Marchiafava-Bignami病
发布时间:2022-11-10
发布时间:2022-11-10
Marchiafava-Bignami病(MBD)是一种罕见的中枢神经系统紊乱,通常在酗酒和营养不良的情况下出现。涉及到胼胝体的坏死和脱髓鞘。
MBD在大多数情况下都发生在慢性酗酒者身上,中老年男性患者(40-60岁)最容易受到影响。
MBD的临床表现可能各不相同,患者通常表现为非特异性的临床特征,如运动或认知障碍、和/或癫痫发作。
这种疾病归因于缺乏维生素B,并导致坏死和脱髓鞘,特别是胼胝体。
组织学上,髓鞘丢失可能是显著的,并伴有轴突变性。
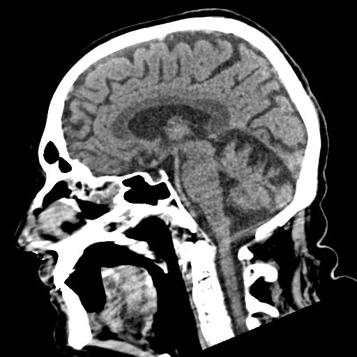
CT
胼胝体在急性期可出现水肿,慢性期可出现萎缩性。
使用维生素B复合物可以改善许多病人的病情,尽管有些人没有康复,可能死于此病。
CASE

上一篇:肾脏透明细胞癌1例CT影像
下一篇:腹壁韧带样纤维瘤1例MR影像