胸腺囊肿
发布时间:2022-10-22
发布时间:2022-10-22
【概念与概述】
胸腺囊肿(thymic cyst)约占前纵隔肿瘤的1%~3%。多位于胸骨后前上纵隔区、胸腺的发育线上,少数可异位于颈部、前下纵隔或中后纵隔。可为先天性或获得性,以先天性多见。
【病理生理改变】
●先天性胸腺囊肿(congenital thymic cyst)
〇可能因胸腺咽管未闭所致
〇常为单房,囊壁薄,囊内含清亮液体
〇无炎性改变
●获得性胸腺囊肿(acquired thymic cyst)
〇通常为多房,故亦被称为多房性胸腺囊肿
〇是一种继发性的反应性质的病变,伴有炎症及纤维化改变
〇囊壁较厚,囊内含混浊液体或凝胶样物
【临床表现】
●近50%先天性囊肿于20岁前偶然发现
●多房胸腺囊肿
〇可见于自身免疫性疾病患者和HIV感染者
〇可继发于囊性退变
■见于胸腺肿瘤(如胸腺瘤、淋巴瘤、精原细胞瘤)治疗前与治疗后
〇甚至发生于胸骨切开术后
【影像表现】
X线表现
●多位于前上纵隔区域
●向纵隔侧缘突出,瘤肺交界面光滑
●若病变较小,可无阳性征象
CT表现
●单纯先天性胸腺囊肿
〇边缘清晰光滑、均匀水样密度肿块(图1)
〇囊壁菲薄难辨,张力较低
●获得性胸腺囊肿
〇边缘清晰、密度不均匀、单房或多房囊性肿块,以多房者多见(图2)
〇如继发出血或感染,密度可增高,可误为实质性肿块
〇少数病例囊壁可见弧形钙化
MRI表现
●显示为囊肿的信号特征
●如合并出血或感染,T1WI及T2WI可均呈高信号
影像学检查方法评价
●X线胸片难以检出较小的囊肿,对区别肿块的囊、实性较为困难
●CT或MRI均能很好地明确肿块的囊性特征,并可显示与邻近结构的关系以及是否合并胸腺增生
【鉴别诊断】
●皮样囊肿
〇壁相对较厚,张力较高,可含有脂肪、钙化甚至牙齿样结构
●心包囊肿
〇通常位置较低,好发于前心膈角处,特别是右侧,张力较低
●支气管囊肿
〇好发于中纵隔气管两旁或气管分叉处,与气管或主支气管关系密切
●淋巴管瘤
〇可呈单房或多房囊状,亦可为海绵状,可跨越多个纵隔分区呈蔓状生长
诊断与鉴别诊断精要
●先天性囊肿常为单房,呈均匀水样密度,壁薄而光滑,边界锐利,偶尔可因出血或高蛋白含量而被误为实性肿块,此时可通过MRI进行鉴别
●获得性囊肿是一种继发性的反应性质的病变,通常为多房,表现为增大的胸腺内出现多房囊变区域,易与胸腺瘤或纵隔其他囊性肿瘤混淆
●少数囊肿位于颈部、前下纵隔或中后纵隔等非常见部位,术前确诊困难
典型病例
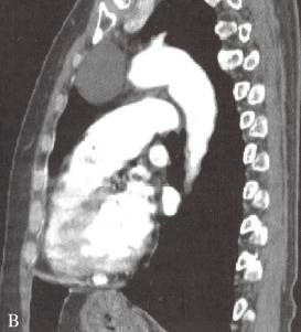
图1胸腺囊肿


女性,59岁,查体发现前纵隔肿物1周。A, B.增强CT横断面及矢状面重组图像示左前纵隔囊性肿物,边缘锐利,壁薄。术后病理为胸腺囊肿
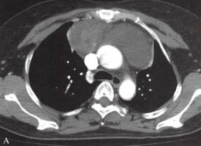
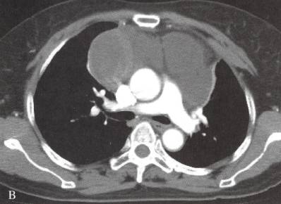
图2多房胸腺囊肿


女性,56岁,胸痛2周。A, B. CT示前纵隔肿物,大部分为囊性,壁厚,有分隔;右侧部分为实性,不均匀环形强化。术后病理为胸腺囊肿,囊壁内见炎细胞浸润、胆固醇结晶,伴出血、退变及坏死