【病例】硬化性血管瘤1例CT影像表现
发布时间:2022-10-22
发布时间:2022-10-22
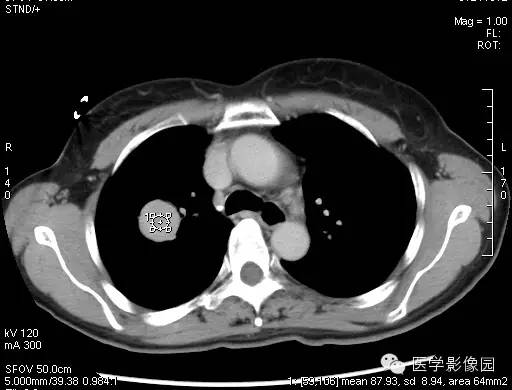
病史





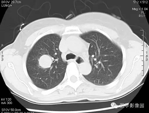
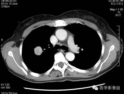
CT 平扫,肿块和软组织的密度很相似,单发性的PSH肿块形状为圆形 或类圆形,肿块的密度均匀,边缘也清晰可见。
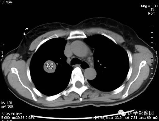
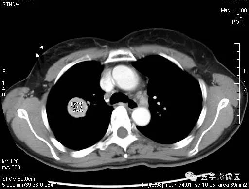
动脉期的增强在中等以上,静脉期增强在动脉期的程度上有更深程度的强化,当肿瘤边缘不清晰时,就有呈现浅分叶、胸膜凹陷、短毛刺等现象,边缘清楚、光整,多数形态规则、少数可见浅分叶,无毛刺、空洞,无卫星灶,密度均匀,偶有钙化,无胸膜凹陷征。CT增强扫描显示病灶中等以上均匀或不均匀强化,且存在延迟强化现象,对PSH具有一定的诊断价值。