如何做好四肢关节的MRI扫描
发布时间:2022-10-21
发布时间:2022-10-21
MRI具有多参数、多方位和优异的软组织对比度等特点,其在四肢关节的影像学检查中得到了极其广泛的应用;同时,MRI多序列组合可获得多种对比图像,为四肢关节疾病的诊断与评估提供了更为丰富的影像学信息。但MRI图像质量受到诸多因素的影响,那么在实际的临床扫描中应如何做好四肢关节的MRI扫描?本期主要分享一些四肢关节的MRI成像要点。
1.合理的摆位是做好四肢关节扫描的基础。
在MRI成像中,摆位可以说是极其重要的一个环节,也是一个很容易被忽视的环节。合理、人性化的摆位不但可以获得优异的MRI图像质量,还可以避免相关伪影的产生。

在进行四肢关节的扫描摆位时,首先要让被检者处于最为舒适的状态才能顺利地完成整个检查,特别是对于一些比较特殊的被检者。如上图△,对于该呈90°的肘关节的扫描,我们需要考虑选择何种线圈,被检者处于何种体位才能获得比较理想的图像质量。

除此之外,摆位时还需选择合理的线圈,抓住你需要观察的重点等,在其规范化摆位的基础上做到个性化的摆位。如上图△,对于足踝部的扫描,做好其压脂的均匀性是其难点之一,那么我们在进行该部位扫描时怎样摆位才能获得比较优异的图像。
在四肢关节的扫描中,摆位是极其重要的,可以说只要摆位摆好了,你的扫描就成功了一半。同样,合理、人性化的摆位是改善图像伪影最为有效的途径之一。

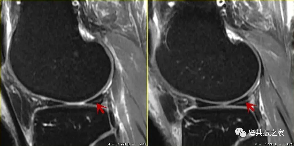
如上图△,图像中三角区域类型水肿信号的表现,其很容易被误诊;重新摆位后下图▽。

图像中局部区域的“水肿”信号消失。实践告诉我们,在四肢关节的扫描中,绝大多数的伪影都是由于摆位不合理造成的。
2.合理的序列组合不但可以获得更为丰富的对比度图像,还能临床诊疗提供更精准的影像学信息。
多序列组合是MRI最大的优势,同时也是解决临床问题的关键。MRI的序列众多,各序列都有各自的优缺点,在四肢关节的扫描时,应在规范化扫描的基础上做的个性化的扫描,借助于各序列的临床优势,合理地优化序列组合,才能为临床诊疗提供更为有利的、精准的影像学信息。
如T1WI较其它序列使用较短的扫描时间即可获得更高的信噪比图像。在四肢关节的扫描中建议T1WI使用较大的矩阵(更小的体素)扫描,以获得更高的图像分辨率。高分辨率的图像不但可以显示更为精细的解剖结构,还能为临床诊疗提供更多的影像学信息。在时间和信噪比都能保证的情况下,对于四肢关节的扫描应尽量采用小的体素扫描,以提高图像的分辨率。

四肢关节的扫描常扫描1-2个方位的T1WI,在实际的临床扫描中建议使用较大的矩阵扫描,以提高图像的分辨率。

再如,在四肢关节的扫描时为了使得组织对比更为丰富,更好的评估关节软骨病变等,通常会采用TE为30-50ms的序列扫描,该中间权重的TE值不但可以保证足够的信噪比和对比度,还能使关节软骨的信号更亮,更有利我们对其病变的评估。
3.在四肢关节的扫描中,应对其参数进行合理的优化。
MRI参数众多,各参数间是互相制约、互相影响的,合理的参数优化是获得优异图像的先决条件。如采用快速自旋回波序列时,注意回波链的长度,带宽等参数的合理设置,如参数设置不合理,必然会导致图像的模糊、对比度及信噪比的降低等。

如在四肢关节扫描中,回波链设置过长(图中回波链为16),采集的时间跨度过大,会导致图像的模糊伪影,锐利度降低,细节分辨不清。所以应根据实际的需求合理设置回波的长度。

缩短回波链(图中回波链为8),通常为6-10,不仅能更好的显示一些细微结构,也能使得关节软骨的信号更高。特别是在四肢小关节的扫描中,宁可减小采集(激励)次数,也不要轻易的增加回波链长度。同时,需要说明的是回波链也不是越短越好。
在实际扫描中,很多扫描技师喜欢采用降低带宽的方式来提高图像的信噪比。但值得注意的是如采用较窄的带宽必然会导致回波间隙的增大,同样会导致图像的模糊和分辨率的下降。

如图,上1,2幅图像为带宽12.5kHz;下1,2幅图像为带宽31.2kHz,(GE机型);虽然上两幅图像的信噪比比下两幅图像更高,但其分辨率明显不及带宽为31.2kHz的图像。
4.MRI压脂方法较多,应正确认识各种压脂方法的优缺点,并在实际扫描中根据实际情况合理选择其压脂方法,是做好四肢关节扫描的关键。

在实际的扫描中,应根据不同的扫描部位和范围,结合实际情况合理选择其压脂方法,这不但可以有效的地改善图像质量,还可以大大地提高工作效率。

如对于小关节使用何种压脂方法即可保证足够的信噪比又能获优异的图像质量。对于偏中心或大关节的扫描采用何种压脂方法才能取得更为理想的图像等。关于压脂的文章介绍前期介绍较多,再此不再赘述。
5.正确认识四肢关节扫描中的相关伪影,不管是扫描技师还是诊断医师,都是非常有必要的。

图△,这类伪影在四肢关节的扫描中并不少见。如不能正确地识别该类伪影,其很容易被误诊为水肿信号。在四肢关节的扫描中正确认识相应的伪影 ,是获得优异图像质量的关键。同时对相应伪影的正确认识,可以有效避免漏误诊的发生。

如魔角效应可出现在任何权重的MRI图像上,以短TE序列最为明显,如T1WI、PDWI图像上。常见于四肢关节的肌腱组织图像上,当在实际扫描中技师遇到该伪影时应知道如何去改善它,诊断医师遇到该伪影时应能正确识别它。
作为MRI技师,只有正确认识四肢关节中各种伪影,并针对这些伪影做出相应的改善策略,才能做出更优异的MRI图像。
6.在四肢关节的扫描中,需正确认识高分辨率图像。
在四肢关节扫描中,我们总是使用较小的体素扫描,以获得较高分辨率的图像。但小的体素并不意味着高的空间分辨率,我们必须认识到MRI各参数间是相互影响、相互制约的,在为了提高图像分辨率调整参数时,不能仅仅局限于某单一参数的调整。

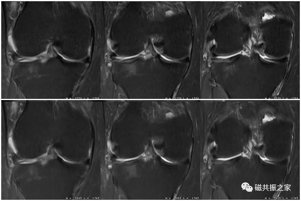
如图,上1,2,3幅图像的频率编码数为320;下1,2,3幅图像的频率编码数为512;虽然下面三幅图像的扫描体素较上面三幅图像更小,但其分辨率不及上面三幅图像。图像的分辨率并不是由单一参数决定的,在调整参数时应综合考虑时间、信噪比、对比度、伪影等相关因素。
同时,在做四肢关节的较高分辨率扫描时,建议采用较弱的压脂程度来保证图像的信噪比。

如上图的压脂程度为80%,下图的压脂为100% 。我们知道MRI的信号主要来自于水和脂肪中的氢质子,虽然较强的压脂程度可突出某些组织间的对比,但更多的脂肪被抑制,图像的SNR会下降,则不利于我们做更高分辨率的图像。在小体素扫描时,使用部分压脂可以保证图像足够的信噪比。
当然,做好四肢关节的MRI扫描需要注意的事项还有很多,上述内容只是个人的一点经验总结,仅供大家参考。我们最终需要实现的结果就是:能在合理的时间内获得足够信噪比、良好对比度以及较高空间分辨率的MRI图像。
参考文献:
张英魁,黎丽,李金锋. 磁共振成像系统的原理及其应用[M]. 北京大学医学出版社, 2021.
杨正汉, 冯逢, 王霄英. 磁共振成像技术指南[M]. 人民军医出版社, 2007.
王旭,何超.高场磁共振图像常见伪影分析与去除方法探究[J].实用医技志,2020,27(2):168-170.
B.Kastler. 深入了解MRI基础[M]. 人民军医出版社, 2012.
RayH.HashemiWilliamG.BradleyJr.ChristopherJ.Lisanti著;尹建忠. MRI基础 (第二版)[M]. 天津科技翻译出版公司, 2004.
上一篇:骨骺损伤的分型及影像表现
下一篇:骨盆X线解剖详解