肝实质一过性强化CT影像表现
发布时间:2022-10-21
发布时间:2022-10-21









| 病例来源及编缉: |
病例来源:广州军区武汉总医院 阳昱恒 提供 编辑:张庆锋 |
|---|---|
| 病史资料: | 病史不详 |
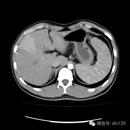
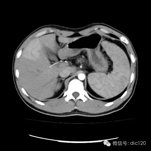
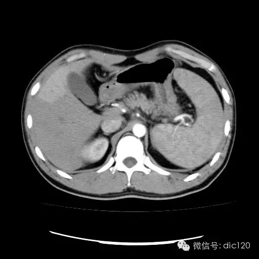
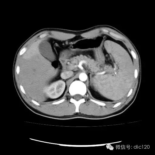
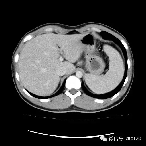
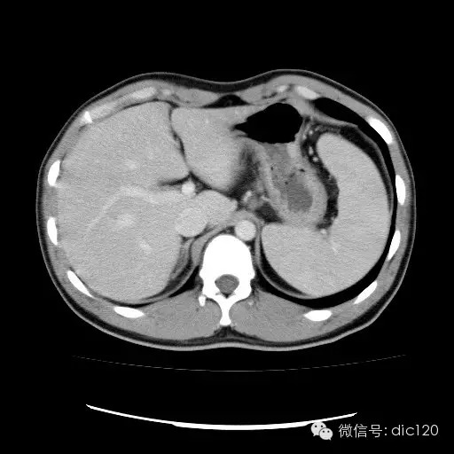
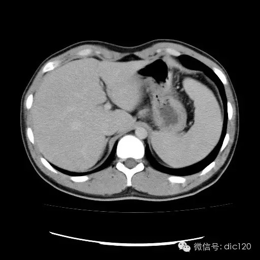
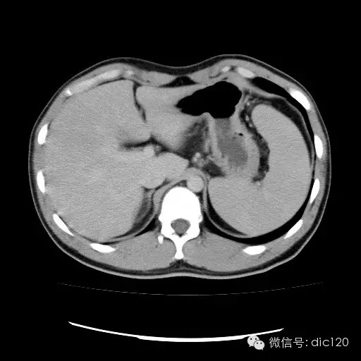
| 影像表现及分析: | 影像表现:动脉期扫描肝右叶紧贴边缘见一过性楔形高密度强化区,边界清,边缘平直,临近血管走形自然,门静脉期期恢复正常肝实质密度,延迟保持与肝实质密度一致。 |
| 鉴别诊断: |
1、FNH:动脉期明显强化,门脉期一般为略高或等密度;若中心呈放射状分布的纤维瘢痕组织是特征性改变。 2、肝腺瘤:与长期口服避孕药有关,动脉期可见早期强化,强化程度高,持续时间长,静脉期为低密度,可见包膜或肿瘤内出血。 3、肝细胞肝癌:动脉期扫描时病灶明显强化,而门脉期和延迟期扫描时病灶密度下降,呈“快进快出”特点。肝细胞肝癌患者多有肝炎,肝硬化病史,可伴有AFP升高; 肝血管瘤:典型肝血管瘤为边界清楚密度均匀的低密度影,增强扫描动脉期周边首先强化,呈结节状或环状,强化较明显,静脉期及延迟期并向内扩散。 |
| 确诊依据: | 典型病例 |
| 疾病总结: | 正常肝脏的双重血供并非2个独立系统,两者之间有许多交通吻合,包括①肝窦间通路.②脉管间途径.③血管丛途径,即胆管周围血管丛途径.当肝脏发生血供障碍时,通过神经一体液因素的调节这些交通吻合支开放,双重供血发生血流量的变化甚至血流方向的改变.肝脏的这种”一过性”灌注异常在SCT表现为肝动脉期一过性肝实质强化(THPE).一过性肝实质强化差异是SCT增强扫描于肝动脉期表现的肝脏一过性灌注异常,大多数情况下它反映了局部肝脏双重血供的重新分布,即局部肝实质门静脉或肝静脉血流量减少,肝动脉血流量增多或为肝动脉门静脉分流或局部肝脏的变异或迷走血供所致。典型CT表现为肝动脉期一过性楔形或三角形高密度强化区,边缘平直,常位于肝脏边缘部位,其中血管走行正常,门静脉期恢复为正常肝实质密度。放射学医师应加强对一过性肝实质强化CT表现的认识。 |
上一篇:卵巢静脉综合征病例及资料分享
下一篇:一例压缩性骨折所引起的思考