桥脑和桥外渗透性髓鞘溶解及其影像解析
发布时间:2022-10-22
发布时间:2022-10-22
患者信息
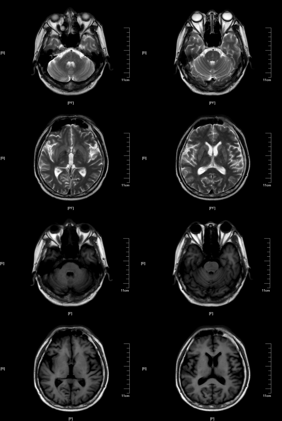
男,50 岁,患者 7 年前发现丙肝病原学阳性,未系统治疗,4 年前于当地医院诊断为肝炎后肝硬化 丙型 失代偿期,后规律应用病毒灵等抗丙肝药物治疗,现丙肝 RNA 已降为阴性。2018 年 11 月因「消化道出血」入我院,治疗期间明确诊断原发性肝癌,未规律治疗。25 天前患者进食烧烤后再次出现间断性呕血、便血,行胃镜套扎治疗,后病情好转后出院。患者 15 天前无明显诱因出现言语笨拙、流涎伴行走缓慢,具体表现为行走时脚尖着力,不需搀扶。






临床诊断:桥脑和桥外渗透性脱髓鞘疾病
桥脑和桥外渗透性脱髓性疾病
一、概述:
Adams 和同时于 1959 年首次提出桥脑中央髓鞘溶解症(Central pontine myelinolysis,CPM),见于长期酗酒和营养不良的患者。1962 年,发现桥脑之外也可出现病灶,称为桥外髓鞘溶解(Extrapontine myelinolysis,EPM)。CPM 和 EPM 是同一种疾病,共有相同的病理、联系和时间进程,但临床表现不同。CPM 多表现为:构音障碍及吞咽困难(皮质延髓束损伤)、四肢迟缓性瘫痪(皮质脊髓束损伤)、瞳孔及动眼神经功能障碍(中脑被盖损伤)、意识障碍等等。EPM 多表现为运动功能障碍(基底核团损伤)。

CPM和EPM可单独发生,也可以共同发生,本例即为共同发生
二、病因

部分患者与快速纠正低钠血症有关,临床需要常规查电解质;然而,很多时候部分患者未出现血浆渗透压的变化或低钠血症或电解质紊乱。本例即为肝炎导致的 CPM+EPM。
三、病理变化
桥脑分为前方的基底部和后方被盖,大部分患者病灶位于基底部,严重者可见被盖受累。病理变化往往与影像学表现相对应,最初病灶多位于中脑的中线附近,像「灌木丛一样」蔓延到周围的基底部,病灶可能延伸到中脑,但很少延伸至延髓。
低钠血症时脑细胞处于低渗状态,此时补充高渗盐水过快,使血浆渗透压迅速升高,而钾、钠等未能尽快进入脑细胞,脑细胞发生脱水,导致髓鞘和少突神经胶质细胞脱失,同时血脑屏障破坏,血管内皮细胞发生渗透性损伤,引起血管源性水肿,导致神经髓鞘脱失。
渗透性脱髓鞘综合征的大鼠模型发现:在低钠血症快速纠正后发生了大量的星形胶质细胞死亡,描绘了髓鞘丢失的区域。星形胶质细胞死亡导致星形胶质细胞-少突胶质细胞网络的破坏,迅速上调炎性细胞因子,小胶质细胞激活,最终导致脱髓鞘,结果支持渗透性脑损伤的病理生理学模型。

桥脑基底部髓鞘丢失但不伴炎性反应
四、影像学表现
(1) 在疾病的早期阶段,病变往往在 CT 和 MRI 无阳性发现,早期诊断相对困难,应结合临床、电解质的变化
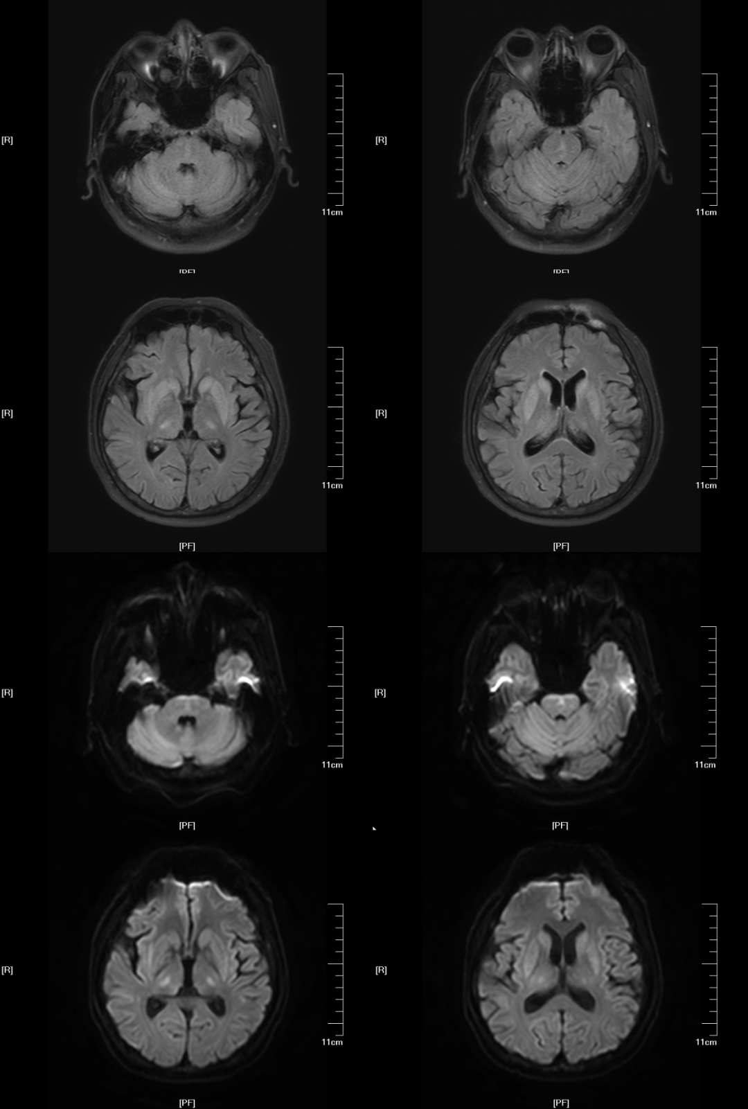
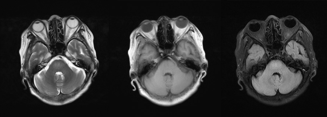
(2)CPM,病灶多位于桥脑基底部而桥脑腹侧不受累,病灶形状多种多样,可为条片状(位于中脑基底部中线,如本例)、斑片状、圆形或卵圆状、「三叉戟」或「猪鼻」样,T1WI 呈低信号,T2WI 及 FLAIR 呈高信号,病灶边界清晰,部分患者出现 DWI 高信号,有利于疾病的早期发现,出现强化提示血脑屏障破坏。

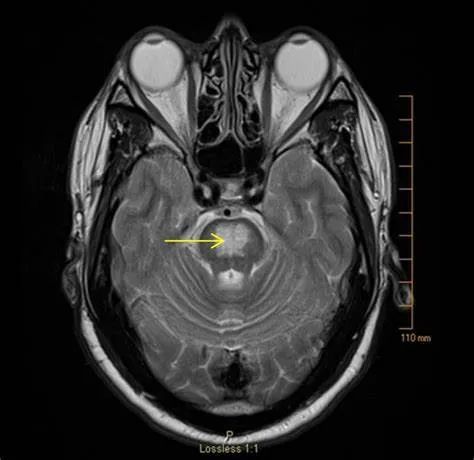
“三叉戟”样病灶,桥脑腹侧及被盖未受累

“猪鼻”样病灶,桥脑腹侧及被盖未受累,中脑被盖束未受累(蓝箭头)

圆形病灶,位于桥脑基底部,桥脑腹侧及被盖未受累
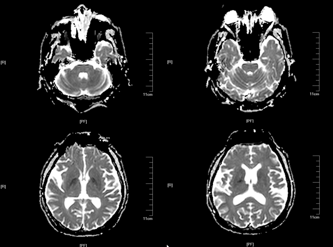
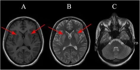
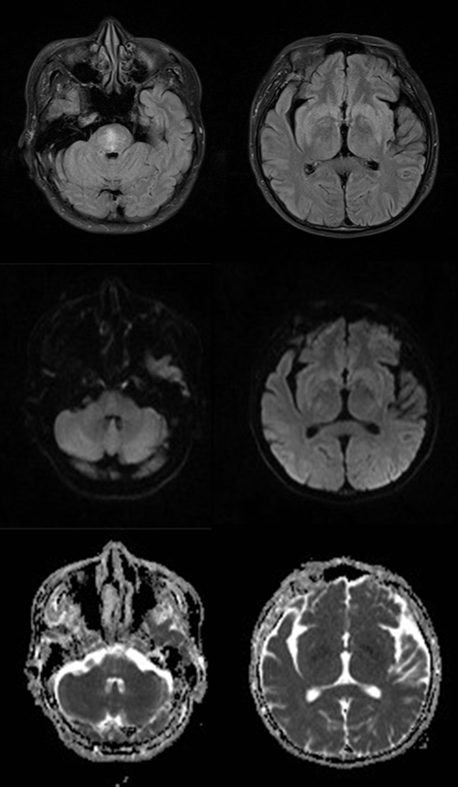
(3)EPM,病灶多对称位于基底核团或丘脑,少数病例可累及皮层,信号表现与 CPM 相似,但病灶形态不相同

对称性壳核受累,桥脑未见病灶

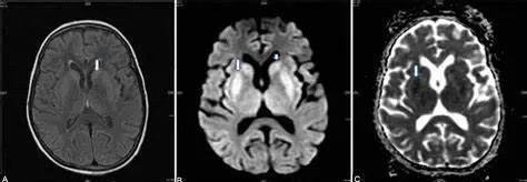
对称性壳核和尾状核受累,扩散受限
(4)CPM+EPM:(2) (3),MRI 与临床表现不密切相关,一般都会滞后几个星期。

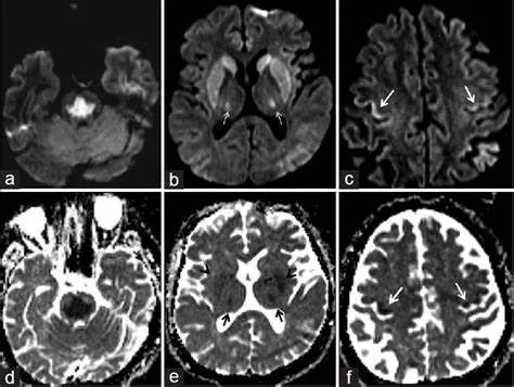
桥脑“三叉戟”+基底核团+丘脑+皮层受累,扩散受限
五、病例展示
Case1:女,66 岁,3 个月前因间断意识不清就诊于我院,明确诊断为「原发性胆汁性肝硬化 失代偿期、肝性脑病」,给予保肝、降黄、抗感染、对症支持治疗后好转出院。近 2 周内患者出现嗜睡,间断意识不清。血钠 137 mmol/L。


Case2:男,60 岁,发现乙肝病原学阳性 25 年,黑便 1 天,伴有头晕、恶心、乏力,血钠 135.8 mmol/L。


Case3:男,56 岁,因「阵发性耳鸣 15 天,头晕、视物模糊 6.5 天。入院前 15 天出现阵发性耳鸣,性质如鸣笛音,持续约数秒,发作频率大约 1-2 次/天,入院前 6.5 天无明显诱因出现头晕、视物模糊,表现为头重脚轻感,走路不稳,无天旋地转感。既往:2 个月前出现过 3 次头晕,当时伴有视物旋转感。饮酒 30 余年,以前 7-8 两/天。



上一篇:颅骨浆细胞瘤1例CT及MR影像
下一篇:多形性黄色星形细胞瘤1例MR影像