【病例】肺曲菌病1例CT影像表现
发布时间:2022-10-22
发布时间:2022-10-22
病史:
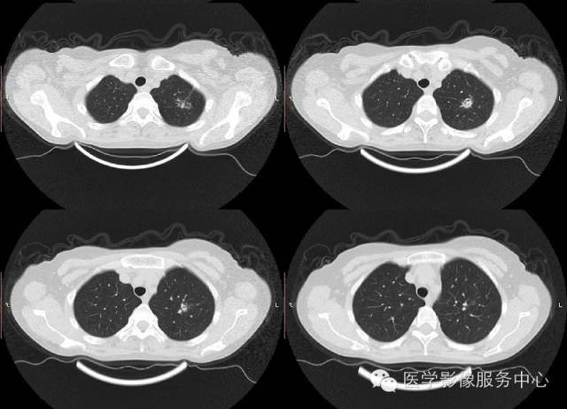
女,42岁,间断性咯血一年。




肺曲菌病(pulmonary aspergillosis,PA)属霉曲菌感染,曲菌是条件致病菌,当曲菌孢子侵人人体后,健康人对曲菌有很强的抵抗力,一旦机体免疫力减退或抵抗力下降时可大量繁殖而致病。
曲菌在组织中主要引起急性化脓性炎和坏死性炎,PA早期的基本病理变化是出血性肺梗死引起的凝固性坏死,相邻肺泡出血使病灶周围可见出血性边缘,其影像表现为“晕征”。因坏死组织的部位、范围、形态不同而影像表现各异。曲菌球病理学上由空洞(空腔)内的曲菌丝、纤维、黏液混合而成团块。根据宿主的免疫反应,本病可分为过敏性支气管肺炎型、浸润型、半浸润型和曲菌球四种类型。
1、肺部炎症样改变:CT表现为胸膜下楔形、不规则片状致密影,边缘模糊,可累及多个肺叶及肺段,可与结节灶同时存在。胸膜下楔形实变影对曲菌病的诊断有重要价值,与其出血性肺梗死的表现一致。
2、单发或多发结节:大多位于肺的中外带,结节大小不一,在CT图像上,其边缘可见略低于结节密度而又高于肺实质的环形“磨玻璃”样改变,称为“晕征”或“环征”。结节 晕征是肺曲菌病较特征的早期表现。CT检查可发现早期肺内较小的结节影。肿块样浸润指病灶直径大于3cm的软组织块影,无分叶及毛刺,周围可出现“晕征”。
3、曲菌球:一般寄生在肺部慢性疾病所致的空洞或空腔内,常见的有结核空洞、支气管扩张、先天性肺囊肿等。空洞大小不等、洞壁薄厚不一,其内曲菌球一般呈圆形或卵圆形,密度均匀,边界光整,在洞内处于游离状态,可随体位改变而移动,曲菌球与洞壁之问形成一新月形的含气腔隙。曲菌球具有特征性的诊断价值。
4、支气管扩张:肺部及气道反复感染,可引起黏液嵌塞及支气管扩张,常以肺门近侧的段及亚段支气管扩张为明显,CT图像上为条索状高密度灶内可见低密度“裂隙”影,HRCT能清楚显示该征象,此为本病的另一特点。
5、其他改变:当曲菌侵犯胸膜时,可引起胸腔积液、胸膜增厚粘连;曲菌感染经淋巴管蔓延时,可见肺门及纵隔淋巴结肿大。
在PA的诊断中,曲菌球具有特异性诊断价值,曲菌球游动时诊断明确,如果球体较大或与洞壁结合紧密时,须与空洞性肺癌的癌结节进行鉴别。结节状及团块状病灶需与周围型肺癌鉴别,前者病灶周围有晕征,后者病灶有分叶、切迹,周围可见毛刺。片状实变影主要与一般性肺炎鉴别,肺外周楔形实变影多考虑本病,须结合病理及实验室检查。出现肺不张时须做气管镜明确诊断。
下一篇:迷走右锁骨下动脉