【病例】右下肺乳头状腺癌1例CT影像表现
发布时间:2022-10-22
发布时间:2022-10-22
病史:
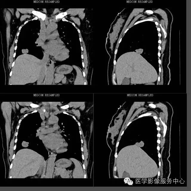
女,49岁, 咳嗽、胸痛一周。






肺乳头状腺癌作为肺腺癌中的一个病理亚型,与肺癌的临床特征有共同之处,即发病年龄轻,病变发生部位全部位于肺的外围,以周围型为主。
病灶体积比较小,以女性居多。
肺乳头状腺癌标本内结构为一线微血管为主的乳头状结构,中间可以看到杂乱排列的二级、三级分支或丛状结构的组织,癌病理组织标本中出现乳头状结构应占肿瘤细胞的75%以上为诊断标准。
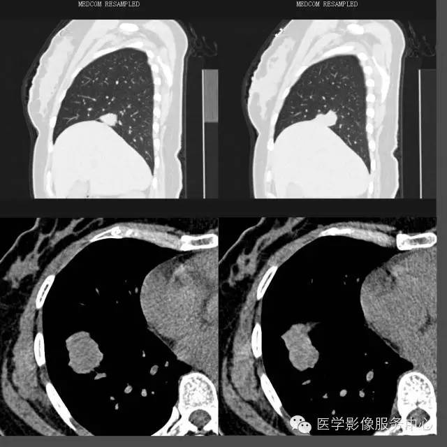
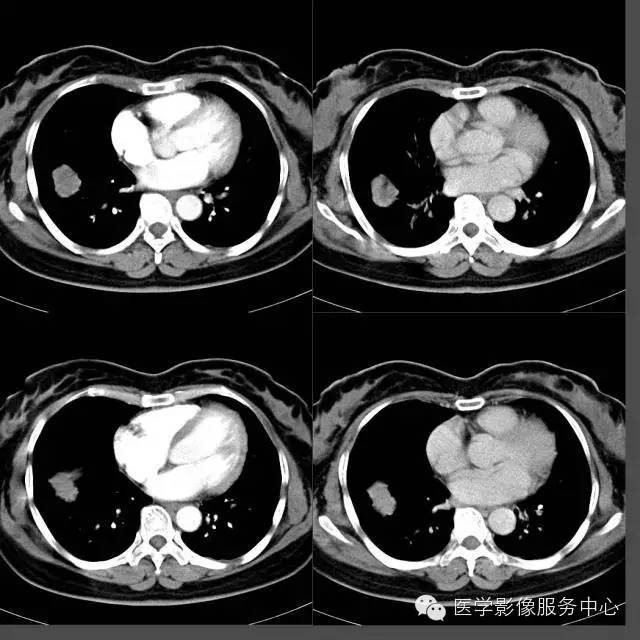
CT上表现的结节或肿块影像在病理组织学上为肿瘤的乳头状结构,以及破坏、扭曲的肺组织;磨玻璃样阴影代表肿瘤细胞沿肺泡壁生长或阻塞肺泡腔引起的阻塞性肺炎;
肺乳头状腺癌生长方式与肺泡癌相似,结节或肿块影周围出现的卫星灶能对应病理组织学上的阻塞性肺炎、支气管炎、细支气管脓肿等改变。这种磨玻璃样改变在肺腺癌病例中普遍可以看到,但在其他类型肺癌中比较少见。
空洞、钙化在肺乳头状腺癌中几乎见不到。
“空泡征”、“空气支气管征”在肺乳头状腺癌病例中大部分可以看到,但边缘光滑、境界清楚;而其他类型肺癌即使出现这些征象,其边缘境界往往不清楚,这一点是和其他类型肿瘤所不同的。
1、炎性假瘤:炎性假瘤大多发生肺的表浅部位,形态呈圆形、椭圆形或类圆形,大小在2~4cm,部分大于5cm,密度中等、均匀,边缘清楚,有时可见分叶状、尖角征及放射冠样表现。邻近胸膜见局限性粘连增厚,阻塞支气管部分出现阻塞性肺炎。肺门及纵隔未见肿大淋巴结。增强后呈快进慢出表现,部分呈慢进慢出改变。
2、结核瘤:可有肺癌的各种直接、间接征象,酷似肺癌,但周围通常有卫星病灶。通常增强后未见强化改变。