多形性黄色星形细胞瘤1例MR影像

发布时间:2022-10-21

病例及相关资料展示:

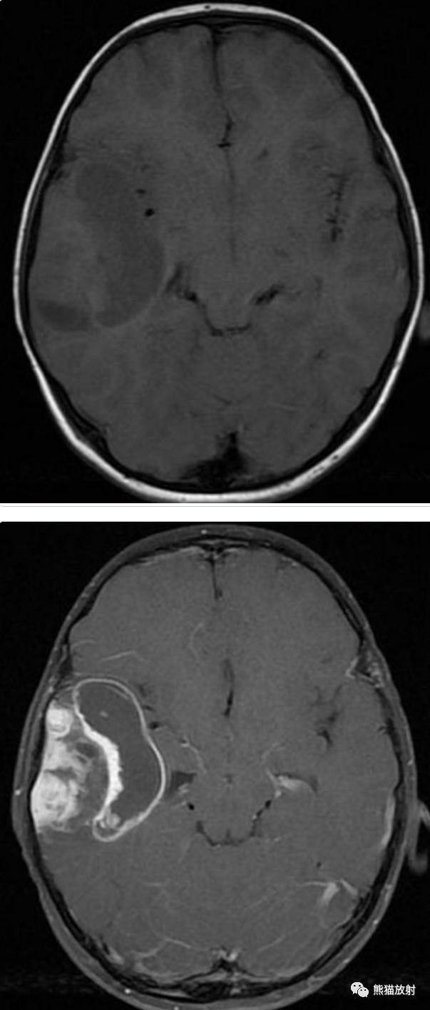
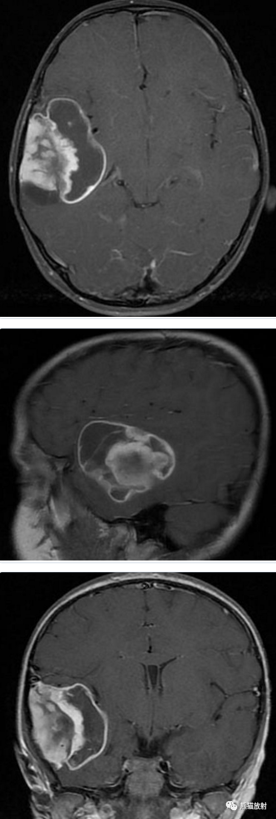
男性,14岁,癫痫发作数月。

【病例】多形性黄色星形细胞瘤1例MR影像

【病例】多形性黄色星形细胞瘤1例MR影像

【病例】多形性黄色星形细胞瘤1例MR影像

最后诊断:

⭐️ 多形性黄色星形细胞瘤

Pleomorphic xanthoastrocytoma

☆ 主要特点:

青少年 癫痫 颞叶 囊实性占位 病灶表浅 累及脑膜 实性部分位于脑表面 明显强化

【病例】多形性黄色星形细胞瘤1例MR影像

【病例】多形性黄色星形细胞瘤1例MR影像

精彩图片

热门精选