骨骺损伤的分型及影像表现
发布时间:2022-10-21
发布时间:2022-10-21





骨骺骨折 Physeal fractures

Salter-Harris 分型
I型:骨骺分离(有或无移位,多不引起生长障碍)
II型:骨骺分离伴干骺端骨折(最多见)
III型:骨骺骨折(属于关节内骨折)
IV型:骨骺和干骺端骨折(较多见,关节内骨折,易引起发育障碍和关节畸形)
V型:骺板挤压性损伤(少见,多在晚期发生生长障碍时才能作出诊断)

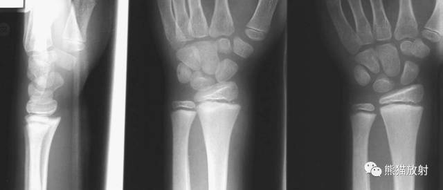
(上图)骨骺轻微向背侧、内侧移位,1-2周后随访骺板处可见成骨反应。
Salter-Harris I型:干骺端及骨骺分离
平片通常为正常,可表现为骺板增宽或骨骺轻度移位。

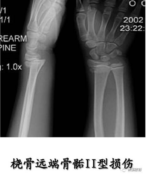
Salter-Harris II型:骨折累及骺板及干骺端,骨骺骨折中最多见(75%),预后较差。

Salter-Harris III型:骨折累及骺板及骨骺,属于关节内骨折,可导致生长停滞。

Salter-Harris IV型:骨折累及骺板、干骺端及骨骺,属于关节内骨折。

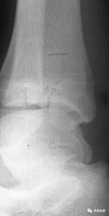
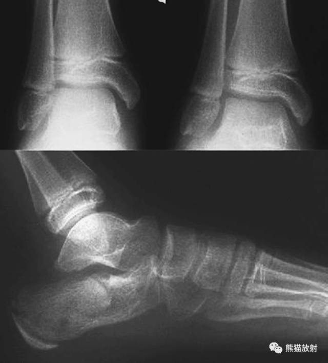
(上图)胫骨远端骺板变窄,同时可见并发的跟骨骨折。
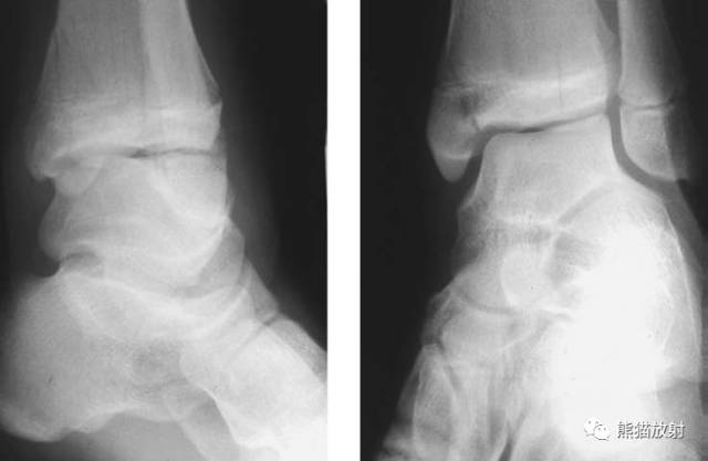
Salter-Harris V型:由轴向压力导致的挤压伤,表现为骺板的明显扭曲或变窄。
第一型(Ⅰ型) 骨骺分离,分离一般发生在生长板的肥大层,故软骨的生长带留在骨骺一侧,所以多不引起生长障碍;婴幼儿骺板软骨层较宽,容易发生骨骺分离,据统计,占骨骺损伤的15.9%;唯一的x线征象是骨化中心移位,该型复位容易,预后良好;而股骨头骨骺分离由于骨骺动脉多被破坏,预后不佳。该型也可见于坏血病、佝偻病、骨髓炎和内分泌疾病所致的病理性损伤。

第二型(Ⅱ型) 骨骺分离伴干骺端骨折。该型损伤最多见,占骨骺损伤的48.2%,好发部位在桡骨远端、肱骨近端及胫骨远端。多发生在10一16岁的儿童,骨折线通过肥大并累及干骺端的一部分,骨折片呈三角形,在骨折端成角之凸侧有骨膜撕裂,而凹侧骨膜完整、复位容易,预后良好。

第三型(Ⅲ型) 骨骺骨折。属于关节内骨折,骨折线从关节面开始穿过骨骺,再平行横越部分骺板的肥大层。该型占骨骺损伤的4%。多发生在胫骨远端内侧或外侧和肱骨远端外侧。无移位关节面平整者预后良好,有移位者需切开复位内固定,—般移位超过2mm者既是切开复位内固定的适应证。

第四型(Ⅳ型) 骨骺和干骺端骨折。该型也较多见,仅次于第二型,占30.2%;骨折线呈斜形贯穿骨骺、骺板及干骺端,由于骨折线同过生长板全层,所以容易引起生长发育障碍和关节畸形,多见者为鱼尾状畸形。此型多见于10岁以下小儿的肱骨外髁及年龄较大儿童的胫骨远端,此型必须切开复位及内固定。

第五型(V型) 骺板挤压性损伤,少见,占骨骺损伤的1%。由于严重暴力损伤造成,相当于骺板软骨的压缩骨折,有学者指出此型损伤只发生在一个方向活动的关节,如膝关节和踝关节。由于软骨细胞严重损伤破坏或来自骨骺营养血管广泛损伤,导致骺板早闭和生长停止。逐渐出现骨骼变形和关节畸形 ,但早期X线表现常常为阴性结果,多在晚期发生生长障碍时才能作出诊断。

























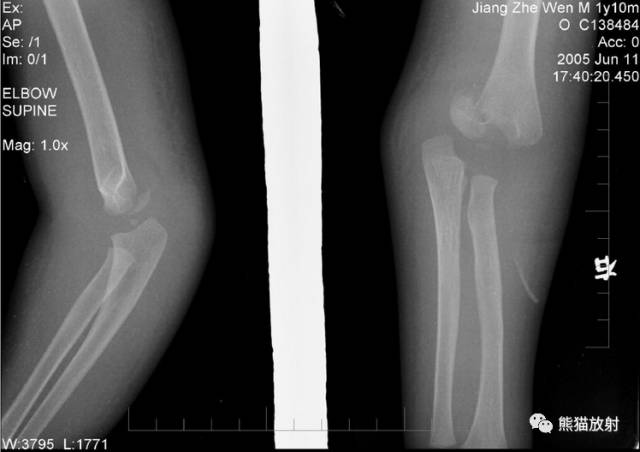
肱骨远端全骺分离
1岁男孩,肘关节外伤一天





(以上部分内容摘选自网络)
上一篇:狗戴项圈征
下一篇:如何做好四肢关节的MRI扫描