腹壁韧带样纤维瘤1例MR影像
发布时间:2022-11-10
发布时间:2022-11-10
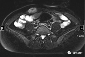
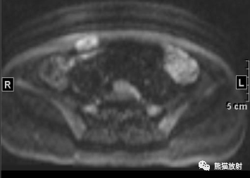
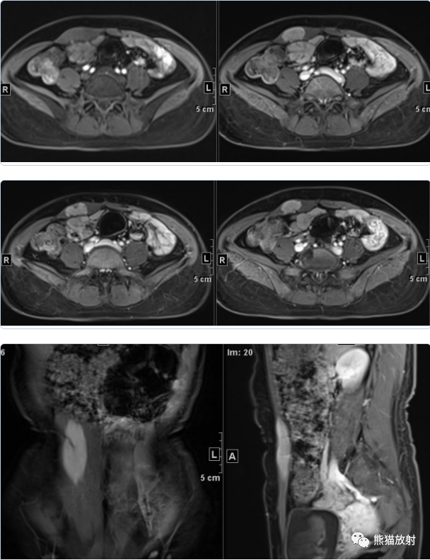
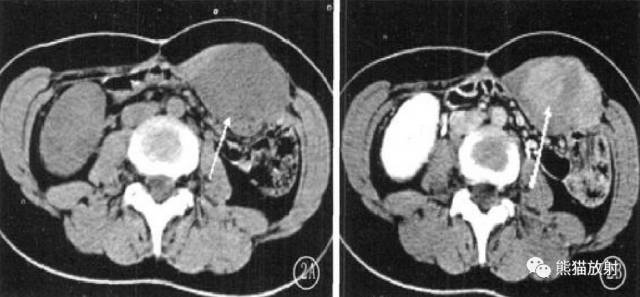
女41岁,腹壁肿物。




最后诊断: 韧带样纤维瘤


韧带样型纤维瘤病
临床少见,约(0.24~43)/10万,约占所有肿瘤的0.03%,占软组织肿瘤的3%。
高发年龄在10-40岁之间,女性发病率约为男性的2倍,从青春期到40岁,多发生于女性的腹壁。
该病可能的发病原因包括妊娠、外伤、手术、激素和遗传,肿瘤大小不等。
术后易复发,其发病部位对复发率也有影响。胸壁和背部患者预后最好,其次肢体或关节带区患者,头颈部患者预后最差。
有人也指出三个不利预后因素:年龄低于37岁、肿瘤大小>7cm和腹外肿瘤及其位置。
几个特点:
影像学特点
1、单发常见,多发少见;
2、DTF形态较规则,以膨胀性生长为主,呈梭形或椭圆形,病灶沿着肌筋膜生长,矢状位显示本例病灶与肌肉长轴一致;
3、病灶边界多较清楚,也可浸润腹壁肌肉(筋膜尾征-较特征性表现)和皮下组织,或跨肌间隙,与腹膜、腹腔脏器粘连;
4、密度较均匀,很少见到坏死、钙化或者液化;
5、DTF信号特点及其不均匀性与病灶内组织学成分的比例和分布有关:细胞成分多的区域T2WI信号较高,胶原纤维多的区域T2WI信号较低;
6、病灶内各序列见条带状低信号影,无明显强化,病理为致密胶原纤维化和少细胞区,是 DTF较特征性的表现。


下一篇:半月板损伤的MRI诊断基础