Poland综合征1例CT影像
发布时间:2022-10-21
发布时间:2022-10-21
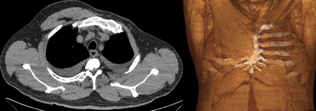
男,39 岁,体检肺 CT。

影像表现:右侧胸大肌及胸小肌缺如。
最终诊断为:部分型 Poland 综合征 (Poland syndrome)
Poland 综合征
Poland 综合征又称胸大肌缺损并指综合征,是一种单侧胸壁发育不良合并同侧手指畸形的先天性畸形。由 Alfred Poland 在 1897 年首次描述。国外报道,Poland 综合征的发病率为 1:30000,男女性发病率约 3:1。病因不明,可能与胚胎第 6 周末时,锁骨下动脉或其分支血供中断,导致供血区域组织的发育不良有关,畸形的范围和严重程度取决于血供中断的范围和程度。
临床特征
临床特征:包括部分或完全的胸大肌缺陷 (最主要的核心表现)、身体同侧的短指/并指畸形,有时合并胸腔和乳腺的其他畸形。不合并手部畸形者,称为部分型 Poland 综合征,此型更常见。此外还可合并其他畸形,如右位心、Mobius 综合征、Klippel-Feil 综合征等,还可合并肾脏畸形、肿瘤等。
影像学
影像学:主要表现为胸壁、肌肉、乳房及同侧上肢缺损或畸形的程度,并与健侧对比。3D 重建有利于更明确显示胸廓、肋骨及软组织畸形,本例右侧胸大肌及胸小肌缺如。
诊断
诊断:诊断通常基于临床表现、病史及影像学检查,影像学检查对评价畸形的严重程度、和手术时机的选择非常重要。
他山之石

病例 1:左侧胸大肌及胸小肌缺如,并左侧胸腔积液

病例 2:右侧胸大肌和胸小肌缺如,右侧乳房明显缩小

病例 3:左侧胸廓缩小,左侧胸大肌和胸小肌缺失,合并右位心

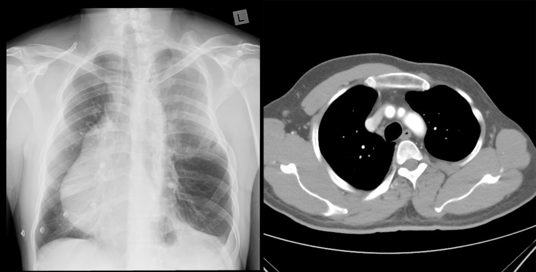
病例 4:胸部 X 线显示双侧乳头标记物高低不一致,右高左低,右肺野透亮度减低;右侧胸大肌及胸小肌缺失
治疗及预后
Poland 综合征因胸壁缺损而出现反常呼吸,明显影响心肺功能;此外胸壁畸形可影响心理健康;合并手指畸形者,可与胸壁手术分期进行;Poland 综合征预后较好,但矫形效果取决于畸形的程度,恰当的手术治疗可获得较理想的胸廓外形,但严重畸形往往存在广泛软组织发育不良,加上植入肋骨容易被吸收,术后可能会复发,甚至需要多次手术。
上一篇:骨肌病例讨论
下一篇:脊柱骨巨细胞瘤1例CT及MR影像