【病例】肺良性转移性平滑肌瘤病1例CT影像
发布时间:2022-10-22
发布时间:2022-10-22
病史
70 / F;chest pain (onset: 2 days ago), past history of pelvic surgery (50 years ago), non-smoker
70岁,女性;胸痛2天,既往史:50年前盆腔手术史,非吸烟患者。
影像学检查

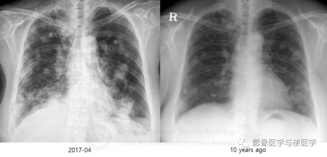
图1 胸片正位(10年前后对比)

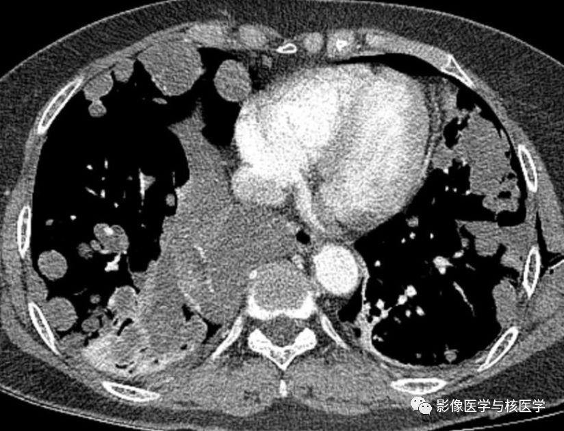
图2 胸部CT增强

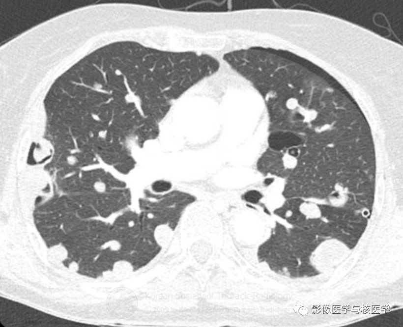
图3 胸部CT肺窗

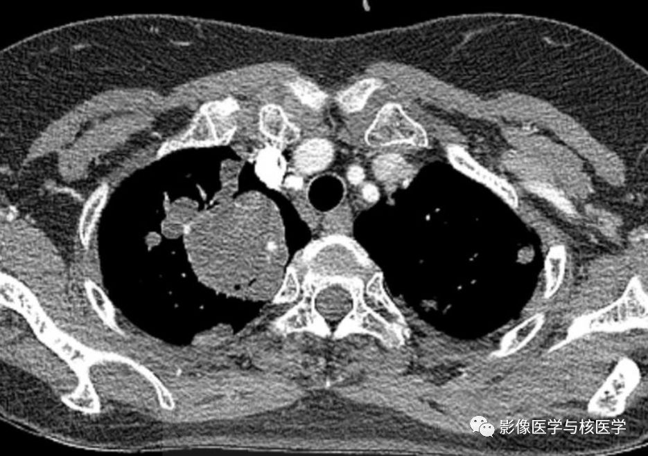
图4 胸部CT增强
影像学表现
Figure 1. Chest PA shows multiple nodules and masses in both lungs with left pneumothorax. There was another previous chest PA from outside hospital taken 10 years ago.
图1.胸片显示两肺多发结节或肿块伴左侧气胸。外院10年前另一胸片。(小编:前后对比病变明显进展)
Figure 2-4. On chest CT after chest tube insertion in left hemithorax, there are multiple nodules and masses with/without cavity in both lungs.
图2-4.胸部CT显示左侧气胸置管后,两肺多发结节或肿块伴或不伴空洞。
诊断
After VATS biopsy, benign metastasizing leiomyomatosis of the lung was finally diagnosed. The patient had a past history of hysterectomy about 50 years ago for uterine leiomyoma.
VATS活检后,最终确诊为肺良性转移性平滑肌瘤病。患者约50年前因子宫肌瘤行子宫切除术。
Benign metastasizing leiomyomatosis of the lung
肺良性转移性平滑肌瘤病
诊断关键点
Benign metastasizing leiomyomatosis (BML) is a rare disorder and has been described as originating from a uterine smooth muscle tumor of an unknown malignant potential and may actually represent a heterogeneous group of smooth muscle tumor, ranging from leiomyomas to low grade leiomyosarcomas.
良性转移性平滑肌瘤病(BML)是一种罕见疾病,为源于未知恶性潜能的子宫平滑肌肿瘤,实际为一组异质性平滑肌肿瘤,从平滑肌瘤到低级别平滑肌肉瘤。
BML refers to numerous well-differentiated leiomyomas at sites distant from uterus that are histologically identical to uterine leiomyoma.
BML指远离子宫的许多高分化平滑肌瘤,其在组织学上与子宫平滑肌瘤相同。
It is largely accepted that they arise as hematogeneous metastases from benign tumors.
多数人认为是BML由良性肿瘤血行转移引起的。
BML usually manifests as multiple incidentally detected pulmonary nodules in middle-aged women with a history of hysterectomy for uterine leiomyoma.
BML常见于有子宫肌瘤切除术病史的中年女性,表现为多发偶发肺结节。
The imaging findings are pulmonary nodules, varying from solitary lesions to multiple lesions mimicking pulmonary metastases.
影像学表现为肺结节,从孤立性病变到酷似肺转移的多个病变。
The nodules may occasionally show cavitation, rarely pneumothorax, or calcification.
结节可能偶尔出现空洞,很少有气胸或钙化。
Disease progression is indolent, and symptomatic disease is rare.
疾病呈惰性进展,多无明显症状。
The differential diagnosis is metastases from malignant tumors.
鉴别诊断为恶性肿瘤转移。
pneumothorax [ˌnju:mə’θɔ:ræks] n.气胸
uterine [‘ju:təraɪn] adj.子宫的
well-differentiated adj.高分化的
leiomyomas n.平滑肌瘤;
leiomyosarcomas n. [肿瘤] 平滑肌肉瘤
hematogeneous metastases :血行转移