动脉导管未闭1例CT影像表现

发布时间:2022-10-22

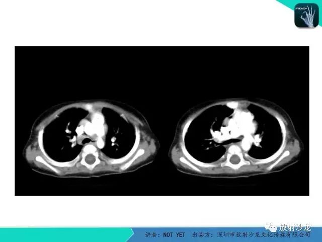
【病例】动脉导管未闭1例CT影像表现

【病例】动脉导管未闭1例CT影像表现

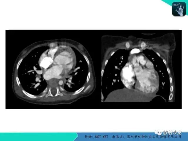
【病例】动脉导管未闭1例CT影像表现

【病例】动脉导管未闭1例CT影像表现

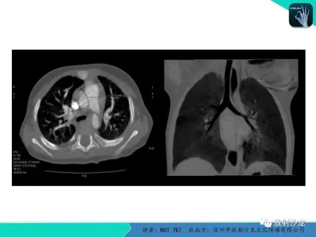
【病例】动脉导管未闭1例CT影像表现

【病例】动脉导管未闭1例CT影像表现

【病例】动脉导管未闭1例CT影像表现

【病例】动脉导管未闭1例CT影像表现

【病例】动脉导管未闭1例CT影像表现

【病例】动脉导管未闭1例CT影像表现

【病例】动脉导管未闭1例CT影像表现

【病例】动脉导管未闭1例CT影像表现

【病例】动脉导管未闭1例CT影像表现

【病例】动脉导管未闭1例CT影像表现

【病例】动脉导管未闭1例CT影像表现

【病例】动脉导管未闭1例CT影像表现

【病例】动脉导管未闭1例CT影像表现

【病例】动脉导管未闭1例CT影像表现

精彩图片

热门精选