【病例】脾组织胞浆菌病1例CT影像表现
发布时间:2022-10-22
男性,48岁,以肺结节就诊。

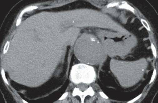
A

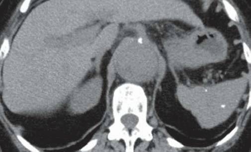
B

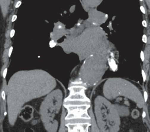
C

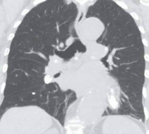
D
图A和B为轴位CT平扫,示肝、脾内多发大小不一的钙化,肝、脾大小形态正常,图C和D为冠位重组纵隔窗及肺窗,示纵隔、肺门淋巴结钙化及肺的钙化结节,同时发现主动脉瘤。
组织胞楽菌病是美国中部的一种地方病,自艾滋病流行以来,本病发病率明显上升,在非流行地区也有报道。大多数组织胞浆菌病患者伴有纵隔淋巴结肿大、钙化(如本例所示),可引起纵隔压迫症状。患者腹部CT扫描可见散布的组织胞浆菌病,肝大(63%)、脾大(38%)、弥漫性脾密度减低(19%)、双侧肾上腺肿大、淋巴结肿大(44%)。在美国,治愈的组织胞浆菌荚膜感染是引起弥漫性脾钙化的最常见原因,引起多发脾钙化的其他原因有治愈的结核、布鲁杆菌病及肺囊虫感染、血管瘤、静脉石、含铁血黄素沉着症、镰状红细胞贫血和含铁结节(G-G小体)。