【病例】支气管异物1例CT影像表现

发布时间:2022-10-22

病史

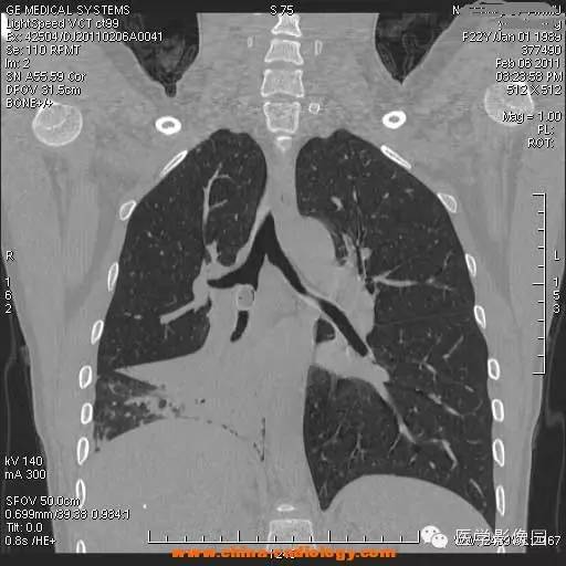
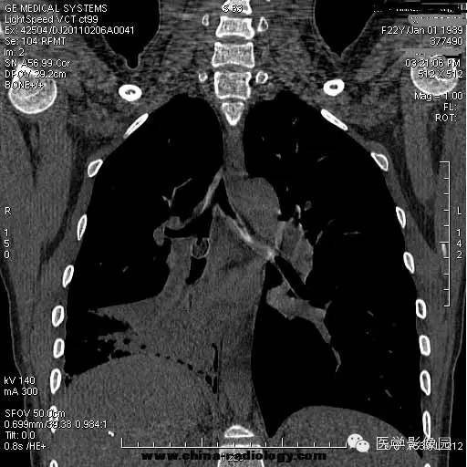
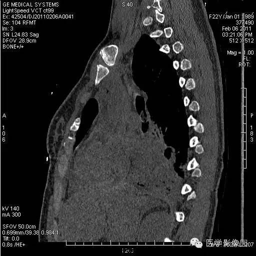
女,22岁,食用开心果后咳嗽不适。

【病例】支气管异物1例CT影像表现

【病例】支气管异物1例CT影像表现

【病例】支气管异物1例CT影像表现

【病例】支气管异物1例CT影像表现

【病例】支气管异物1例CT影像表现

小结

管支气管异物是临床常见急症。异物可存留在喉咽腔、喉腔、气管和支气管内,引起声嘶、呼吸困难等,右支气管较粗短长,故异物易落入右主支气管。75%发生于2岁以下的儿童。CT三维重建清晰直观的显示异物的大小、位置,并能观察肺组织内是否有病变。

精彩图片

热门精选