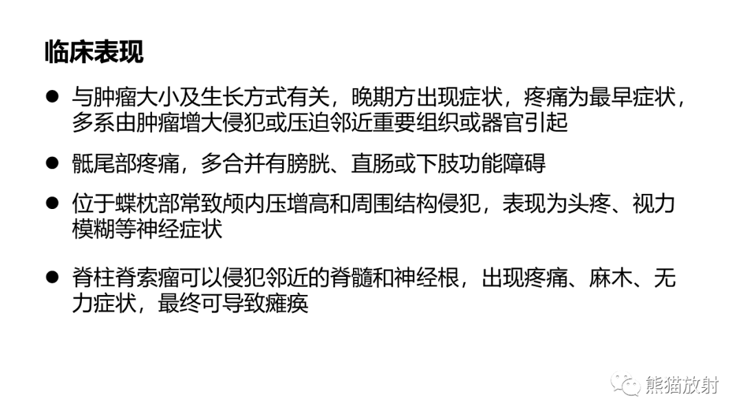
骨肌病例讨论

发布时间:2022-10-21

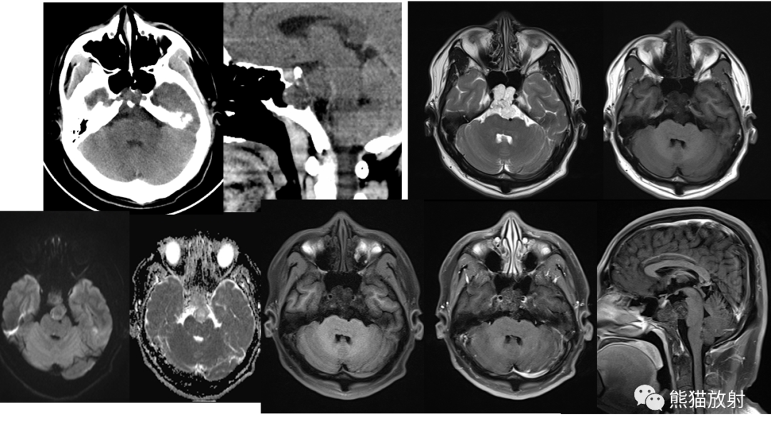
【病例】斜坡 & 骶骨脊索瘤各1例CT及MR-1

【病例】斜坡 & 骶骨脊索瘤各1例CT及MR-2

【病例】斜坡 & 骶骨脊索瘤各1例CT及MR-3

【病例】斜坡 & 骶骨脊索瘤各1例CT及MR-4

【病例】斜坡 & 骶骨脊索瘤各1例CT及MR-5

【病例】斜坡 & 骶骨脊索瘤各1例CT及MR-6

【病例】斜坡 & 骶骨脊索瘤各1例CT及MR-4

【病例】斜坡 & 骶骨脊索瘤各1例CT及MR-7

【病例】斜坡 & 骶骨脊索瘤各1例CT及MR-8

【病例】斜坡 & 骶骨脊索瘤各1例CT及MR-9

【病例】斜坡 & 骶骨脊索瘤各1例CT及MR-10

【病例】斜坡 & 骶骨脊索瘤各1例CT及MR-11

【病例】斜坡 & 骶骨脊索瘤各1例CT及MR-12

【病例】斜坡 & 骶骨脊索瘤各1例CT及MR-13

【病例】斜坡 & 骶骨脊索瘤各1例CT及MR-14

【病例】斜坡 & 骶骨脊索瘤各1例CT及MR-15

【病例】斜坡 & 骶骨脊索瘤各1例CT及MR-16

【病例】斜坡 & 骶骨脊索瘤各1例CT及MR-17

【病例】斜坡 & 骶骨脊索瘤各1例CT及MR-18

【病例】斜坡 & 骶骨脊索瘤各1例CT及MR-19

【病例】斜坡 & 骶骨脊索瘤各1例CT及MR-20

【病例】斜坡 & 骶骨脊索瘤各1例CT及MR-21

精彩图片

热门精选