肺水肿的CT报告书写技巧与提示
发布时间:2022-10-22
发布时间:2022-10-22
肺水肿是指过多的液体从肺血管内向血管外转移而引起的肺间质和肺泡腔内的液体含量增多。间质性肺水肿主要症状为呼吸困难或夜间阵发性呼吸困难。肺泡性肺水肿表现为呼吸困难加重、端坐呼吸、严重咳嗽及咳大量粉红色泡沫痰。主要体征为强迫体位,呼吸深快。
胸部CT平扫。
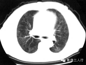
①间质性肺水肿可见小叶间隔增厚,边缘光滑,肺门及支气管血管束增粗、模糊。心源性肺水肿病变以中内肺野为重,上叶肺血管增粗比下叶明显。肾性肺水肿肺血管阴影普遍增粗。
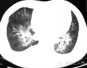
②肺泡性肺水肿有磨玻璃密度和肺实变影像。心源性肺水肿病变在中内带及背部多见,少数病例于外带有较多病变。肾性肺水肿可呈弥漫性分布。
【报告范例1】
报告书写:胸廓对称,双肺小叶间隔增厚,边缘光滑,肺门及支气管血管束增粗、模糊,纵隔居中,其内未见肿大的淋巴结。心脏大小正常,胸壁软组织未见异常(图1)。

图1间质性肺水肿
【报告范例2】
报告书写:胸廓对称,两肺下叶磨玻璃密度和肺实变影像,双侧对称,呈“蝶翼征”。双侧肺门不大,纵隔居中,其内未见肿大的淋巴结。心脏大小正常,胸壁软组织未见异常(图2)。


图2肺泡性肺水肿
X线检查是诊断肺水肿的重要方法,可用于肺水肿的早期诊断和了解病变的动态变化。CT检查用于与其他疾病相鉴别。临床上较常见的肺水肿是心源性肺水肿和肾性肺水肿。