Blake囊肿1例MR影像表现
发布时间:2022-10-22
发布时间:2022-10-22
近日,AJNR杂志刊登了如下一则教学病例。
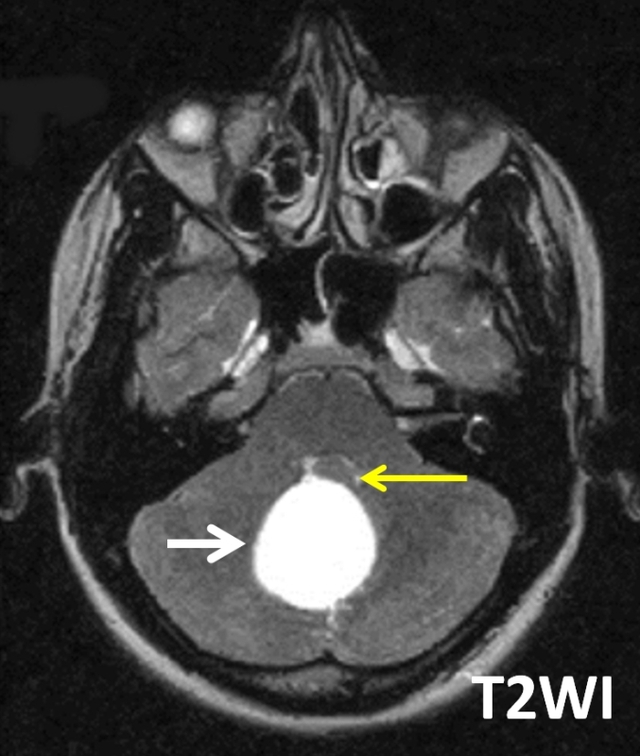
患者女性,29岁,头痛、视物模糊和共济失调。

结合上图,考虑如何诊断?
A. Blake囊肿
B. 小脑延髓池扩大
C. 蛛网膜囊肿
D. Dandy-Walker畸形
答案:A. Blake囊肿



Blake囊肿是一种后颅窝的小蛛网膜囊肿畸形,被认为是继发于第四脑室正中孔形成障碍的Blake小袋退化失败所致髓帆向小脑延髓池的囊性扩张。
Blake囊肿经典的影像学表现有后颅窝小脑蚓部(图中黄色箭头)后下方可见一装满脑脊液的囊肿(图中白色箭头),该囊肿后方与小脑延髓池(图中红色箭头)分离。该病例中未见小脑蚓部发育异常,而Dandy-Walker综合征这常伴小脑蚓部发育不全。