脑膜瘤与血管外皮瘤的 MRI 诊断与鉴别诊断
发布时间:2022-10-22
发布时间:2022-10-22
CASE 1
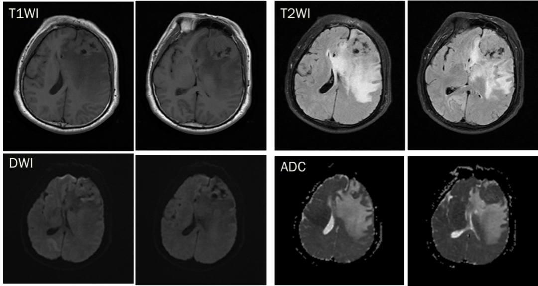
男,58 岁

CT 平扫:左侧额部占位,内伴钙化,周围见半片状水肿,大脑镰向右侧移位,邻近骨质未见破坏。





T1WI 呈等低信号,T2WI 实性成分呈等高信号,DWI 信号未见增高,ADC 值未见减低,增强实性成分明显强化,中央低信号钙化成分未见强化。邻近脑膜增厚(红箭头),脑膜尾征。
诊断:左侧额部脑膜瘤
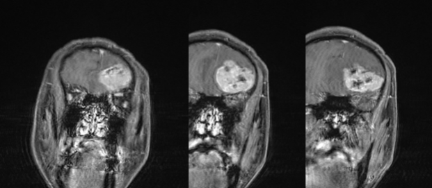
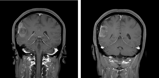
CASE 2
男,34 岁


右侧顶部大脑镰旁占位,信号均匀,增强可见明显强化,边界清晰,见脑膜尾征。
诊断:右侧顶部脑膜瘤
CASE 3
女,60 岁



右侧顶部低信号占位,边界清晰,增强可见边缘轻度强化;外院 CT 示高密度占位。
诊断:沙粒型脑膜瘤
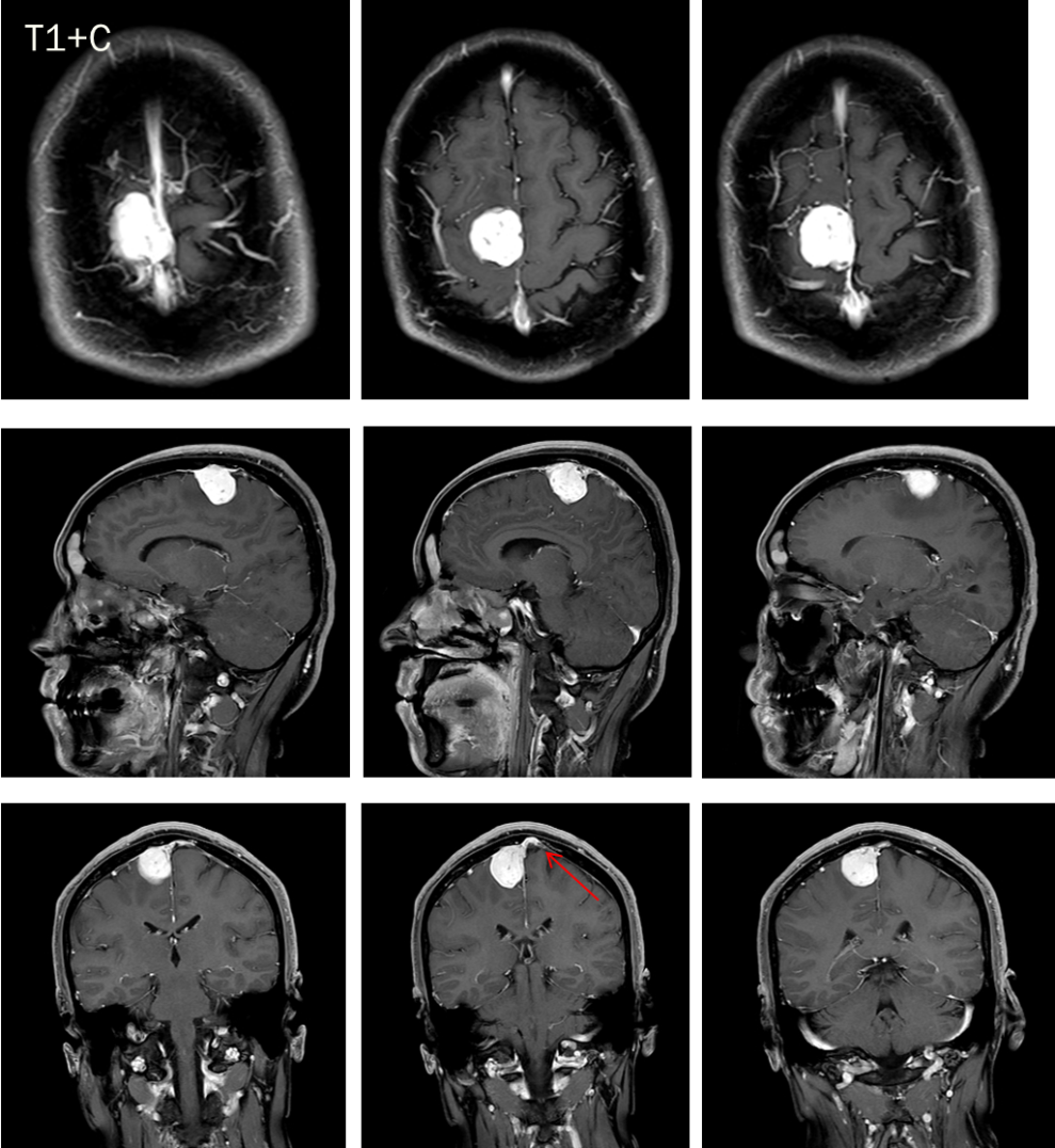
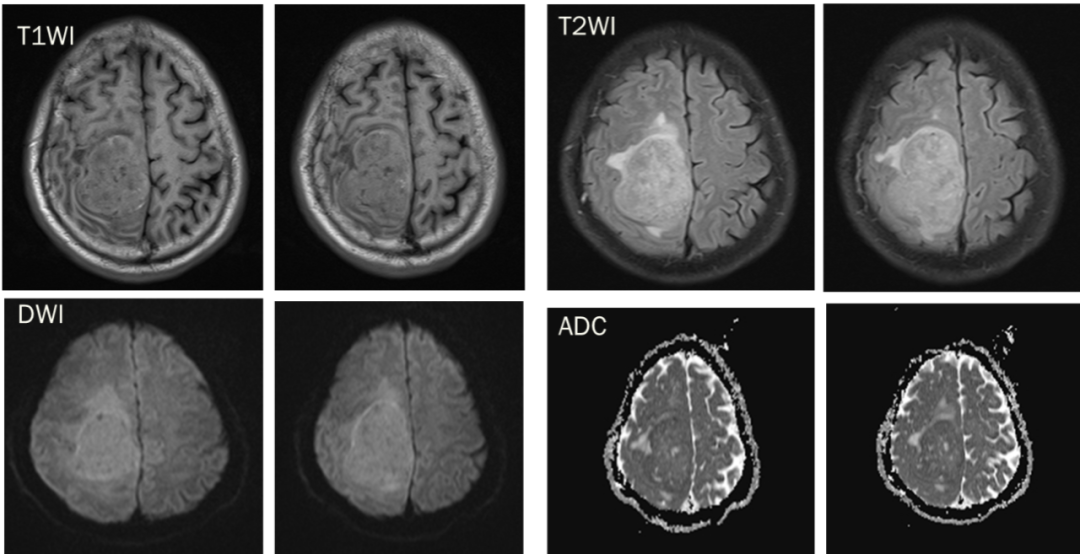
CASE 4
男,62 岁


右侧顶叶区混杂信号占位,T1、T2 内部条样低信号影,血管留空信号;增强可见明显强化,内部信号欠均匀,内见强化迂曲血管影。
诊断:右侧顶叶区血管外皮瘤
脑膜瘤
脑膜瘤(meningitoma)为最常见的脑外非胶质原发肿瘤;生长缓慢,多见于中年人;90%~95% 为良性,占颅内肿瘤的 13.4%,仅次于胶质瘤居第二位,发病的高峰年龄在 45 岁。女性发病多于男性,为 2:1
脑膜瘤起源于脑膜及脑膜间隙的衍生物,大部分来自蛛网膜细胞,其好发部位与蛛网膜纤毛分布情况相平行,多分布于矢状窦旁、大脑凸面、蝶骨嵴、鞍结节、嗅沟、桥小脑角和小脑幕等部位;恶性脑膜瘤的生长特性、细胞形态具有恶性肿瘤的特点,并且可以发生转移。
脑膜瘤分型:
1、脑膜皮型脑膜瘤(Ⅰ)
2、纤维型(成纤维型)脑膜瘤(Ⅰ)
3、过渡型(混合型)脑膜瘤(Ⅰ)
4、沙粒型脑膜瘤(Ⅰ)
5、血管瘤型脑膜瘤(Ⅰ)
6、微囊型脑膜瘤(Ⅰ)
7、分泌型脑膜瘤(Ⅰ)
8、富淋巴-浆细胞型脑膜瘤(Ⅰ)
9、移行型脑膜瘤(Ⅰ)
10、透明细胞型脑膜瘤(Ⅱ)
11、脊索瘤样型脑膜瘤(Ⅱ)
12、非典型脑膜瘤(Ⅱ)
13、乳头状瘤型脑膜瘤(Ⅲ)
14、横纹肌样型脑膜瘤(Ⅲ)
15、间变性(恶性)脑膜瘤(Ⅲ)
脑膜瘤影像特征:
1. 平片
1) 脑膜瘤易引起颅骨的各种改变,头颅平片的定位征出现率可达 30%~60%。
2) 颅骨内板增厚,骨板弥漫增生,外板骨质增生呈针状放射。
3) 局部骨板变薄和破坏的发生率为 10% 左右。
4) 颅板的血管压迹增多。
2. CT 扫描
1)CT 平扫见类圆形稍高密度边缘清楚具有脑外病变特征的肿块(脑外病变见第二章第三节颅内肿瘤的定位和定性诊断)。
2)广基征肿瘤以广基与骨板、大脑镰或天幕密切相连。骨窗像见骨板骨质增生或受压变薄,偶见骨破坏。
3)瘤内可见砂粒样或不规则钙化(10%~20%),亦可发生坏死、出血和囊变。
4)增强扫描肿瘤多呈均匀一致性中度增强,瘤周水肿程度不一,占位效应明显。
5)恶性脑膜瘤少见,肿瘤生长迅速,具有明显的侵袭性,瘤周水肿较明显。
3. MRI 特征
1) 肿瘤内可见流空血管影。
2) T1WI 肿瘤周边可见假包膜形成的低信号环。
3) 增强时瘤体常呈均匀强化,并可见脑膜尾征(duraltail 征),即与瘤体相连的硬脑膜呈窄带状强化。
血管外皮瘤
血管外皮瘤又称为孤立性纤维瘤,颅内孤立性纤维瘤较罕见,国内报道较少;中年人多见,WHOII 级,相对恶性。呈不规则分叶状,囊变、坏死、出血多见,瘤旁水肿明显,骨板可见溶骨性破坏。常累及大脑镰、小脑幕及硬膜窦,多窄基底相连。最早报道于 1996,认为中枢神经系统的 SFT 多源于脑 膜;2007 年 WHOCNS 将其列入脑膜肿瘤中间叶肿瘤中的一类,将其认为脑膜瘤亚型;2016 年 WHOCNS 将其 及血管周细胞瘤一同归为间叶组织来源、非脑膜上皮性肿瘤
好发部位:颅底、矢状窦、大脑镰旁、小脑幕和静脉窦附近
良恶性:交界性肿瘤,大部分被认为是良性,10%~20% 为恶性或潜在恶性
病理学特征:主要由梭形细胞构成,瘤细胞疏密相间,无特殊组织蛋白,细胞间可见纤维组织增生及胶原化。肿瘤间质有丰富的「裂隙状」或「鹿角状」血管影
免疫组化特点:Vim( )、CD34( )、Bcl-2( ),CD34( )被认为是较特异和准确的免疫标志物
影像特征:
平扫:T1WI 及 T2WI 呈等、稍低信号,病灶内可见斑片灶性坏死区,部分病灶内可见流空血管影;肿瘤边界清楚,多数与脑膜相连或与脑膜关系密切,部分病灶周边可见轻度水肿
DWI:呈稍低信号,反应肿瘤血供丰富、生长较快、质地柔软的组织学特点
增强:病灶明显均匀或不均匀强化,病灶内流空血管影可见明显强化,少数病灶可见「脑膜尾「征及瘤周可见供血血管影
MRS:起源于脑外,Cho 均显著增高,NAA 峰一般不显示或因瘤周脑组织干扰呈低峰显示

上一篇:Blake囊肿1例MR影像表现