肺曲霉菌病、肺隐球菌病影像表现
发布时间:2022-10-22
发布时间:2022-10-22
肺曲霉菌病
Aspergillosis

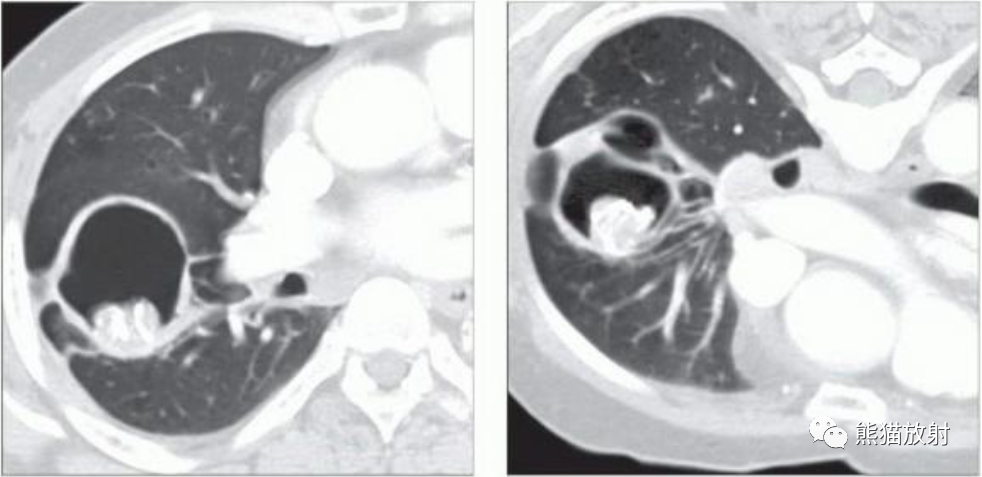
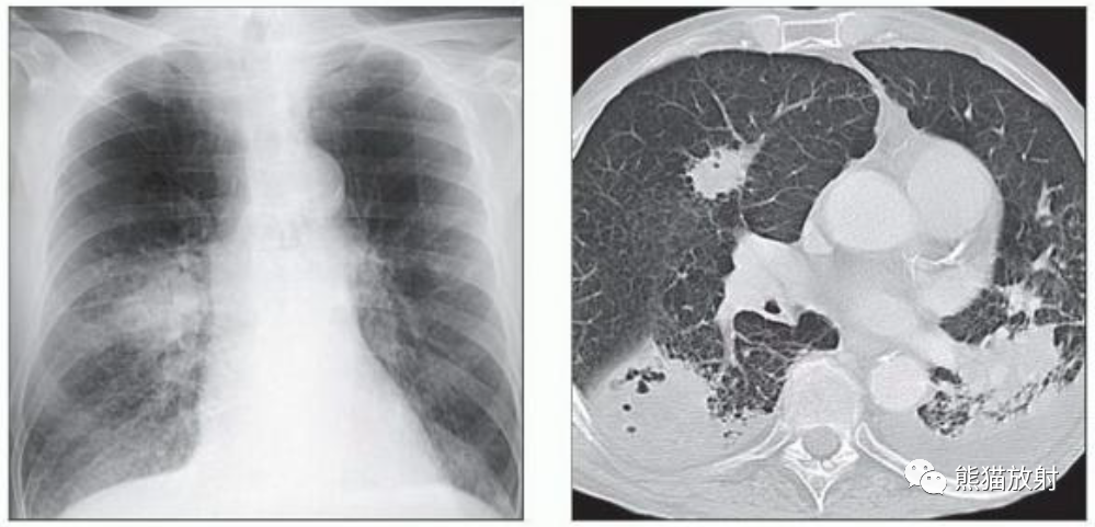
(左) 40岁男性,慢性右上叶肺结核病史,轴位CECT显示霉菌球,表现为腔内后部一部分钙化的结节。
(右)同一患者,俯卧CECT显示腔内霉菌球移动至重力依赖部位。在俯卧位重复低剂量 CT 有助于显示疑似霉菌球的腔内活动性。

(左)急性髓细胞性白血病和侵袭性曲霉病患者,轴位NECT显示多个肺结节,一些有空洞(直箭),周围有磨玻璃影。其中一个结节中的空气新月征(弯箭)勾勒出局部肺坏死,这是血管侵袭性真菌感染的特征。
(右)图示为侵袭性曲霉病的典型特征,特征是多灶性空洞性病变,可见空气新月形征包围的坏死肺和周围出血所致的晕征。

(左) 50岁男性,HIV感染并大咯血。胸片显示左肺上叶肿块,边缘不规则,其内局部透亮度增高,提示空气新月征。
(右) 同一患者,轴位CT显示厚壁空洞病变,中央见不均匀软组织密度灶,周围见磨玻璃影及小结节。术后诊断为侵袭性曲霉菌病。

(左) 23岁男性,大咯血,胸片显示右肺下叶空洞病变。
(右) 轴位CT显示右肺下叶空洞性病变,厚壁、后部软组织、周围磨玻璃影。

(左) 同一患者,支气管动脉栓塞过程中获得的DSA图像显示支气管动脉明显增粗,空洞性病变区域出现对比剂晕样显影。栓塞只是暂时成功,最终需要切除。
(右) 镜下可见真菌菌丝分支为45 ° 角,为典型的曲霉菌种。

(左) 72岁男性,患有急性淋巴细胞白血病和中性粒细胞减少性发热。PA胸片显示双肺多发边界不清的结节。
(右) 同一患者,轴位CT显示多发部分实性肺结节,特征为中央软组织密度和外周磨玻璃影。虽然CT引导下活检证实了本例为侵袭性曲霉菌病,但通常可以根据临床表现和特征性的影像学表现进行治疗。

(左)26岁男性,患有急性髓细胞性白血病和中性粒细胞减少性发热。冠状NECT显示双肺多发结节,部分伴有磨玻璃影“晕征”。血清半乳甘露聚糖水平升高,推测诊断为侵袭性曲霉病,患者接受了2个月的伏立康唑治疗。
(右)同一患者治疗后,轴位NECT显示除右肺上叶小空洞结节外的所有病变均已消退。

(左)38岁女性,患有终末期结节病,咯血。轴位CECT显示左肺上叶有一厚壁空洞肿块,内含不均质内容物和空气新月征,提示霉菌球。
(右)40岁女性,冠状NECT显示肺内多发空洞性病灶,内见软组织密度结节,提示霉菌球。

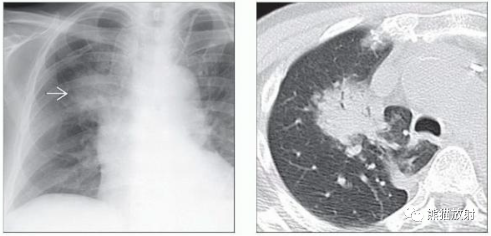
(左) 75岁男性,急性髓性白血病伴中性粒细胞减少性发热。胸片显示右肺上叶局灶性肿块样高密度灶。
(右) 同一患者,右肺上叶肿块,内见充气支气管影。CT引导下经皮穿刺活检显示侵袭性曲霉菌病。虽然晕征有助于提示血管侵袭性真菌病,但它的缺失并不能排除诊断。中性粒细胞减少性发热患者应考虑此诊断。

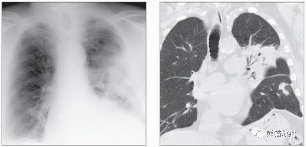
(左) 80岁糖尿病患者,患有慢性酒精中毒,尽管接受了抗生素治疗,但胸片显示左肺上叶仍有大片实变。
(右) 同一患者,冠状CT显示左肺上叶为主的实变。经支气管镜活检证实为亚急性侵袭性曲霉菌病。

(左) 67岁男性,头颈部癌症,慢性呼吸困难,咳嗽。胸片表现多灶性实变,右肺门周围病变为著,抗生素治疗后未消退。
(右) 轴位CT显示左侧少量胸腔积液和多灶性结节性实变,部分有空洞,提示坏死性肺炎。CT引导活检证实为侵袭性曲霉菌病,未见转移。侵袭性曲霉菌病也可影响胸膜。
肺隐球菌病
Cryptococcosis

(左) 艾滋病并发肺隐球菌病。CT显示右肺实性和空洞性肺结节。肺隐球菌病最常见的表现是多发性肺结节。空洞在较大的结节和免疫功能低下的患者中更为常见。
(右) 同一患者,气管隆突下淋巴结肿大,表现为环形强化和中心低密度。

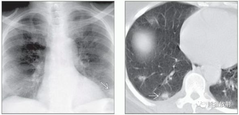
(左)免疫功能低下的肺隐球菌病患者,PA胸片显示右下肺野见一空洞性肿块,内见气液平面。
(右)同一患者,CECT肺窗和软组织窗图像显示右肺下叶空洞性肿块,内见气液平面,提示脓肿形成。邻近肺实质可见片状磨玻璃影(弯箭)。