胸骨浆细胞骨髓瘤1例CT影像表现
发布时间:2022-10-22
发布时间:2022-10-22
【所属科室】胸外科
【基本资料】男,66岁
【主诉】发现胸骨隆起1年余
【现病史】患者于1年前发现胸骨局部隆起,无红肿热痛,当时未予治疗,近来自觉隆起明显增大,伴胸前区隐痛不适。
【专科检查】胸骨上段局部隆起,压痛明显,胸部呼吸运动正常














【讨论问题】诊断?鉴别诊断?
【医学影像APP用户讨论】
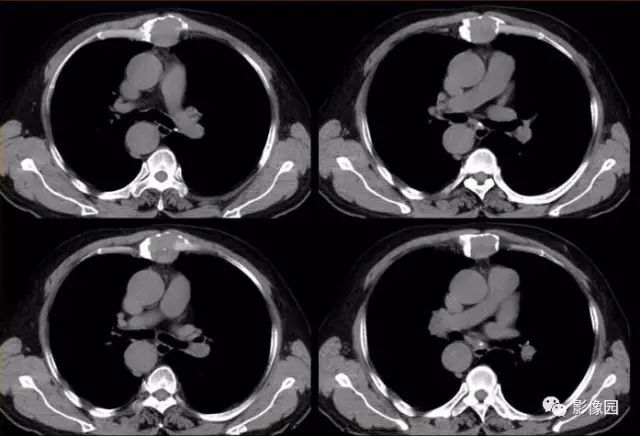
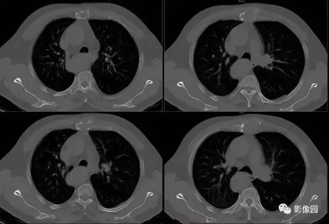
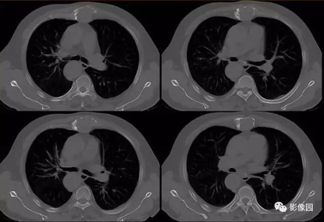
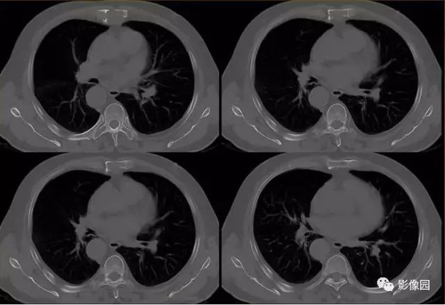
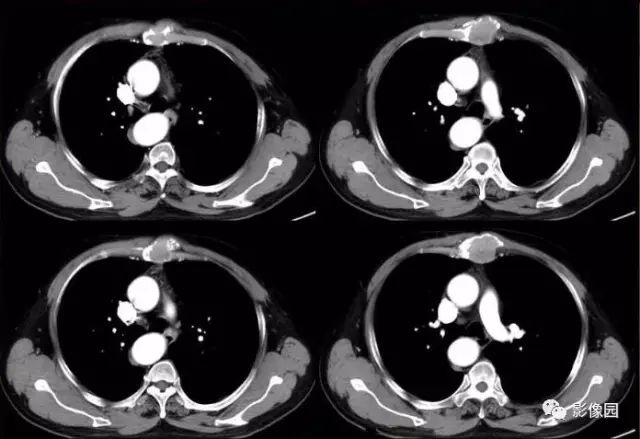
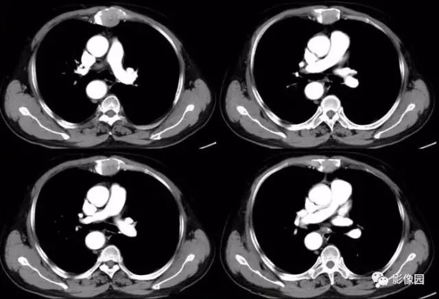
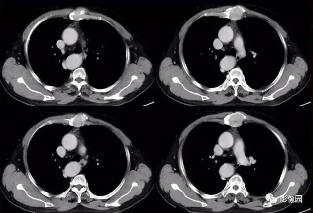
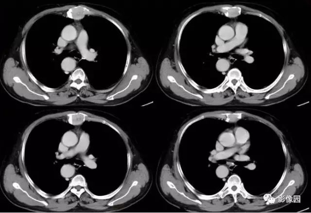
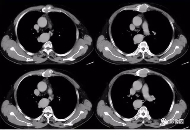
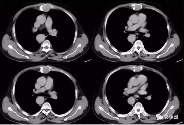
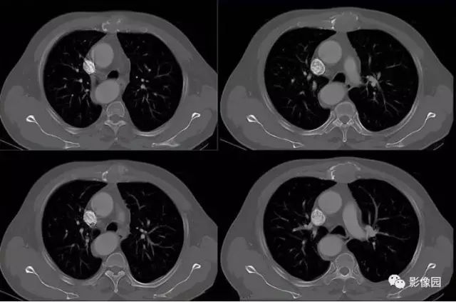
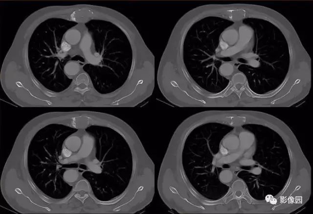
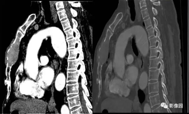
肚肚丫头: 胸骨体局部呈膨胀性骨质吸收破坏,内呈软组织密度影,可见点状钙化,增强扫描呈轻度强化,周围软组织略肿胀。考虑:1.骨巨细胞瘤;2.浆细胞瘤;3.嗜酸性肉芽肿
【病理结果】(胸骨占位)符合浆细胞骨髓瘤
【病例小结】
骨髓瘤起源于骨髓的原始网状细胞,其高分化的瘤细胞类似浆细胞,又称为浆细胞瘤。临床工作中常根据病变范围将骨内骨髓瘤分为孤立性浆细胞瘤(solitary plasmacytoma of bone,SPB)与多发性骨髓瘤(multiple myeloma,MM)。
孤立性浆细胞瘤(SBP):是由浆细胞单克隆增生导致的恶性肿瘤,是一种少见肿瘤。男性发病较女性多见,按其好发部位依次为股骨近端、椎骨、肋骨、颅骨、骨盆等,胸骨少见,多表现为由于骨质破坏造成的局部疼痛。
多发性骨髓瘤(MM):常有全身性疼痛、贫血、发热等全身症状。
CT表现:特征性穿凿状、鼠咬状及蜂窝状骨破坏,边缘清楚,骨质疏松,病理性骨折及软组织肿块等表现,骨质硬化及骨膜反应少见。
骨破坏区完全为软组织取代,骨质膨胀,边界清楚,常突破骨皮质形成软组织肿块。增强扫描可见病灶轻中度强化,一般于静脉期达峰值。
鉴别诊断
软骨瘤:胸骨常见,其在CT上表现为环状或分房状膨胀性生长,骨皮质完整,不侵犯邻近组织,可发生恶变。
胸骨肿瘤样病变:嗜酸性肉芽肿的表现为膨胀性或溶骨性骨质破坏,内部可见点状死骨,一般边界清楚,无硬化,可穿破胸骨前后骨皮质形成较薄的软组织肿块,增强扫描肿块轻、中度强化,强化均匀,一般无坏死;发生于胸骨的嗜酸性肉芽肿一般无明显骨膜反应,与长骨明显的骨膜反应不同。
骨巨细胞瘤:青壮年发病,地图样的融骨性病变,边缘清楚无硬化呈膨胀性生长,呈多房状,可见梁状骨嵴或皂泡状外观,骨的破坏区边缘有筛孔状表现。肿瘤突破骨皮质或骨壳在肿瘤外围形成单层或多层骨壳。一般无软组织肿块。
上一篇:动脉导管未闭1例CT影像表现
下一篇:胸膜孤立性纤维瘤1例CT影像表现