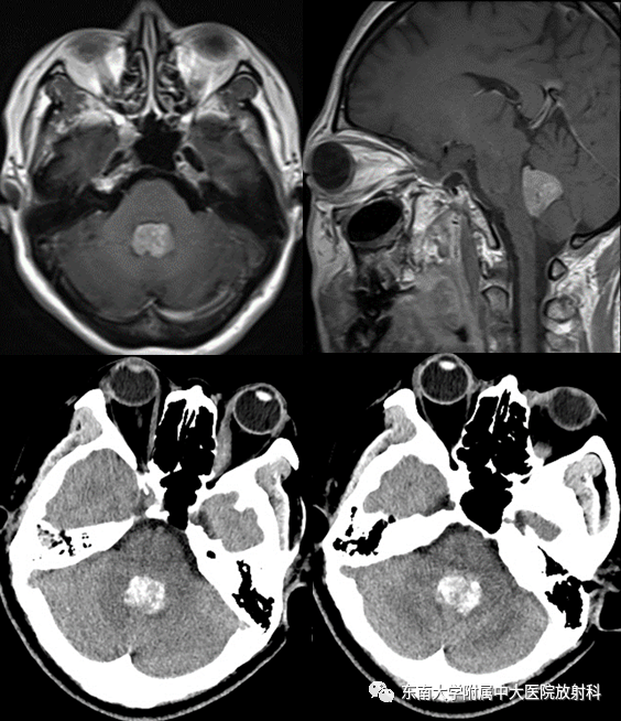
成人四脑室脉络丛乳头状瘤1例CT及MR影像
发布时间:2022-10-22
发布时间:2022-10-22
病史
• 女,50岁
• 主诉:四肢乏力半年,恶心1天
• 现病史:半年前出现四肢乏力,偶有头晕精神欠佳,易困,未予重视。患者今出现恶心,无呕吐,视力、视野正常,步态正常,无共济失调,无四肢乏力,四肢肌力、肌张力正常,无明显运动、感觉障碍;确诊graves眼病
CT平扫+MR平扫及增强



























上一篇:颅脑MR平扫中极易漏诊的点
下一篇:肺泡蛋白沉积症1例CT影像诊断