心包囊肿1例CT及MR
发布时间:2022-10-22
发布时间:2022-10-22
【临床资料】
男性,46岁。体检发现纵隔占位21个月。
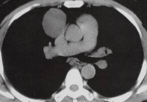
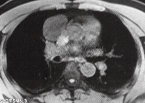
图1心包囊肿

A

B

C

D

E

F
【影像学检查】
A.B.X线胸部正侧位片示右心缘前上部见一类圆形高密度占位,边缘清晰;
C.D.CT增强扫描示上腔静脉前方囊性占位未见强化,其内密度均匀,呈水样密度,边界清晰锐利;
E.H.MRI平扫示肿块位于心底呈长T1、长T2信号,冠状位示肿块呈哑铃状,与心包关系密切
【最后诊断】
心包囊肿(术后病理)。
术中见肿物呈哑铃形,部分位于心脏右侧,约6 cmx5 cm大小,囊性,壁薄,边界清晰,活动度可,部分位于上腔静脉后方奇静脉弓上,性质同前,约4 cmx4 cm大小,两者之间有一个4 mm宽绕过上腔静脉后方的管状通道相通。该通道左侧壁紧贴心包上缘、升主动脉起始部,通道左壁有一直径约2 mm的蒂与心包连通。病理(心包)纤维性囊壁组织,内衬单层间皮细胞,符合心包囊肿。
【诊断要点】
心包囊肿(pericardial cyst)为先天发育畸形,是由于原始心包板不能融合或胚胎期组成心包膜的芽胞未能融合,残留发育而形成,各个年龄段均可发病,占心脏和心包原发肿瘤的6.5%,占原发性纵隔囊肿的1.7%,通常位于前纵隔的胸膜横膈角处,其中60%〜65%位于右心膈角处,也可发生于升主动脉和心脏交界处或左心膈角处。
1.临床表现:多数患者无自觉症状,往往在体检时偶然发现。有1/3的患者可有心悸、气短、咳嗽、胸痛及心前区不适等,囊肿合并感染时可出现炎症表现。
2.X线表现:囊肿位于心膈角下前方,形状各异,呈圆形、椭圆形或分叶状,因重力作用上部较小、下部较大,边缘光滑,透视下囊肿形态可随体位改变而发生变化,与心影不能分开,可有传导搏动,侧位观察有时囊肿呈泪滴状。
3.CT表现:心包囊肿表现为圆形、椭圆形或分叶状与心包关系密切,囊肿增大可延伸进入叶间裂,囊肿边缘光滑锐利,囊内密度均匀,呈水样密度,增强扫描无强化,如有感染、粘连则边缘毛糙,囊壁钙化者少见,多呈蛋壳样。
4.MRI表现:可清晰显示囊肿的形态及性质,囊壁在T1WI和T2WI上均呈线样低信号影,囊液呈典型水样长T1、长T2信号,多方位显亦囊肿与心包关系密切。
【分析思路】
诊断依据:
1.患者体检时偶然发现纵隔占位,无自觉症状。
2.胸部正侧位片前纵隔中上部右心缘旁有一类圆形高密度占位,边缘清晰。
3.囊性肿块位于心底呈长T1、长T2信号,冠状位显示肿块呈哑铃状,与心包关系密切。
4.CT增强扫描囊性占位未见强化,其内密度均匀呈水样密度,边界清晰锐利。
该病例由于发病部位不典型,所以诊断时容易误诊。
鉴别诊断:
1.纵隔皮样囊肿:多发生于前纵隔的上中部,囊肿成分复杂,可含有脂肪、骨骼、钙化、软组织成分。
2.支气管囊肿:常位于中纵隔,呈圆形或类圆形,与气管或大支气管相连。
3.包裹性纵隔和叶间胸膜积液:常有胸膜肥厚、胸腔积液,包裹性积液与胸壁呈宽基底相连。
4.心包憩室:透视下观察,改变体位时囊肿形态有变化,体积缩小。
上一篇:胸膜孤立性纤维瘤1例CT影像表现
下一篇:胸膜孤立性纤维瘤1例