Treitz疝—十二指肠旁疝
发布时间:2022-11-05
发布时间:2022-11-05
十二指肠旁疝
腹内疝是指腹腔内脏器或组织通过腹膜或肠系膜正常或异常的孔道、裂隙离开原有位置而进入腹腔内的某一解剖间隙;
十二指肠旁疝为最常见的腹内疝,约占53%,男性约为女性的3倍。
十二指旁疝包括左侧、右侧两种亚型,前者约占75%,两者表现相似,均为先天性疝,有疝囊,但胚胎发育病理基础却不同。
左侧十二指肠旁疝:多见,肠管疝入十二指肠升部的左侧隐窝(Landzert隐窝);
右侧十二指肠旁疝:肠管疝入十二指肠水平升部和十二指肠空肠曲下方隐窝(Waldeyer隐窝)。
临床表现为慢性进食后腹痛、恶性、症状可追溯至儿时,症状可自行缓解,间断发作。
解剖回顾
Landzert隐窝及Waldeyer隐窝的位置

左侧十二指肠旁疝
相对多见,肠管疝入十二指肠升部的左侧隐窝(Landzert隐窝) ,开口向右。
上界:十二指肠空肠曲、胰腺下缘和左肾血管起始部,
前界:肠系膜下静脉和左结肠动脉
右界:主动脉,疝囊向左侧深入
浅面:为降结肠系膜
深面:左肾、输尿管和腰大肌。


CT表现
能够清楚的显示疝入肠袢的位置,可位于Treitz韧带左侧、胃与胰腺之间,或胰腺后方,或横结肠及左肾上腺之间。
肠系膜血管的改变包括供应疝入肠段的肠系膜血管向疝口处拉伸、纠集、扩张充血,肠系膜下静脉及左结肠动脉升支位于疝囊颈前界并可向左侧移位。
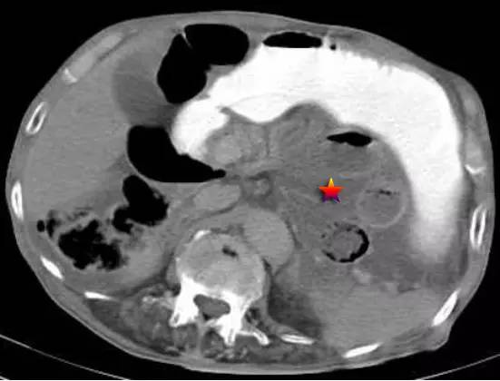
下图为左侧十二指肠旁疝(☆),疝囊指向左侧,系膜及血管被牵扯至左侧,开口向右。

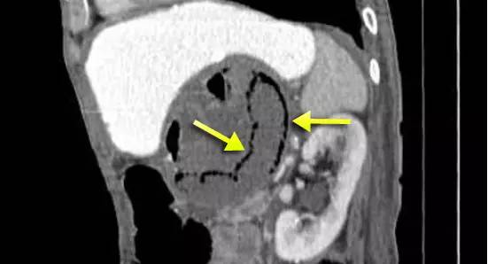
下图:疝入肠管坏死,形成壁间气肿(黄箭)。

右侧十二指肠旁疝
疝入十二指肠水平部和十二指肠空肠曲下方隐窝(Waldeyer隐窝),开口向左。
上界:十二指肠,
后界:腰椎,
前界:肠系膜上血管,疝囊向右侧深入,
浅面:升、横结肠系膜,
深面:右肾、输尿管、下腔静脉和腰大肌。

CT表现:
右中腹一簇小肠肠袢被膜性结构包绕所形成的团块,可见肠梗阻表现。
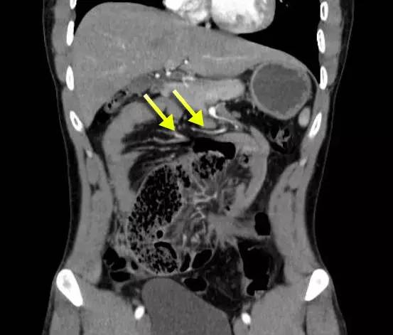
血管的改变包括肠系膜血管充血,肠系膜上动、静脉的空肠支环绕至主干的右后方,以供应疝入的空肠,还可见肠系膜上动脉、右结肠静脉位于疝囊颈的前界,且受推压向前移位。
还可以发现其他发育异常如肠系膜上静脉位于左侧,或无十二指肠水平段,从而有利于此型的诊断。
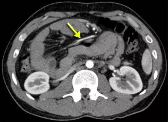
下图:右侧十二指肠旁疝,疝囊位于肠系膜主干的右侧,肠系膜的空肠支(黄箭)环绕至肠系膜上动脉主干的右后方为其供血。


上一篇:见过就不会忘的环状侧脑室结节
下一篇:婴幼儿MRI该如何扫描