【病例】右肺上叶腺癌1例CT影像表现
发布时间:2022-10-22
发布时间:2022-10-22
【临床资料】
男,67岁
20天前无明显诱因咳嗽,咳少量白痰,偶有右侧胸痛,不剧烈,变化体位后可减轻,未予重视。近期自感咳嗽咳痰加重,门诊胸片检查提示右肺炎症,“肺内感染”入科。痰中偶带血;偶右胸痛、胸闷、气短,无发热,无头晕头痛,无腹痛腹泻,无尿频尿痛,饮食、睡眠尚可,体重下降约1 kg。
实验室检查:癌抗原125 5.64 U/ml、癌胚抗原 2.76 ng/ml、非小细胞肺癌相关抗原 3.14 ng/ml、甲胎蛋白测定(AFP) 1.57 IU/ml、神经角质烯醇化酶 10.27 ng/ml、糖类抗原153 8.72 U/ml、糖类抗原199 22.43 U/ml;血清C-反应蛋白 5.3 mg/L↑、葡萄糖 9.09 mmol/L↑;白细胞 9.46 10^9/L、中性粒细胞百分比 70.70%。
【影像图像】
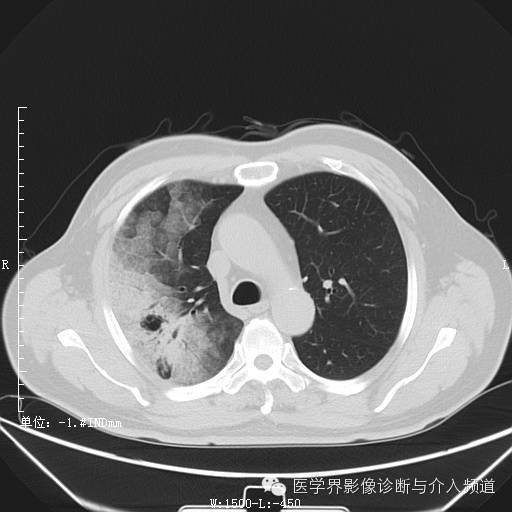
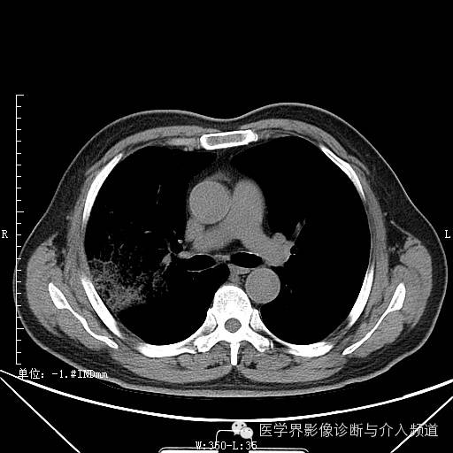
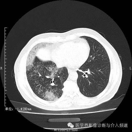
初诊






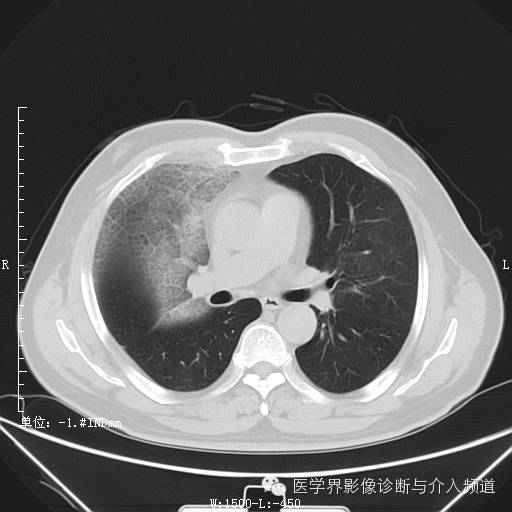
首次复查

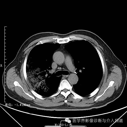
二次复查


【影像表现】
初诊:右肺上叶见大片实变影,呈磨玻璃状及网状,可见“充气支气管征”,纵隔窗可见实变影范围有所缩小,呈蜂窝状,局部支气管走行不自然,管壁不光滑。
首次复查:右肺实变范围加大,并可见磨玻璃与粟粒样结节影并存,同左肺亦出现磨玻璃及实变。
二次复查:双肺多发实变、磨玻璃结构及粟粒结节,较前病变范围明显增大右侧并发气胸。
———-♀【病例讲堂】分割线♀———
小编留言:这些患者是别人的,但这些症状你工作中也可能会遇到,学习才是前进的唯一路径,有思考才有进步哦!
【初步诊断】
肺腺癌并右肺上叶支气管癌(结合初诊支气管镜检查结果)
【最终诊断】
右肺上叶腺癌
【鉴别诊断】
大叶性肺炎及间质性肺炎:本病例单纯从影像看,早期很容易误诊为大叶性肺炎及间质性肺炎,磨玻璃实变及充气支气管征都支持肺炎的诊断。但仔细观察,虽然有几支支气管表现很自然,但有的分支支气管略显僵硬,管壁不光滑,似呈枯树枝样改变,病程中没有发烧,不支持肺炎的诊断。
干酪性肺炎:在大片实变的肺组织中可见小的不规则及虫蚀样透光区,无支气管充气征等,临床有结核中度症状,实验室检查,可查到结核菌。
【讨论】
本病例属于腺癌的一种特殊亚型,约占整个非小细胞癌的3%~30%,又称肺炎型肺癌或弥漫型细支气管肺泡癌,早期很容易误诊为肺炎,多见于粘液型细支气管肺泡癌,呈磨玻璃样改变(GGO),不掩盖支气管及血管,它是非特异性表现,有许多疾病都有类似表现,主要侵犯肺间质(肺泡壁、小叶间隔、淋巴管),肺窗观察小叶间隔清晰可见,呈小筛网状,晚期肺内转移(实质及间质均累及),呈粟粒结节及磨玻璃并存,肿瘤的特征明显。
上一篇:胸腔积液和胸膜肥厚、粘连的区别