小肠禁锢症/腹茧症
发布时间:2022-10-21
发布时间:2022-10-21




肠茧症,即小肠茧状包裹症,又名:腹茧症,先天性小肠禁锢症。多为先天性畸形。
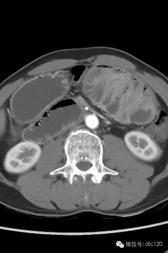
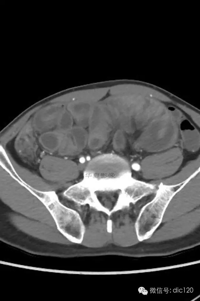
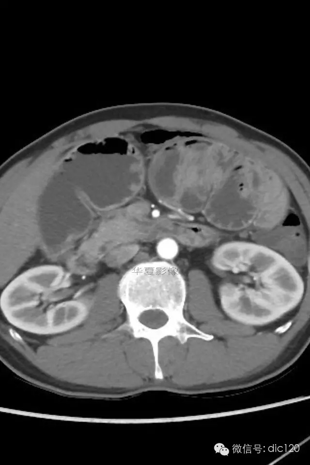
腹茧症以小肠被茧状包裹在一层异常的纤维膜内为其特征,为一种少见的,原因不明的特殊类型的肠梗阻。包膜厚薄不均,增厚处呈乳白色,包膜内小肠间或包膜间可有疏松粘连,包膜可局部增厚,形成缩窄环或束带压迫肠管形成梗阻,肠梗阻发生率约为57%,腹茧症伴腹腔内畸形率较高,约为54%。腹茧症92%的病人以肠梗阻就医,其中亚急性肠梗阻和慢性肠梗阻占71%,一些病人是在腹部手术时偶然发现本病。腹茧症女性多见,Francis总结以下情况可想到本病:1.青年女性,有不明原因的肠梗阻。2.既往又类似发作史,可自行缓解。3.常表现为腹痛及呕吐,但缺乏肠梗阻的四大典型症状。4.触诊腹部有无压痛的包块,质地软。腹茧症治疗以手术为主,充分松解粘连缩窄环,彻底解除梗阻使小肠复位或加以肠排列等。绝大多数病人术后症状消失,少数病人遗留症状,可试服用泼尼松,维生素B1治疗。
肠茧症分为两种类型:
1.单层包裹型 由单层纤维组织膜将小肠或其它脏器包裹。此种类型常包裹小肠及其系膜。手术时进腹容易,容易发生肠梗阻。
2.多层包裹型 俗称“千层饼”样包裹,其纤维层次多而广泛。手术时进腹困难,被包裹的脏器无移动性,发生肠梗阻的机会少。
治疗
以手术为主。手术方式根据包裹的程度以及有无肠坏死而定,尽可能做包膜切除或部分切除,解除包裹缩窄,切除囊带或松解粘连解除梗阻,除非小肠发生绞窄,一般不做肠切除,更不要轻易做整个包块及其中肠襻的切除。对包膜与肠管广泛紧密粘连时,不要强行分离,可做梗阻处包膜切除,以免损伤肠管或加重粘连。必要时可做小肠排列术以防再梗阻。
关于术中是否需切除阑尾,观点不统一。
腹茧症除非引起完全性或绞窄性肠梗阻,非手术治疗效果尚可。主要为对症治疗,也可配合中医中药治疗。
上一篇:黄色肉芽肿型肾盂肾炎CT影像表现
下一篇:盆腔神经鞘瘤一例