卵巢静脉综合征病例及资料分享

发布时间:2022-10-21

【病例】卵巢静脉综合征病例及资料分享

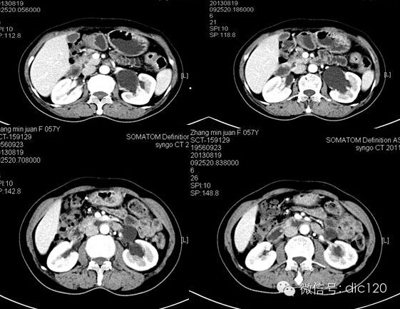
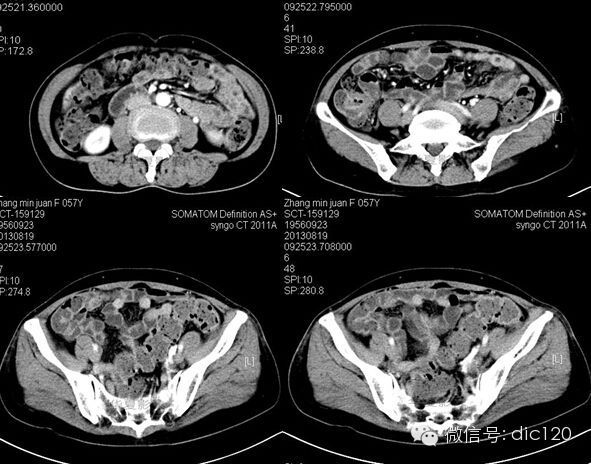
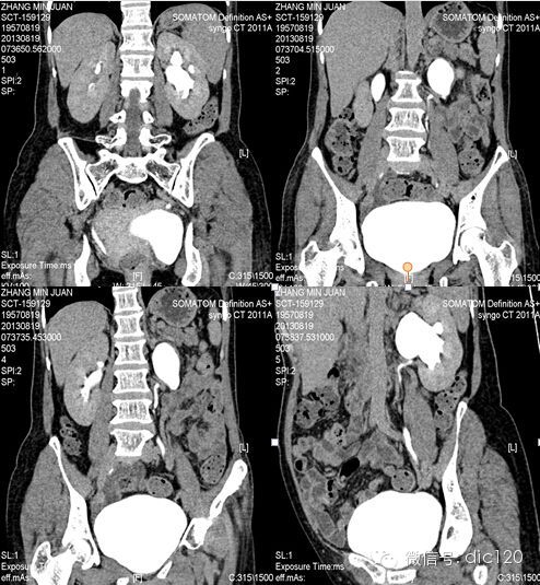
F,56Y,左腰腹部疼痛3天,B超:左肾积水,左输尿管上段扩张。
 
【病例】卵巢静脉综合征病例及资料分享
【病例】卵巢静脉综合征病例及资料分享
【病例】卵巢静脉综合征病例及资料分享
【病例】卵巢静脉综合征病例及资料分享
 
2013-8-20全麻下行“左肾盂输尿管连接部纤维束带松解 左输尿管纵切横缝术:术中沿腰大肌前方找到输尿管,将输尿管游离至肾盂处,见一纤维束带样组织压迫输尿管,将该组织松解切断,断端结扎,探查见肾盂输尿管连接处输尿管较细,于该处输尿管壁缝两针牵引线,尖刀片纵形切开输尿管壁。
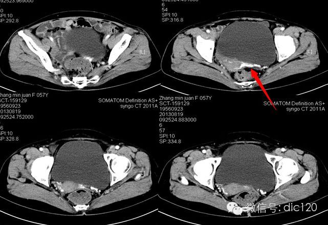
结果:卵巢静脉综合征,患者有外压性输尿管梗阻,卵巢静脉与输尿管交叉处有粘连。
 
【病例】卵巢静脉综合征病例及资料分享
【病例】卵巢静脉综合征病例及资料分享
【病例】卵巢静脉综合征病例及资料分享
【病例】卵巢静脉综合征病例及资料分享
【病例】卵巢静脉综合征病例及资料分享
【病例】卵巢静脉综合征病例及资料分享
【病例】卵巢静脉综合征病例及资料分享
【病例】卵巢静脉综合征病例及资料分享

精彩图片

热门精选