【病例】食管壁内假性憩室并长节段狭窄1例
发布时间:2022-10-22
发布时间:2022-10-22
【病史】男性,吞咽困难。








问题1.最明显的异常位于?
A.下咽部
B.环咽部
C.上段食管
D.下段食管
E. 食管胃连接部
根据图像所示,请判断正误。
2.外生性肿块
A.正确
B.错误
3.食管静脉曲张
A.正确
B.错误
4.长节段狭窄
A.正确
B.错误
5.食管蹼
A.正确
B.错误
6.食管憩室
A.正确
B.错误
【答案】1.C 2.B 3.B 4.A 5.B 6.B
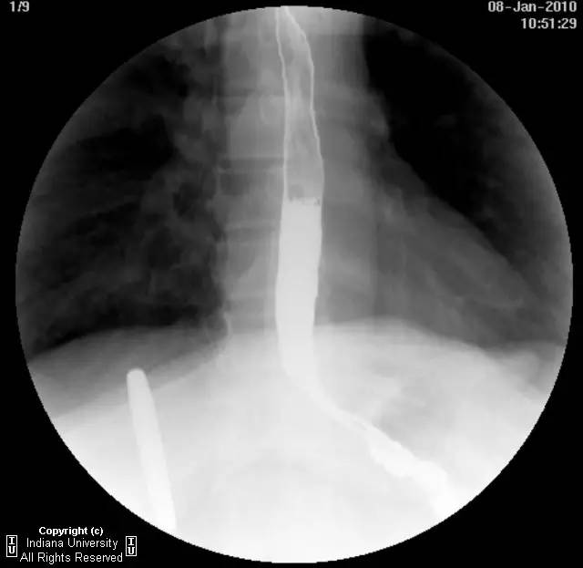
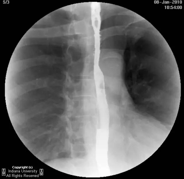
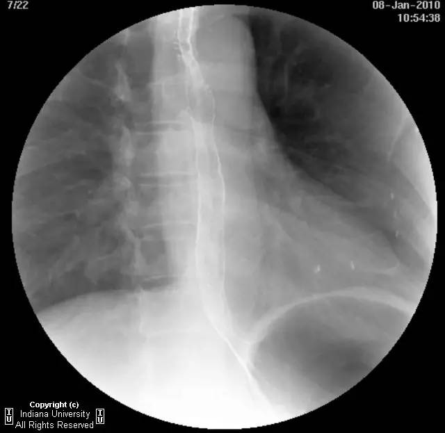
【影像学表现】下咽部正常,环咽肌功能正常。颈段食管无外生性病变压迫或异常扩张。胸中段食管长节段狭窄,逐渐移行为正常食管粘膜。大量小的烧饼样钡斑位于相应食管外呈浮萍样,与食管管腔无直接交通。稠或稀钡剂通过均无延迟。1cm钡剂片延迟通过,约30分钟后自动溶解。余食管动力正常。
【鉴别诊断】
【诊断】食管壁内假性憩室并长节段狭窄
Long segmentstricture with esophageal intramural pseudodiverticulosis
【关键点】食管壁内假性憩室