【病例】肺吸虫囊肿1例CT影像表现
发布时间:2022-10-22
发布时间:2022-10-22
男,27岁,因肺部空洞未缓解就诊。四个月前,他被诊断患有肺结核,开始使用4种抗结核药物直接观察治疗。当时PPD测量硬结22
mm。
此次就诊,患者主诉,在过去的一年半内偶尔咳嗽,咳痰有血丝。无夜间盗汗、厌食、体重减轻,或发烧等其他症状。
病人的既往病史是一年半前胸片显著异常,和罹患1此疟疾。
除近期抗结核治疗药物外,无其它规律用药史。
过去的12年中每天半包烟。偶尔吸食可卡因,无饮酒或其他毒品。他8个月前从马来西亚移民到美国。他最初居住于缅甸,但在马来西亚是一个难民。在马来西亚时注意到有异常胸片。他接受了其它的调查,但未给予诊断或治疗。
患者感觉舒适,无急性窘迫。生命体征不明显。心脏检查显示速率和节律正常,S1和S2正常,无杂音、奔马率。两侧呼吸音相同,无肺泡音。腹部柔软,无脏器肿大。病人四肢无杵状指或水肿。之前BCG注射时在左上臂有疤痕。未注意到其他的皮肤病灶。
* 全细胞计数(WBC)10,000/m3,嗜中性粒细胞66%,淋巴细胞14%,嗜酸性粒细胞12%;
* 红细胞压积49%
* 血小板计数309,000/mm3
* 尿素氮为12mg /dl,血肌酐为0.7mg/dl
* 肝功能检查均在正常范围内
* 虫卵和寄生虫粪便和痰培养均为阴性
* AFB五次痰菌转阴

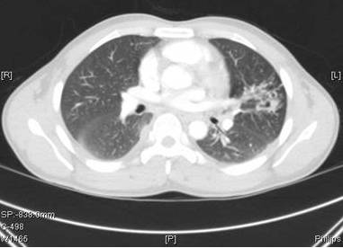
图1就诊前4个月的胸部CT

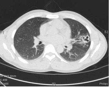
图2: 出现症状是的胸部CT(进行4个月的抗结核治疗)
问题:该患者的诊断是?
A、肺结核
B、急性支气管炎
C、肺吸虫病
D、血吸虫病
答案:C
肺吸虫囊肿通过BAL和支气管镜活检证实。
肺吸虫病是由并殖吸虫引起的肺疾病。有43种并殖吸虫,其中12种可感染人类。卫氏并殖吸虫是最普遍的,尤其是在亚洲东部和东南部。这些生物的感染可发生在世界各地,但主要集中在美国中部和南部,非洲西部,和亚洲。在美国,这种疾病是最常见于疾病流行国家的移民。内源性感染发生,通常是由美国中西部和东部的kellicot肺吸虫引起。
肺结核是不可能有几次AFB 培养转阴。经纤维支气管镜肺泡灌洗也有几次阴性的AFB染色和培养。此外,虽然进行多种抗结核药物治疗,但空洞恶化。急性支气管炎不是肺空洞的常见原因。
慢性血吸虫病的肺表现常见于有严重感染疾病负担和有显著临床症状的患者。血吸虫卵可能栓塞肝肺循环,导致肉芽肿性动脉炎,肺动脉高压,肺心病。
问题:人类如何感染肺吸虫?
A、吸入
B、吞食
C、接种
D、不确定
答案:B
并殖吸虫具有复杂的生命循环周期,涉及淡水螺类,甲壳动物和哺乳动物(见图)。胚胎期的肺吸虫卵可以通过痰或粪便传播。有胚胎后,感染第一个中间宿主,蜗牛。在蜗牛中,从孢子囊经历几个变化,发展成幼虫。肺吸虫再感染第二中间宿主,甲壳纲动物(螃蟹或龙虾)。当人类(或其他动物)食用感染了肺吸虫的生的或未煮熟的甲壳动物或使用被污染的用具时,在十二指肠脱囊,穿过肠壁,进入腹腔,发展成幼吸虫。穿过隔膜进入肺和胸膜。

大多数临床感染是无症状的,即使是有症状的患者,尽管有一个长期的过程,但经常看起来很好。症状的发展取决于感染的严重性和受累的器官。呼吸系统是最常见的受累器官,随后可能发生肺外受累,特别是某些物种,如斯氏并殖吸虫。几乎每一个器官都会累及。
与肺结核相反,肺吸虫病很少伴有啰音或偶发呼吸音。急性期(侵袭和转移)可表现为腹泻、腹痛、发热、咳嗽、荨麻疹、肝脾肿大、肺部异常,外周和BAL样本中嗜酸性粒细胞增多。肺吸虫侵袭和迁移的时期的急性期包括腹痛、腹泻和荨麻疹,随后大约1到2周后出现发热、胸膜炎性胸痛、咳嗽和/或呼吸困难。在慢性期,肺部症状较轻,并有咳嗽、咯血痰,痰液变色,和胸片异常。影像学异常包括胸腔积液、局灶性纤维化胸膜增厚、胸膜下结节,实质性团块,迁移性浸润、空洞性病变、印戒征,少见气液平。最常见的有症状的肺外部位是中枢神经系统。大脑中的吸虫可导致剧烈头痛、头晕、视力障碍。慢性感染可表现为癫痫发作、瘫痪或精神发育迟滞。
问:肺吸虫病的治疗药物?
A、水杨酸亚铋
B、环丙沙星
C、吡喹酮
D、阿苯达唑
答案:C
吡喹酮是治疗肺吸虫的一种选择性药物。推荐剂量为每天75 mg/kg,口服。