁沟。②因易反复感染,密度不均匀,分界不清,边缘见模糊索条影。③CTA见来自体循环供血动脉,无胸膜蒂及蒂样血管,无病灶内异常走行不规则血管影。④临床有慢性反复感染症状。
4.肺癌:①类圆形,多有“分叶征”、边缘“毛刺征”。②钙化少见且为点样,巨大肿块多有坏死,密度不均匀。③肿瘤很大时,多有胸腔积液和淋巴结转移。④临床症状明显。
上一篇:心包囊肿1例CT及MR
下一篇:反流性食管炎1例X线影像表现