完全性环状胰腺1例CT影像

发布时间:2022-11-04

CASE M25 上腹痛 Case contributed by Dr Vinay V Belaval

【病例】完全性环状胰腺1例CT影像-1

【病例】完全性环状胰腺1例CT影像-2

【病例】完全性环状胰腺1例CT影像-3

【病例】完全性环状胰腺1例CT影像-4

【病例】完全性环状胰腺1例CT影像-5

【病例】完全性环状胰腺1例CT影像-6

【病例】完全性环状胰腺1例CT影像-7

【病例】完全性环状胰腺1例CT影像-8

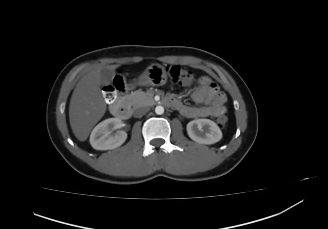
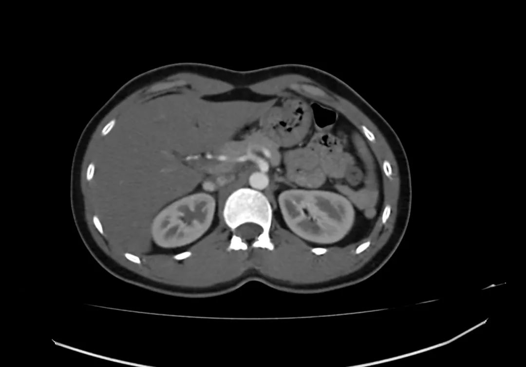
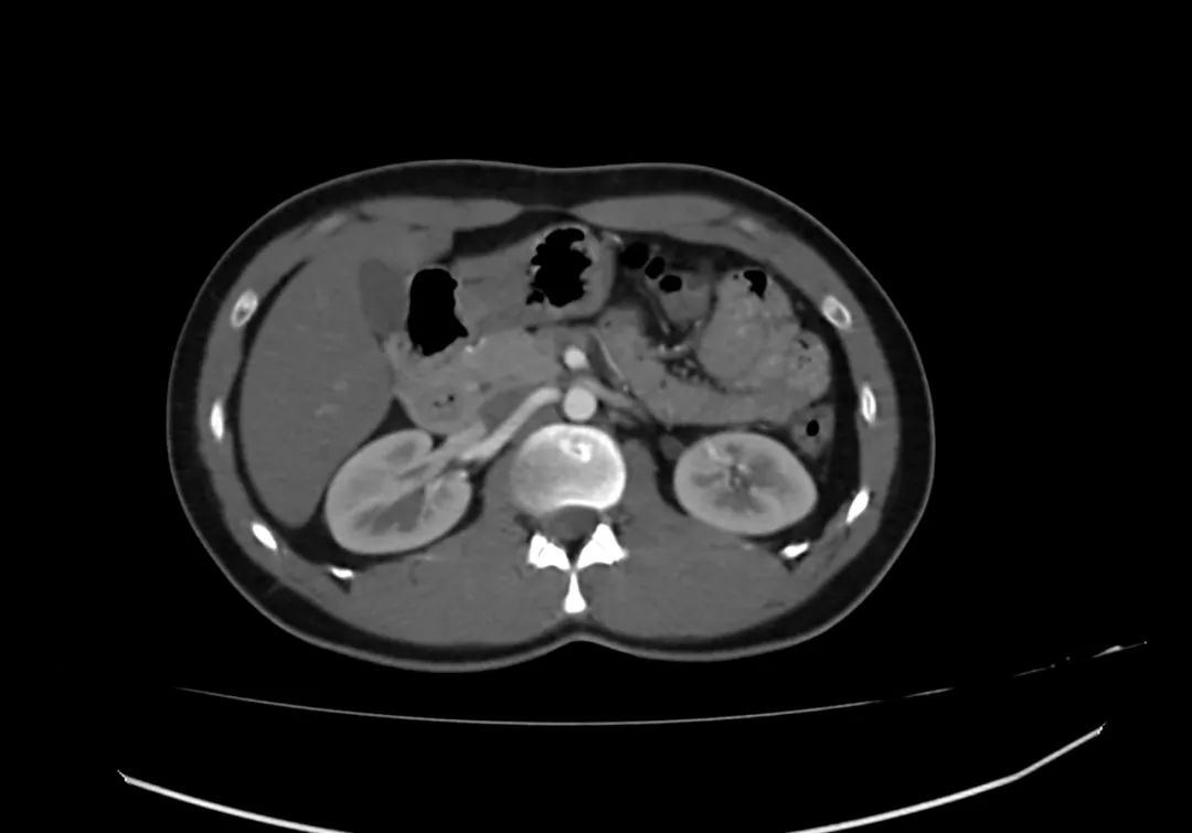
动脉期上腹部轴向增强图像显示胰腺完全包围十二指肠第二部,与完全性环状胰腺一致。

【病例】完全性环状胰腺1例CT影像-9

【病例】完全性环状胰腺1例CT影像-10

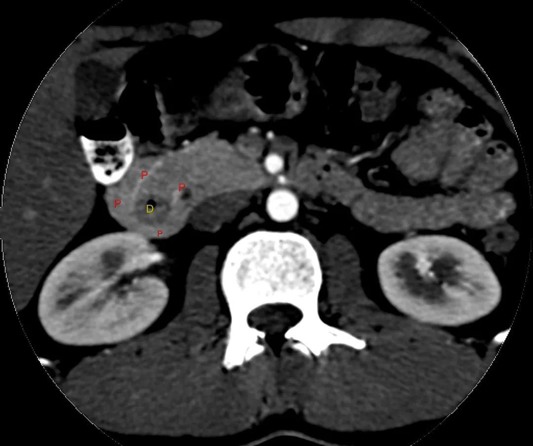
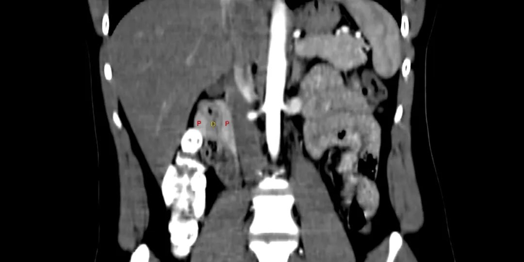
带注释的动脉期图像显示增强胰腺实质(标记为P)完全包裹十二指肠(标记为D)。

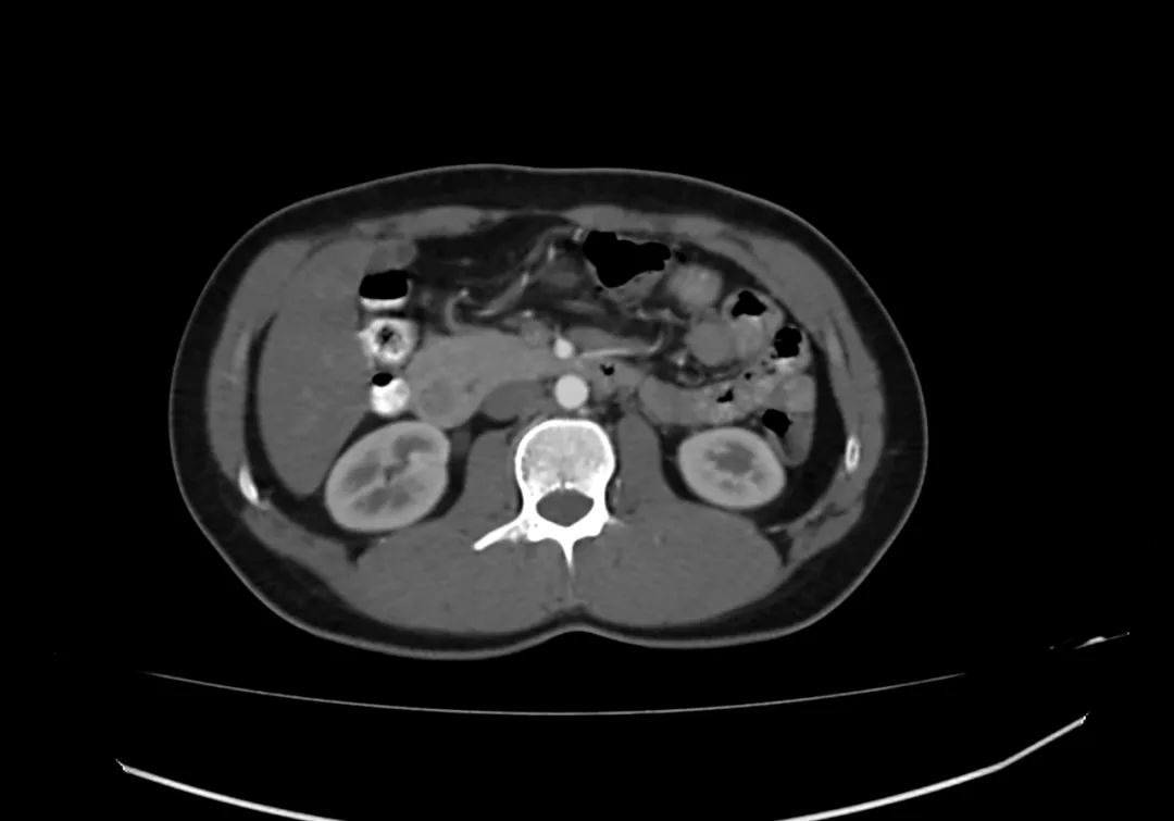
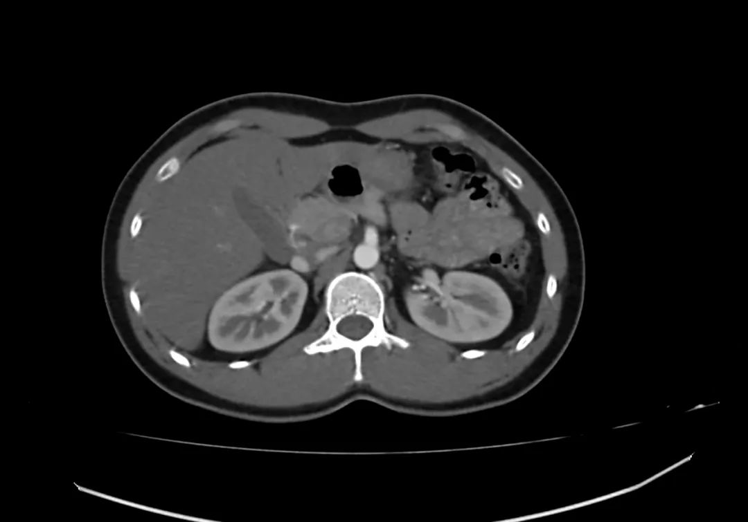
环状胰腺是由腹芽不旋转导致十二指肠被胰腺不同程度包裹的结果。完全性环状胰腺出现在新生儿有梗阻,并可偶然发现在成人,胰腺炎可能是成人的一种表现特征。

上一篇:髓母细胞瘤

下一篇:胃肠道间质瘤

精彩图片

热门精选