【病例】肾上腺碰撞瘤1例影像表现
发布时间:2022-10-26
发布时间:2022-10-26
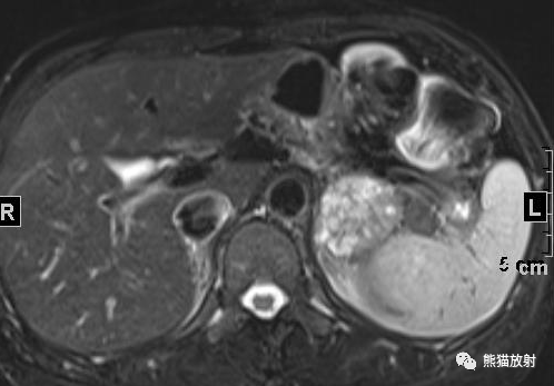
女性,47岁,阵发性头晕、视物模糊4年余,查体发现肾上腺占位。
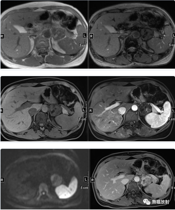
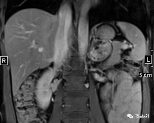
行肾上腺MRI平扫+增强扫描



术后病理:
⭐️ 左侧肾上腺皮质腺瘤,合并髓样脂肪瘤
“碰撞瘤”
? 病灶内含成熟脂肪和脂质成份,在T1反相位和压脂像上局部信号减低。


碰撞瘤(collision tumor):为同解剖位置形成的同一瘤块内,两种成分独立存在,紧密并列,分界清晰,在交界处两种不同的病理成分没有混合,两种成分组织发生,应为独立起源,且为原发性肿瘤。肾上腺碰撞瘤常见的来源有肾上腺皮质腺瘤与转移瘤或肾上腺间质来源的肿瘤。
腺瘤与嗜铬细胞瘤分别有独立完整的包膜,CT平扫分界清晰,均有各自的强化特点。肾上腺皮质腺瘤为肾上腺最常见的良性肿瘤,70%的腺瘤为富脂型,平扫CT值较低。化学位移MRI检测到细胞内脂肪的存在有助于腺瘤诊断,以此与嗜铬细胞瘤鉴别。88%的嗜铬细胞瘤有囊变,肿瘤体积越大,越易出现坏死及囊性变或出血,表现为T1WI及T2WI信号不均匀,大部分表现为实性部分明显不均质强化。
如发现CT或MRI表现明显不一样,包括肿块大小、平扫密度/信号、强化方式和强度等,结合临床内分泌结果,用一种肿瘤不能解释临床表现的时候,要怀疑两种不同肿瘤同时存在,要意识到碰撞瘤存在的可能性。