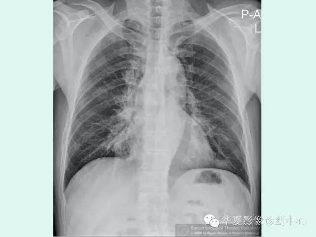
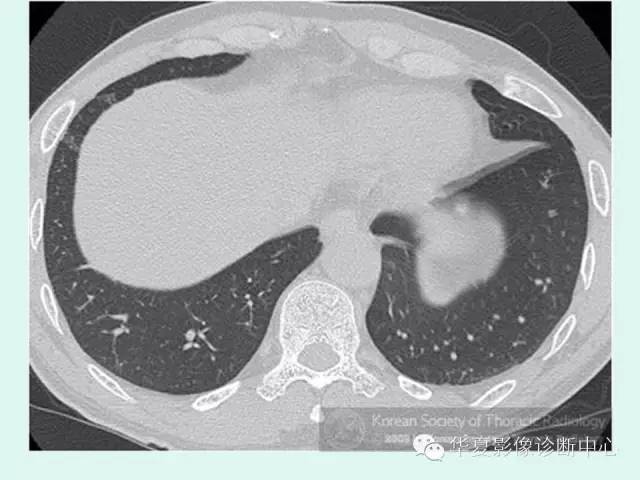
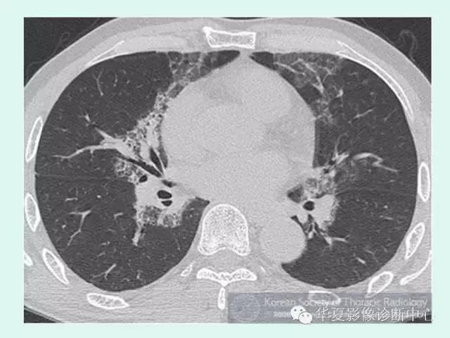
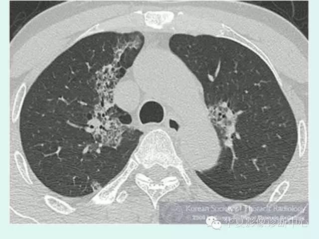
【病例】肺泡蛋白沉积症1例CT影像表现

发布时间:2022-10-22

【病例】肺泡蛋白沉积症1例CT影像表现

【病例】肺泡蛋白沉积症1例CT影像表现

【病例】肺泡蛋白沉积症1例CT影像表现

【病例】肺泡蛋白沉积症1例CT影像表现

【病例】肺泡蛋白沉积症1例CT影像表现

【病例】肺泡蛋白沉积症1例CT影像表现

【病例】肺泡蛋白沉积症1例CT影像表现

【病例】肺泡蛋白沉积症1例CT影像表现

【病例】肺泡蛋白沉积症1例CT影像表现

【病例】肺泡蛋白沉积症1例CT影像表现

【病例】肺泡蛋白沉积症1例CT影像表现

【病例】肺泡蛋白沉积症1例CT影像表现

【病例】肺泡蛋白沉积症1例CT影像表现

【病例】肺泡蛋白沉积症1例CT影像表现

【病例】肺泡蛋白沉积症1例CT影像表现

【病例】肺泡蛋白沉积症1例CT影像表现

【病例】肺泡蛋白沉积症1例CT影像表现

病例来源:韩国胸部放射学会

精彩图片

热门精选