黄色肉芽肿型肾盂肾炎CT影像表现
发布时间:2022-10-21
发布时间:2022-10-21





| 病例来源及编缉: |
病例来源:广州军区武汉总医院,阳昱恒 编辑:张庆锋 |
| 病史资料: |
女,59岁,因“左上腹不适20余天”入院。 病例特点: 1.患者20余天无明显诱因出现左上腹不适,呈胀感,不伴发热、恶心、呕吐、腹痛、腰痛、腰胀等不适,亦无明显尿频、尿急、尿痛、肉眼血尿等不适。患者遂于枣阳市第三人民医院查超声示“左肾体积变小,左肾积水”。现患者为进一步诊治来我院门诊查CT示“左侧输尿管上段结石伴左肾积水、左肾萎缩”,门诊以“左肾萎缩、左侧输尿管结石伴左肾积水”收治我科。起病来患者精神尚可,体力正常,食欲正常,睡眠正常,体重无明显变化,大便正常,排尿正常。2.既往无特殊。 |
|---|---|
| 影像表现及分析: |
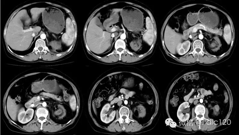
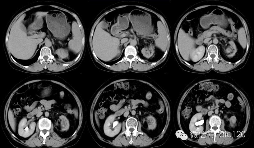
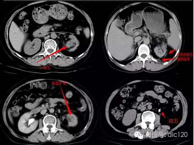
影像表现:CT平扫左肾体积变小,肾皮质变薄,肾盂扩张、壁增厚,见小点状高密度影,肾盏扩张,增强扫描病变周围组织呈环形强化,囊变区不强化,肾周模糊,筋膜增厚,临近腹膜增厚,左侧输尿管近段见结节状高密度结石影。 分析:1、中年妇女,左上腹不适;2、肾盂肾盏扩张、壁增厚,增强环形强化;3、输尿管及肾盂小结石;4、肾周筋膜增厚。 符合肾脏感染性病变,考虑黄色肉芽肿型肾盂肾炎。 |
| 鉴别诊断: |
1、淋巴瘤:常为双侧,继发于其他器官的淋巴瘤,表现为肾多发浸润性结节或单个病灶在肾内广泛浸润,多伴腹膜后淋巴结肿大。 2、肾结核:有结核中毒症状,脓肿破入肾盏形成空洞,若全肾钙化致肾功能完全丧失,多伴有肺结核。 3、肾脓肿:病史一般较短,症状更急、更重,CT平扫呈圆形或卵圆形低密度区,不伴软组织肿块,钙化少见,经抗炎治疗后多可吸收 |
| 确诊依据: |
检查所见: (左)肾及脂肪囊共13x8x7cm,其中肾10x4x4cm,输尿管长4.5cm,直径0.5cm,内壁稍粗糙,切开见肾皮髓质结构不清,呈灰白、淡黄色,少数区呈灰黄色,质软,坏死样。印象: 1.(左侧)黄色肉芽肿性肾盂肾炎及(左侧)慢性输尿管炎。 2.(左)肾结石。 |
| 疾病总结: | 黄色肉芽肿型肾盂肾炎是一种少见的肾实质慢性肉芽肿样炎性疾病,常见于中年妇女,临床上常表现为腰痛、发热、消瘦及脓尿等急慢性肾盂肾炎症状,约70%合并尿路结石,典型为鹿角样结石。CT表现:平扫时,常见肾盂内软组织肿块影,边缘多不清楚。累及肾实质表现为肾脏普遍增大,本例肾脏体积缩小,考虑慢性炎症所致,内有大小不一不规则低密度影,肾周筋膜增厚是本病的一个较特征性改变,同时也是鉴别肾肿瘤的一个重要鉴别点;增强扫描病变周围组织呈环形强化,囊变区不强化,囊变区,可多发或单发,囊变区为扩张的肾盏,坏死组织为黄色瘤样组织。肾功能较差。 |
下一篇:小肠禁锢症/腹茧症