【病例】胸膜下的混合密度结节—良恶之争
发布时间:2022-10-22
发布时间:2022-10-22
















微信群讨论
放射小白:
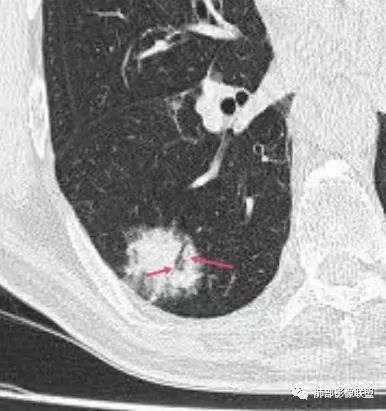
老年男性,右肺下叶混合磨玻璃密度结节,可见血管弯征,首先考虑肺腺癌。
摘星空竹子:
右肺下叶背段不规则结节,边界欠清,可见少许晕征,另见胸膜凹陷征及血管弯,考虑腺癌,鉴别隐球菌。
gaoql:
右肺下早不规则结节,周围少许磨玻璃晕,胸膜有牵拉凹陷,虽然部分边界平直,但血管受牵拉弯曲,首先还是考虑肿瘤,腺癌
藏客:
右肺下叶背段斑片影,边缘平直、局部膨隆,可见磨玻璃密度影,界清,胸膜牵拉,良恶性需要进一步鉴别,倾向隐球,鉴别粘液腺癌。
丽:
老年男性,右肺下叶胸膜下结节,边缘见清晰磨玻璃密度影及少许索条,支气管进入后截断,周围血管弯,考虑腺癌,鉴别隐球菌
宇宙:
右肺下叶胸膜下混合密度结节,分叶、毛刺,磨玻璃边界尚清晰,血管集束,支气管进入阻断,考虑腺癌
王静 安阳地区医院CT:
右肺下叶背段胸膜下肿块,边缘不规则,分叶,毛刺,有磨玻璃,边界清,近肺门侧见血管聚集,支气管进入后闭塞,右肺下叶肺静脉牵拉扭曲。诊断,支持腺癌
陈平:
老年患者,无呼吸道相关症状,肺部影像学表现:胸膜下占位,有结节融合趋势,内有低密度灶。考虑隐球菌,鉴别腺癌。
蓝天白云:
胸膜下结节,与胸膜平行,多结节融合,边缘模糊,直边征,考虑炎性肉芽肿,隐球,腺癌
看图说话:
右肺下叶背段实性结节,边缘分叶,较平直,长轴平行胸膜,胸膜增厚,考虑炎性假瘤,隐球菌,鉴别腺癌。
飞鹰行动:
混合性磨玻璃结节,边界清晰,血管打弯,考虑腺癌,鉴别炎性肉芽肿病变。
了:
老年男性,体检发现,无症状,右肺下叶背段肿块影,边缘清楚,无卫星灶,棘状突起,毛刺征,血管集支束,空泡征,考虑恶性肿瘤。
麦包子:
老年男性,体检发现。右肺下叶混合磨玻璃结节,渗漏征,短毛刺,血管集支束,空泡,考虑腺癌。
果哣.:
老年男性右肺下叶靠近胸膜一不规则混合密度影,周围有渗出,内见支气管扩张,考虑炎性病变隐球鉴别腺癌
衡妈:
老年男性 右肺下叶胸膜下见一团状实性病灶+边缘磨玻璃,边缘形态不规则,,局部有平直,长轴平行于胸膜面,整体收缩力偏弱,邻近胸膜面轻度增厚,纵隔窗显示病灶内可见支气管充气,考虑炎性肉芽肿,隐球菌可能,鉴别黏液腺癌。
月亮圆了!:
右肺下叶实行病灶,边缘部分有边界清晰的磨玻璃影,实变明显层面,可见平直。考虑腺癌
胸一丁翔:
右下肺近胸膜病变,周围可见磨玻璃影,界限无法判断清楚?模糊?。考虑右下肺占位:真菌感染?腺癌?淋巴瘤?
云帆沧海:
右肺下叶胸膜下结节,边界清楚毛玻璃,有分叶、毛刺、血管集束及胸膜增厚,考虑肉芽肿性病变,鉴别于腺癌
贝德曼(博博):
右肺下叶实性病灶,局部平直,考虑炎性病变,隐球菌可能
peek_knight:
胸膜下结节,长轴与胸膜平行,边缘模糊,直边征胸膜凹陷牵拉不明显,考虑炎性肉芽肿,隐?鉴别腺癌。
谢加平:
右肺下叶后基底段胸膜下斑块影,边缘清楚,有平直和膨隆特点,周围清楚GGO,较模糊(似清非清,邻近见多发纯GGO结节,以肺腺泡分布,主体病灶与胸膜平行,收缩力弱,边缘见支气管充气征,首诊断炎性肉芽肿,抗炎治疗和查下隐球荚膜抗原两方面进行,另取旧片对比,与粘液腺Ca鉴别,最后经皮肺穿刺病理诊断!
傅昌瑜:


上面这些征象存在炎性病变可能,我先考虑炎性病变——隐球,这样的血管弯在肺隐球菌病里也出现过。腺癌尤其是粘液腺癌也不敢排除。建议完善血隐球菌荚膜抗原、经皮肺穿刺活检等检查。
轩:
增强,粘液腺癌的强化,和隐球菌的强化相差还是很大的
尘缘:
结节型粘液腺癌,具有血管弯,支气管截断,磨玻璃边界清楚等恶性征象,同时磨玻璃内部较糊,似清非清,不符合普通腺癌附壁生长特点,更像局限的粘液成分。收缩力不强,胸膜局部微积液,内部小空洞(考虑局部粘液排除形成),所以考虑结节型粘液腺癌。
病例结果

精彩分析
尘缘:
这个结节型粘液腺癌还是比较典型的
Grace:
尹院再给分析分析,与腺癌的鉴别。磨玻璃边界似乎是清楚的。
之前学习时讲磨玻璃边界似清非清,可能是粘液飘出去了,为什么磨玻璃内部模糊也是提示粘液腺癌?附壁生长的磨玻璃一定是均匀的吗?
尘缘:
区别1:结节期(影像说结节型)粘液腺癌,粘液成分还大多数局限于粘液腺癌细胞的胞浆中,没有飘出去,所以粘液密度不明显,周围的磨玻璃成分大多数还是分散于肺泡壁上的粘液腺癌细胞,所以边界相对较清楚(时间越晚,飘出去的粘液越多,边界就会越不清楚了),因为胞浆中的粘液成分显得较糊,有点似清非清。而普通腺癌附壁生长的腺癌细胞胞浆中没有粘液,所以非常清楚。
区别2:粘液腺癌的MGGN收缩力不强,普通腺癌的MGGN收缩力明显。
回顾学习
粘液腺癌CT表现:
1.结节型肺粘液腺癌以中老年女性多见,单发,发病部位常位于两下肺胸膜下(肺外周带)。
2.多数病灶具备典型恶性肿瘤征象,但是不典型者仍不少见。可有分叶和棘状突起,但较少出现典型毛刺征。强化程度不如一般的腺癌病灶那么显著。
3.病灶常呈圆形或不规则形,实性结节略多于混合磨玻璃结节,少见于纯磨玻璃结节;或囊实性结节影或肿块,密度混杂,部分可出现钙化;病灶边界可清楚,也可模糊,须与炎性结节鉴别;周围可有类圆形磨玻璃密度卫星灶;表现为实性结节病灶,收缩力可能表现不明显,较少胸膜凹陷或血管集聚,须与良性结节鉴别。
4.原发性肺粘液腺癌侵袭力相对较低,发展慢;病灶较少破坏支气管及血管,可表现为血管造影征及空气支气管征。较少胸膜侵犯,也较少肺门纵隔淋巴结转移。
病理影像:
1.病理基础:肺原发性粘液腺癌的肿瘤细胞产生大量粘液,聚集于细胞内,破入细胞间隙甚至肺泡、末梢细支气管,致使病灶密度增高呈混合磨玻璃或实性结节。
2.粘液的直接扩散和漂移,致使病灶边界模糊和病灶呈多灶性生长。
3.粘液的重力效应致使病灶常位于胸膜下或叶间胸膜附近。
4.病灶内气管、血管破坏不明显,可出现血管造影征及空气支气管征;也提示病灶侵袭力较低。
5.粘液的张力(占位效应)常可抵消病灶收缩力,致使病灶收缩力表现常较弱。
上一篇:肺曲霉菌病、肺隐球菌病影像表现