婴幼儿MRI该如何扫描
发布时间:2022-11-05
发布时间:2022-11-05
在婴幼儿颅脑疾病方面,很多时候超声或CT并不能完全反映其病理改变,因此无创的MRI被越来越广泛的运用于婴幼儿颅脑损伤和发育的评估中。婴幼儿颅脑的MRI表现特征与成人颅脑的MRI表现特征存在着很大的差异,再者婴幼儿MRI检查流程较成人更为复杂,在婴幼儿MRI检查中需要考虑安全、图像质量、检查时间等诸多问题。本期主要介绍婴幼儿颅脑MRI常规扫描和成像要点。
检查前准备:
做好扫描前的准备工作是婴幼儿MRI检查的重中之重。
1.做好预约,沟通,评估,镇静等。

镇静后什么时候进行MRI检查成功率更高?目前采用比较多的是使用UMSS评分标准:
| 评分 | 状态指标 |
| 0 | 清醒/警觉 |
| 1 | 轻度镇静:困乏,语言和声音刺激后有适当的回应 |
| 2 | 中度镇静:睡眠,轻度刺激易唤醒 |
| 3 | 深度镇静:深度睡眠,强烈的身体刺激可唤醒 |
| 4 | 无法唤醒,对刺激无反应 |
2.磁场相关安全。如检查前应去除受检者身上的金属异物,特别是头皮针;无MRI禁忌症,有无发热等。
3.签署相关的知情同意书及相关的注意事项。
4.使用隔音气囊或其它如耳塞尽可能的减少噪音;注意保护视力(激光灯)。
5.仔细查看申请单,询问病史,明确检查目的,确立检查方案。
线圈:头颈联合线圈或新生儿专用线圈或其它线圈。
1.使用多通道贴合性更好的新生儿专用线圈,可以获得更高分辨率和信噪比的图像。但配置有该线圈的医院相对较少。
2.使用与成人相同的头颈联合线圈,获得图像的信噪比相对较差一点。绝大多数医院采用的是该线圈。
3.使用其他一些贴合性较好的线圈,如硬质的膝关节线圈。使用该类线圈虽然可以获得较高的信噪比图像,但其灵活性较差,对于一些体型较大的受检者并不适用等缺点。
体位:
1.仰卧位,头先进,遵循“三中心”原则。
2.让婴幼儿的头部处于舒适的位置,颈部尽量与床体保持一致,确保婴幼儿气道的通畅。
3.使用真空垫或海绵垫填充于线圈与解剖部位之间的间隙,以排挤出空气并固定其头部。
定位中心:双眉水平。
常规扫描方位:横轴位为主,关于如何定位在此不在介绍,其定位方式方法与成人定位类似。
扫描序列:
对于扫描序列,每一个医院或根据被检查的受检情况略有差别,如中国医师协会新生儿科医师分会在相关共识对HIE给出的建议:
常规检查序列包括:T1WI,T2WI和DWI。

| 螺旋桨成像 | Propeller | Multivane | Blade |
ARMS |
在这三个序列的基础上根据需要加扫相应的序列,如T2 FLAIR, MRS,MRA,,MRV,DTI,SWI等序列。
新生儿颅脑发育较为快速,其含水量及髓鞘化程度与发育成熟度相关,其MRI信号特征与成人也有很大的区别。为了获得更好的新生儿颅脑MRI图像信噪比和对比度,其MRI序列的扫描参数也不同于成人的扫描参数。

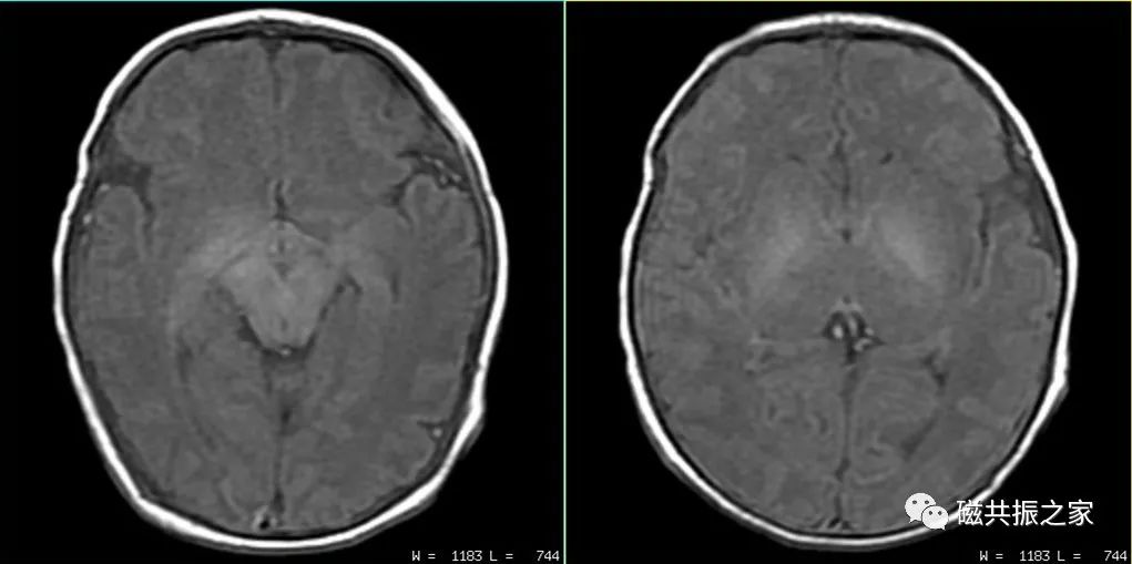
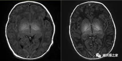
患儿4d,T1WI△,TR=500ms,TE=20ms,1.5T。如使用与成人相同的扫描参数很难获得优异的对比图像。应适当的延长TR值获得优异的图像对比,新生儿最长TR可设置到1000ms左右,随着年龄的增长TR值可逐渐降低,通常到两周岁时可与成人的TR值类似。

患儿4d,T1WI IR△,1.5T。
左:TR=1750ms,TE=20ms,TI=750。
右:TR=2200ms,TE=20ms,TI=850。
随着主磁场强度的增加,组织的T1值会延长,脑灰白质对比度会逐渐降低,为了获得优异的T1对比图像,建议使用T1WI IR序列扫描。

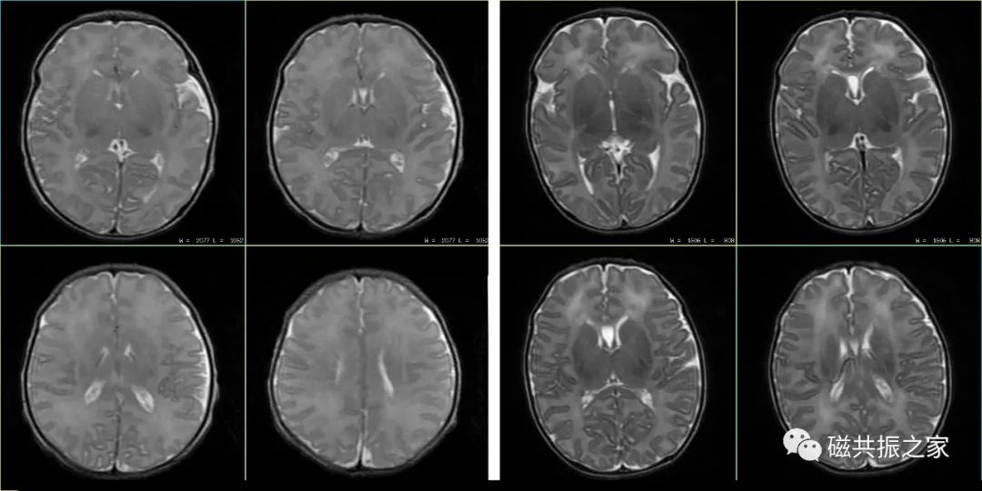
患儿4d,T2WI FSE△,1.5T。
左:TR=3100ms,TE=120ms。
右:TR=5200ms,TE=210ms。
对于婴幼儿颅脑的扫描,特别是对于小于3个月的婴儿,不管是T1WI还是T2WI,都应适当的延长TE和TR值,以获得更好的图像信噪比和对比度,且扫描参数应根据磁场及扫描目的做出相应的调整。婴幼儿随着年龄的增长TR逐渐降低,通常至2周岁时与成人TR类似。

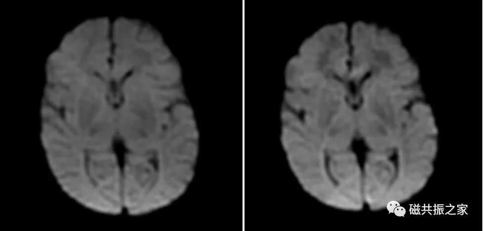
患儿4d,左:B=700;右:B=1000。为了保证图像质量,控制SAR值等问题,对于新生儿颅脑扩散加权成像的B值不宜过大,相关文献建议采用B=700扫描。
注意事项:
1.很多基层医院由于病人量比较多,流程较为复杂、镇静效果不理想等因素,对于婴幼儿MRI检查的成功率并不高。

新生儿MRI检查的成功率跟众多因素相关,在临床扫描中需要把控每一个环节。
2.对于婴幼儿的MRI检查一定要重视其安全问题,如:
3.目前在婴幼儿的镇静中用的比较多的镇静剂为水合氯醛(起效时间20min左右,持续时间60-120min),虽然对于受检者的镇静药物类型及方式是麻醉科或临床医护人员来完成,但我们扫描技师对受检者的安全评估不能忽略,其评估可以参考ASA的分级标准:
1,2级比较安全;3,4级应当密切关注;对于5、6级应当慎重。
4.国际标准给出的是对新生儿不能使用镇静剂,而在国内为了提高其检查成功率往往会使用相应的镇静剂。但应特别注意不宜使用镇静剂的被检者,如颅脑外伤,意识模糊的患者等。
5.应做好婴幼儿MRI检查的听力保护。对于MRI检查的噪音,MHRA和ACR指南给出的相关研究建议:新生儿重症监护室(NICU)噪声水平应低于65dB,MRI运行时的噪声暴露应低于60dB。同时,在扫描过程中应注意SAR(≤2W/kg)的变化。
6.在扫描中应先扫描噪音比较小的序列,将噪音比较大的序列(如DWI、T2 FLAIR)放在最后扫描。
7.MRI检查完成后对于镇静的受检者应给予密切观察。
以上内容仅供参考。对于各个部位的扫描策略会不定期的更新,加入一些新的东西进去,所以关于相关部位的扫描请参考最新推送的文章!
参考文献:中国医师协会新生儿科医师分会.新生儿缺氧缺血性脑病磁共振诊断与损伤类型的分类建议[J].中国当代儿科杂志,2017,19(12):1225-1233.DOI:10.7499/j.issn.1008-8830.2017.12.001.
侯慧艳,张剑蔚,顾洪斌,宋蕴安,白洁.单纯右美托咪定滴鼻与水合氯醛复合右美托咪定滴鼻在脑瘫患儿MRI检查中的应用效果比较[J].现代生物医学进展,2018,18(20):3858-3861,3865.DOI:10.13241/j.cnki.pmb.2018.20.012.
李伟凯,刘红光,鹿松,宋修峰.常规核磁共振联合弥散加权成像在新生儿胆红素脑病中诊断价值研究[J].临床军医杂志,2021,49(3):347-349.DOI:10.16680/j.1671-3826.2021.03.41.
张力召,魏光辉.右美托咪定滴鼻联合七氟醚吸入对磁共振成像检查婴幼儿镇静作用的研究[J].陕西医学杂志,2020,49(1):93-95.DOI:10.3969/j.issn.1000-7377.2020.01.025.
孙亲利,曹盼,张育苗,王苗苗,刘衡,宁宁,鱼博浪,杨健.多模态磁共振成像对新生儿局灶性脑白质损伤信号分型的研究[J].西安交通大学学报(医学版),2018,39(2):160-167.DOI:10.7652/jdyxb201802002.
侯慧艳,张剑蔚,顾洪斌,宋蕴安,白洁.单纯右美托咪定滴鼻与水合氯醛复合右美托咪定滴鼻在脑瘫患儿MRI检查中的应用效果比较[J].现代生物医学进展,2018,18(20):3858-3861,3865.DOI:10.13241/j.cnki.pmb.2018.20.012.
赵慧芳,金超,杨健.磁共振检查噪声对胎儿及婴幼儿听觉功能的影响[J].磁共振成像,2019,10(7):546-550.DOI:10.12015/issn.1674-8034.2019.07.013.
杨健,婴幼儿头颅MR检查方案.西安交通大学大学第一附属医院.
谢祖丹,徐颖.右美托咪定联合氯胺酮鼻孔滴入在MRI镇静中的应用效果[J].现代医药卫生,2017,33(12):1814-1817.DOI:10.3969/j.issn.1009-5519.2017.12.019.
侯欣,杨健.磁共振扩散张量成像在新生儿脑发育的应用及展望[J].磁共振成像,2012,03(1):74-78.DOI:10.3969/j.issn.1674-8034.2012.01.017.
Macnab A, Chen Y, Gagnon F, et al. Vibration and noise in pediatric
emergency transport vehicles: a potential cause of morbidity? Aviat
Space Environment Med, 1995, 66(3): 212.
Philbin MK, Evans JB. Standards for the acoustic environment of the
newborn ICU. J Perinatol, 2006, 26 (Supl 3): 27-30
刘玉静,邢飞,王绪林,张彤彤,渠明翠,杨建军,邢娜.艾司氯胺酮复合丙泊酚用于患儿MRI检查的镇静效果[J].中华麻醉学杂志,2021,41(9):1120-1123.DOI:10.3760/cma.j.cn131073.20210712.00919.
David G. Safety guidelines for magnetic resonance imaging equipment
in clinical use. Med Health Prod Regulat Agency, 2016: 14-14.
Expert Panel on MR Safety, Kanal E, Barkovich AJ, et al. ACR guidance
document on MR safe practices: 2013. J Magn Reson Imaging, 2013,
37(3): 501-530
孙亲利,张育苗,高洁,宁宁,王苗苗,李彦彦,李欢,杨健.磁共振3D-T1WI序列在新生儿局灶性脑白质损伤病灶检出中的应用[J].磁共振成像,2018,9(11):801-806.DOI:10.12015/issn.1674-8034.2018.11.001.
上一篇:Treitz疝—十二指肠旁疝
下一篇:胃肠道淋巴瘤1例CT影像