【病例】腹膜后可钙化的占位性病变,这两种疾病怎么鉴别?
发布时间:2022-10-26
发布时间:2022-10-26
病例一
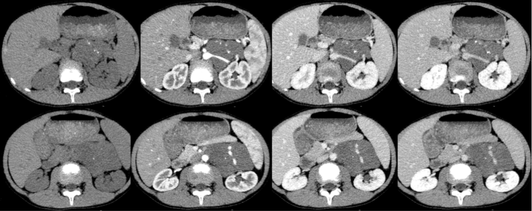
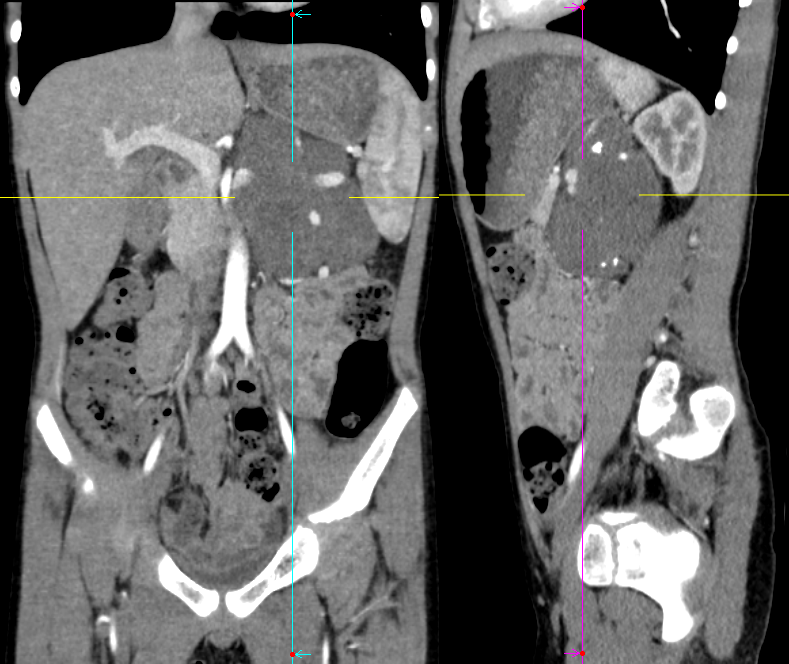
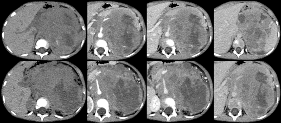
男,7 岁,因「发现左腹部包块 1 个月入院」。


影像描述:胰体尾部后方左肾前内方见团块样软组织密度影,大小约 7.6 cm×5.8 cm,CT 值约 36 HU,略呈轻度强化,其内见多发结节样钙化影,病变与左侧肾上腺分界不清,包绕左肾动静脉,未见变窄,其内另见左肾静脉分支迂曲走行。
病例二
男,9 岁,因「腹泻、呕吐 2 天,发现腹腔肿物 1 天入院」。


影像描述:右侧肾上腺区见团块样高低混杂密度影,平扫其内见钙化影,大小约 6.6 cm,增强扫描不均匀强化。
病例三
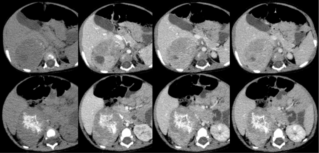
男,3 岁,因「间断腹痛 1 周,发现腹腔肿物 1 天入院」。


影像描述:左上腹部见巨大团状异常密度影,最大层面大小约 11.9×9.2×13.8 cm,病变内密度不均,见不规则形低密度区,左侧肾上腺显示不清,病变与左肾、胰腺体尾部分界不清,病变跨越中线,包绕腹主动脉、腹腔干、脾动脉、肝总动脉、肠系膜上动脉、左肾动、静脉,门静脉主干及其属支呈受压改变。
病理结果:
病例 1:腹膜后神经节细胞瘤
病例 2:腹膜后神经母细胞瘤(III 期)
病例 3:腹膜后神经母细胞瘤(IV 期,极高危组)
前言
起源于解剖学上交感神经节的神经源性肿瘤包括神经节细胞瘤,神经节细胞神经母细胞瘤以及神经母细胞瘤。其中神经节细胞瘤是良性的,而神经母细胞瘤是高度恶性肿瘤。大约 25% 的神经节细胞瘤并非真正的良性肿瘤,其中包含有分化差的小圆形的神经母细胞成分,应划分为神经节神经母细胞瘤, 其形态学特征和恶性度介于神经节细胞瘤和神经母细胞瘤之间。
神经节细胞瘤
节细胞瘤:常见于儿童和青壮年,平均发病年龄为 11 岁,女性稍多于男性;主要发生于椎旁交感神经链的神经节,后纵隔是最常见的位置,其次是肾上腺及腹膜后问隙,再次为颈部和盆腔;患者常无临床症状,发现时肿瘤体积往往较大,少数神经节瘤具有分泌激素的功能,可以分泌儿茶酚胺、血管活性肠肽或雄性激素,可出现一过性高血压、腹泻、出汗、颜面潮红及第二性征等症状。组织病理学特点:大体呈质软肿块,包膜完整,切面灰白色,部分有黏液样变或有囊性变。显微镜下主要由纺锤形的雪旺氏细胞和圆形分化成熟的神经节细胞以及大量的黏液性基质组成。
影像学表现
神经节细胞瘤 CT 特点:肿块较大,表现为圆形、类圆形或不规则形肿块影,边界光滑,可沿周围组织间隙延伸,形成「伪足征」,发生于脊椎两旁的肿块可沿椎间孔生长,平扫多表现为均匀或轻度不均匀的偏低密度(CT 值一般在 0~40 HU),这可能与病变内含有较多的黏液基质有关。钙化的发生率大约为 20%,典型表现为散在的小点状的钙化。由于质地柔软,尽管血管被包绕或推挤,血管管腔显示正常。有文献报道节细胞神经瘤内偶尔可出现脂肪密度,且多位于后纵膈。多数血供不丰富,增强扫描动脉期多表现为轻中度强化,甚至不强化。由于神经节细胞瘤内有大量黏液基质的存在,造成了细胞外间隙的扩大,可导致对比剂在扩大的细胞外间隙内进行性积聚,因此在动态增强扫描时肿瘤可出现进行性增强的表现。
MRI 特点:T1WI 呈均匀等至低信号,T2WI 呈等高至高信号。T2WI 增高信号程度与其组织学表现有关:含有的黏液样基质较多,细胞成分及纤维组织细胞较少时呈明显高信号;反之,黏液样基质少,而细胞成分及纤维组织细胞较多时呈低信号。增强扫描表现与 CT 相似。

神经母细胞瘤
神经母细胞瘤:是儿童最常见的恶性肿瘤之一,多发生于 5 岁以内。其最常见的发生部位是肾上腺,其次是腹膜后和肾脏,也可发生于颈部、胸部、盆腔的神经组织。病情进展快,转移发生早,预后较差。临床上无特异性表现,可以出现发热、腹痛、肿块,衰弱,甚至黄疸等。实验室检查尿中香草扁桃酸增高。就诊时常已有骨骼、淋巴结、肝脏及皮肤等处转移。诊断分期,美国儿童肿瘤协作组分期系统(CCSG)如下:
(1)Ⅰ期:肿瘤局限于原发器官。
(2)Ⅱ期:肿瘤超出原发器官,但未超过中线,同侧淋巴结可能受累。
(3)Ⅲ期:肿瘤超过中线,双侧淋巴结可能受累。
(4)Ⅳ期:远处转移。
(5)Ⅵs 期:<1 岁,原发灶为Ⅰ、Ⅱ期,但有局限于肝、皮肤、骨髓的转移灶。
影像学表现
神经母细胞瘤 CT 表现:腹膜后边缘清楚大肿块;瘤内可见粗大、无定型或斑点状的钙化,增 强扫描不均匀明显强化。肿块较大,最大径 6-8 cm,形态不规则,边缘呈分叶状,有薄层包膜或无包膜;大部分呈 T1WI 低至中等信号、T2WI 中高信号;增强扫描实性部分明显强化。
作者 | 影像shine
上一篇:【病例】肾上腺碰撞瘤1例影像表现
下一篇:表皮样囊肿1例MR影像表现