颅脑MR平扫中极易漏诊的点
发布时间:2022-10-22
发布时间:2022-10-22
一般而言,颅脑MR平扫报告是很多刚入门的影像诊断医生喜欢写的,因为序列固定(T1WI、T2WI、FLAIR、DWI),图像加起来也就一百来张,而且通常没啥难写的,经常写的就是些缺血灶、脑白质疏松和老年脑改变,顶多来个脑出血、急性脑梗塞,遇到再难的就直接建议增强了。但事实上颅脑MR平扫也是平时工作中漏诊率最高的检查部位之一,如果不能总结教训、积累经验,长此以往恐怕会出大问题。这也是本文的目的。
今天主要和探讨一下脑血管的病变。在很多人的固有思维中,脑血管病变需要对脑血管清晰显示才能诊断,应该做CTA或DSA检查,再不济也得做个MRA或颅脑MR增强,通过MR平扫怎么能诊断脑血管病变?正是在这种想当然的定式思维下,一个个病变才得以在眼皮底下被漏掉(不怕丢人,我也漏!),不信咱们看看下面三个典型病例 ↓↓↓
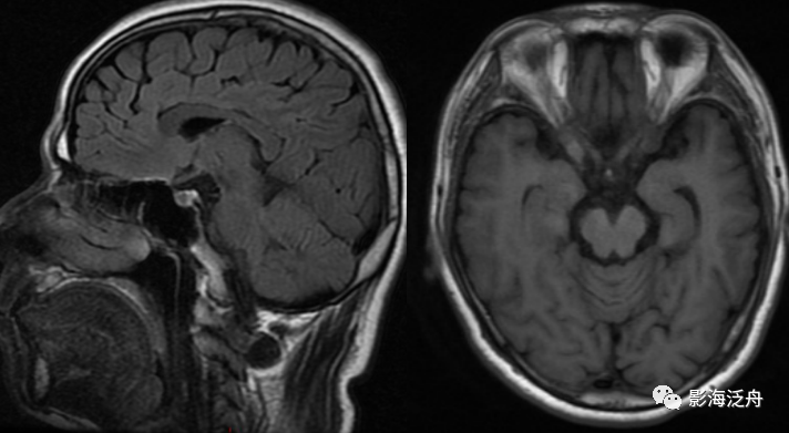
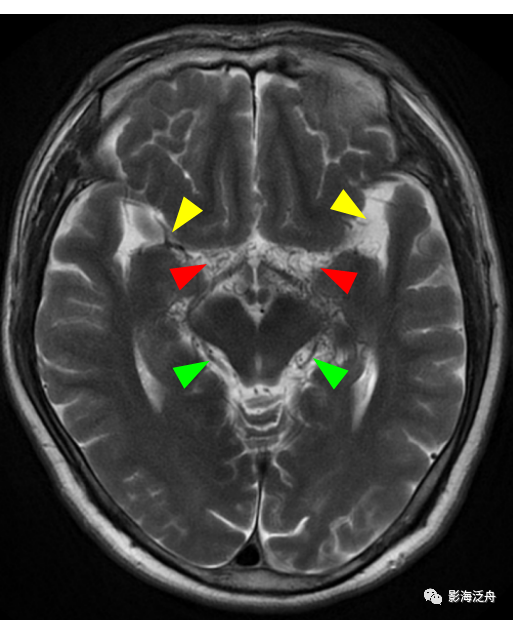
病例一:患者男,51岁,头晕1月余,神经系统查体无殊,血压正常。


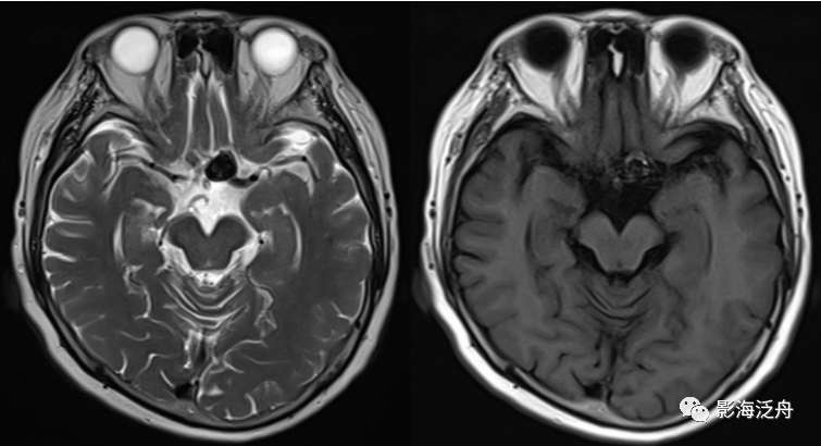
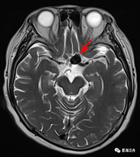
病例二:患者女,78岁,头晕1周,无头痛、恶性呕吐等症状,既往有胃CA手术史和糖尿病、高血压等病史。


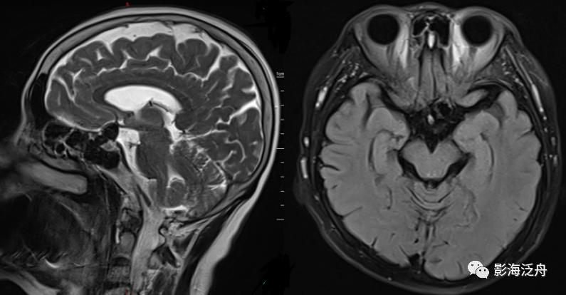
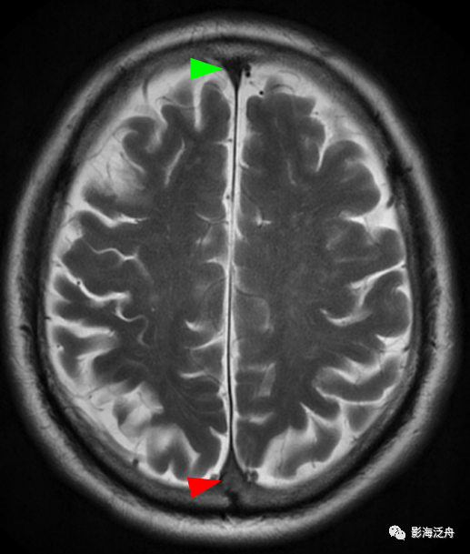
病例三:患者男,67岁,头晕伴头痛1周,既往有脑梗死病史,血压145/95mmHg,神经系统查体无殊。


上面三个病例,大家诊断什么?
其实答案已经比较明显了,因为截的图都是比较典型的层面,如果把这些典型的图像隐藏在一个序列中,你是否还能诊断出来?如果把这个病例隐藏在每天几十份甚至上百份报告中,你还有信心不漏诊吗?假如没有把握,那以后可就得加强化练习了。

病例一:烟雾病。如图所示,T2WI序列上在脑底池可以看到多发杂乱的细小流空血管影(红箭头),右侧侧裂池中大脑中动脉间断显示,且管腔粗细不均,而左侧大脑中动脉完全不显影(黄箭),两侧的大脑后动脉显示清晰(绿箭头)。脑底池中细小血管影增多的另一个常见原因多见于颅内感染,比如病毒性脑炎或隐球菌脑炎等。

病例二:左侧前交通动脉动脉瘤。动脉瘤瘤体显示清晰,呈流空改变,内见斑片状T2WI稍高信号影,可能是湍流造成的。如果脑子里完全没有去观察颅内血管的意识,那就很容易漏诊。

病例三:静脉窦血栓。正常情况下,上矢状窦在SE序列(T1WI)和FSE(T2WI)序列上均呈流空低信号(绿箭头),本例中上矢状窦呈等高信号(红箭头),结合患者头痛病史,应考虑上矢状窦血栓。
小结:通过上述三个病例,不难发现在颅脑MR平扫检查中,T2WI序列对脑血管病变诊断具有较大价值,这主要得益于血液流动造成的流空效应以及脑池中脑脊液的衬托。反过来,也正是因为血管的流空效应,导致脑血管病变在T2WI上呈低信号而容易被忽略,再加上经验不丰富的诊断医生对脑池、脑血管解剖的不熟悉,就非常容易漏诊。希望通过本文能对大家有所启发和警醒,在平时颅脑MR阅片中,除了观察脑实质的病变,还应当多留意一下颅内血管是否存在异常。