纵隔支气管囊肿1例CT影像表现
发布时间:2022-10-22
发布时间:2022-10-22
【所属科室】呼吸科
【基本资料】女,57岁
【主诉】胸疼、胸闷2月余







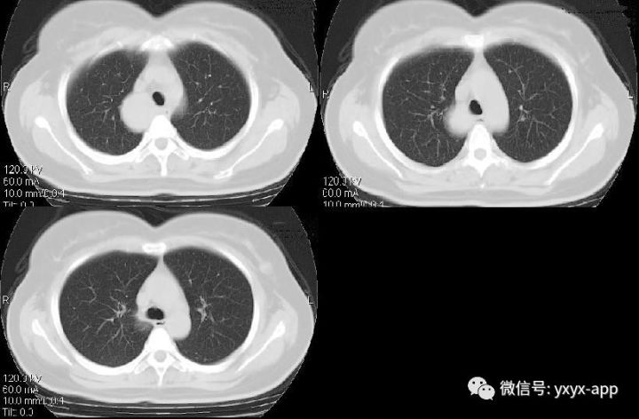
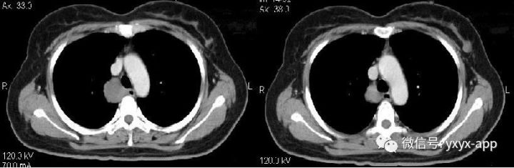
CT值在50-60hu之间
【讨论问题】定位?定性?诊断?鉴别诊断?
【医学影像APP用户讨论】
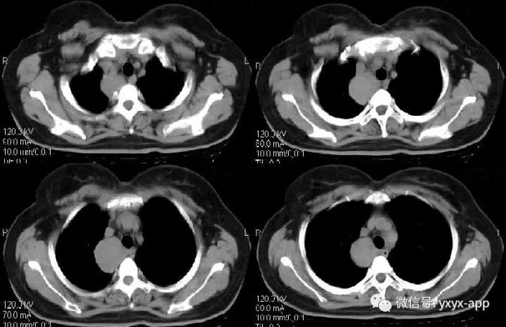
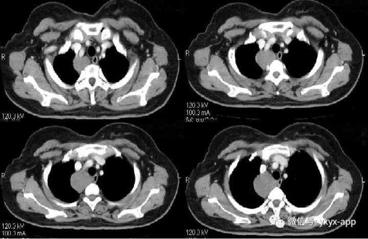
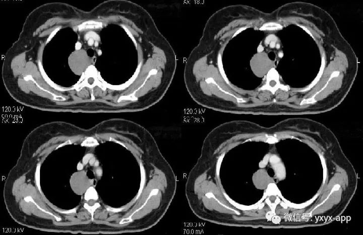
肚肚丫头:右上后纵隔、气管右旁、脊柱前方可见类圆形软组织密度影,与气管及食管均关系,增强后无明显强化,考虑囊肿,起源待定。
诊断:1.支气管囊肿;2.食管囊肿。鉴别诊断:神经源性肿瘤
【病理结果】支气管囊肿
【病例小结】
支气管囊肿是一种较少见的先天性疾病,系由胚胎发育障碍引起,分纵隔型和肺内型。支气管囊肿的发生部位:1. 纵隔型:纵隔型支气管囊肿大部分位于纵隔。典型发病部位为中纵隔、气管或主支气管旁、气管隆突下,右侧多见。2. 肺内型:肺内型支气管囊肿的发病部位一般认为下肺比上肺多见,左肺比下肺多见,有时位于肺门,与支气管走形一致。
CT表现:纵隔旁支气管囊肿其典型形态为圆形、类圆形、水滴形、长条形,偶为分叶状,边缘均清楚锐利,内部密度多较均匀。肺内型表现为单发的气囊肿、液囊肿、液-气囊肿或多发囊肿,边界清楚,囊壁薄而均匀,可合并肺发育不良、肺隔离症、肺气肿及胸廓塌陷等其他肺内畸形。CT值差异较大,多为20~30HU,最高可达80HU,反映囊肿内容物的不同成分,囊肿不与支气管相通时形成含液囊肿,与支气管相通时囊液会全部或部分排出,形成含气囊肿或含气液囊肿。如有感染、出血或囊壁受到刺激可以使壁增厚、毛糙,囊液也可以变得更粘稠,或者分泌的黏液含有高蛋白成分、钙乳样物质等,均可导致囊肿内密度增高,从而CT表现为软组织密度、实性肿块。CT增强扫描有助于判断囊壁及囊腔内容物的强化程度,提示诊断。支气管囊肿的强化特征为囊内容物无强化,囊壁可强化,是由于囊壁含有平滑肌成分,如合并感染、肉芽组织增生,囊壁可增厚、强化。
MRI表现:MRI平扫对支气管囊肿有很高的诊断价值,MRI的信号多样,T1WI可呈低、等、高信号,与脑脊液相比多呈稍高信号,与肌肉信号类似;T2WI呈明显高信号,T1WI高信号往往提示出血、含蛋白质和黏液成分,对钙化的显示不如CT敏感,有时可见液-液平面的分层样改变。
下一篇:变应性肉芽肿性多血管炎1例CT