【病例】尘肺1例X线及CT影像表现

发布时间:2022-10-22

病史

男性,36岁,镀锌工作史1年。

【病例】尘肺1例X线及CT影像表现

【病例】尘肺1例X线及CT影像表现

【病例】尘肺1例X线及CT影像表现

【病例】尘肺1例X线及CT影像表现

【病例】尘肺1例X线及CT影像表现

【病例】尘肺1例X线及CT影像表现

小结
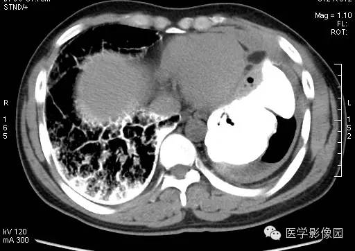
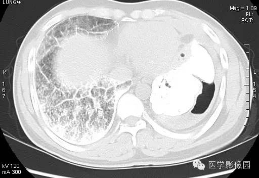
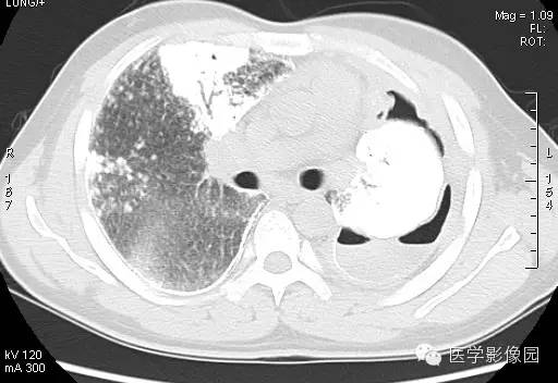
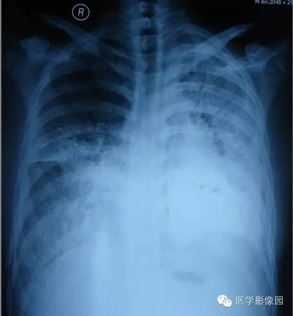
尘肺的主要病理改变为肺间质弥漫性纤维化及弥漫性灶周肺气肿,主要累及周围肺组织和支架结构,如肺泡壁、小叶间隔和支气管血管周围组织。

影像表现
小结节影:多为双肺弥漫性或散在小结节影,表现为类圆形影,边界清晰,以中下肺为主,背侧多见。

大阴影:多为块状大阴影,表现为不规则卵圆形影,边缘凹凸不平,多有粗大索条影,伴疤痕性肺气肿,其内可见点状、斑片状钙化,坏死或空洞。

胸膜改变:可见胸膜肥厚、粘连及钙化缘怨例。

肺门改变: 肺门影增大,肺门多伴点状或蛋壳状钙化。

肺纹理:扭曲及变形改变。

精彩图片

热门精选