胃肠道间质瘤
发布时间:2022-11-04
发布时间:2022-11-04
胃肠道间质瘤
一、概述
胃肠道间质瘤是消化道上较为常见的肿瘤,占整体胃肠道恶性肿瘤的1%~3% ,胃肠道间质瘤主要以40岁以上的中老年为高发人群,主要的发病部位则为胃和小肠, 偶发于结肠和食道[1],还有少部分患者的发病在小肠、直肠等部位。相关研究发现,胃肠道间质瘤在胃肠间叶组织为原发病灶,然后非定向化的形成一种独立性的肿瘤;
二、临床表现
胃肠道间质瘤临床表现主要为腹痛,恶心呕吐,伴有包块。胃肠道间质瘤的
主要症状与肿瘤的部位以及大小相关,多表现为消化道出血,偶尔有患者出现吞咽困难等症状。
三、间质瘤危险性病理分级:
胃肠道间质瘤(GIST)为胃肠道常见的间叶源性肿瘤,具有恶性潜能、非定向分化的特点,临床对其良、恶性的诊断标准一直存在争议。既往常将肿瘤直径≥10cm、形态不规则、分叶样生长等作为 GIST的恶性征象。
廖月回顾性分析2016年3月-2017年12月接受超声及MSCT检查且经手术病理诊断的68例单发GIST患者临床资料[2]。
从统计学角度看,高危组的病例直径大于5cm以上,形态不规则,边界模糊,伴多发淋巴结转移,钙化率较高的特点。
按照 Fletcher 等推荐的分级标准将胃肠间质瘤分为四个等级:
肿瘤直径>5 cm,核分裂像<5/50HPF 或者是核分裂像>10/50HPF 或者是肿瘤直径 <10 cm,则视为高度侵袭危险性;
肿瘤直径 <5 cm,而核分裂像为6–10/50HPF 或者是肿瘤直径为 5–10 cm,核分裂像 <5/50HPF,则视为中度侵袭危险性;
肿瘤直径为2–5 cm,核分裂像<5/50HPF,则视为低度侵袭危险性;
肿瘤直径 <2 cm,核分裂像 <5/50HPF,则视为极低度侵袭危险性。
四、间质瘤影像学特征
根据文献报道,间质瘤的形态多数为类圆形,部分为分叶状形态,病灶周围呈花边状,实性部分病灶呈明显强化。静脉期较动脉期强化更明显幅度更高,动脉期病灶内可以见点状血管征象或条状血管征。
间质瘤呈膨胀性生长,部分带蒂。部分是在肠系膜以及大网膜肿块为主,病灶与周围组织的界限相对清晰,呈椭圆形肿块。有些患者会出现分叶状或者多发性,肿块会出现出血、坏死;肿瘤的实质不均匀的强化,肿瘤出现不同程度的坏死情况[3]。
MRI表现因肿瘤内坏死、囊变、出血而信号不均匀,在T1WI多呈稍低信号,T2WI 多为高信号为主混杂信号,肿瘤内出血可因不同时期信号变化多样,部分病变灶周可见线状T1WI、T2WI低信号包膜影,增强扫描病灶实质部分呈明显较均匀强化,静脉期较动脉期强化显著,坏死、囊变灶未见强化。

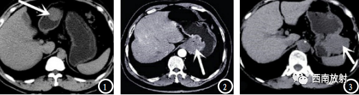
▲病例:胃肠道不同部位的间质瘤形态表现。([2]廖 月.胃肠道间质瘤患者 超声和MSCT征象特 点分析[J].中国CT和MRI杂志.2019.17(1):101-103.)

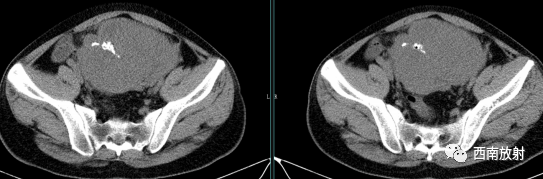
▲小肠间质瘤,肿块巨大,超过10cm,实质内见多发钙化灶;

▲小肠间质瘤,肿块巨大,超过10cm,实质内见多发钙化灶;动脉期肿块不均匀强化,见斑片状坏死区及环状或花边状改变[4]。

▲小肠间质瘤,肿块巨大,超过10cm,实质内见多发钙化灶;动脉期肿块不均匀强化,见斑片状坏死区及环状或花边状改变。静脉期强化更加明显。

▲小肠间质瘤,高度危险性。肿块术中所见。肉眼所见,腹腔肿物:灰白肿物1个与一段小肠相粘连,肿物大小15*13*10CM,表面光滑,切面灰白质脆,小肠长14CM,直径3CM,与肿物相粘连长6CM,肠腔未见肿物及溃疡。

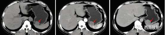
▲病例 间质瘤:男,49 岁,查体发现胃占位性病变 。分别为CT平扫、动脉期及平衡期示胃底处一类圆形软组织结节(箭头),大小约29 mm×28 mm,边界清晰,密度均匀,增强扫描均匀轻度强化[4]。

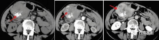
▲间质瘤:女,73 岁,查体发现右上腹软组织肿块。CT平扫见胃窦部向腔内外生长软组织肿块影,大小130 mm×67 mm,其内见多发低密度影及点片状钙化影(箭头);动脉期呈不均匀明显强化,并见强化血管影(箭头)。平衡期呈持续性强化,内低密度影未见强化[4]。
小结:
具有高度侵袭性间质瘤特点:
1、肿块直径>5CM以上;
2、外观上:形态不规则,边界模糊;可有环状或花边状改变
3、内部坏死及钙化,部分肿块内部出血,导致MRI信号复杂;
4、增强扫描不均匀强化,多数病例表现出静脉期较动脉期强化幅值更高;
5、淋巴结种植转移。
具有低度侵袭性间质瘤,一般形态较小,实质密度较为均匀,强化均匀,边界光滑,一般无淋巴结转移。鉴别诊断主要与肠道平滑肌瘤鉴别。
责任编辑:韦红星
病例来源:农南勒
参考文献:
[1]母青林,刘剑.多层螺旋CT在胃肠道间质瘤术前诊断中的价值[J.中国CT和MRI杂志,2016,14( 2) : 109-111.
[2]廖 月.胃肠道间质瘤患者 超声和MSCT征象特 点分析[J].中国CT和MRI杂志.2019.17(1):101-103.
[3]周海新 . 老年胃肠间质瘤并发胃肠道出血患者生存状况及影响因素 [J]. 中国老年学杂志 ,2017,37(14):3517-3519.
[4]黄婧颖,张渺娜,王新立,闫呈新.胃肠道间质瘤的 MSCT 表现与病理危险程度分级的关系[J].中国中西医结合影像学杂志,2019.17(1):44-46.
上一篇:完全性环状胰腺1例CT影像
下一篇:肺癌病例读片总结