【病例】子宫腺肌瘤1例MR影像

发布时间:2022-10-26

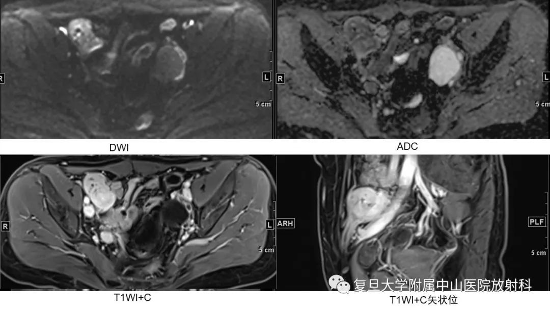
【病例】子宫腺肌瘤1例MR影像-1

【病例】子宫腺肌瘤1例MR影像-2

【病例】子宫腺肌瘤1例MR影像-3

【病例】子宫腺肌瘤1例MR影像-4

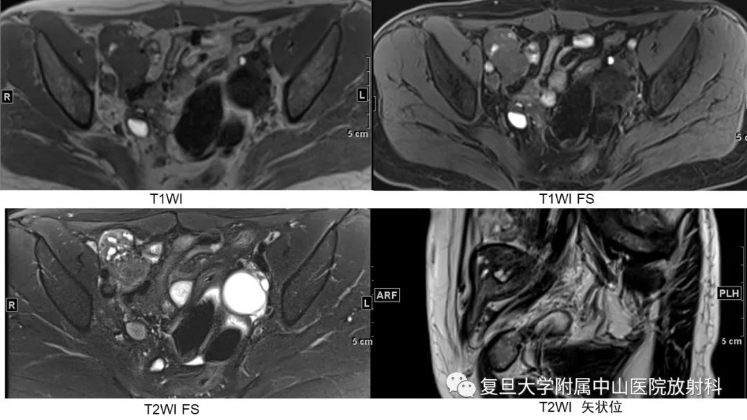
【病例】子宫腺肌瘤1例MR影像-5

【病例】子宫腺肌瘤1例MR影像-6

【病例】子宫腺肌瘤1例MR影像-7

【病例】子宫腺肌瘤1例MR影像-8

【病例】子宫腺肌瘤1例MR影像-9

【病例】子宫腺肌瘤1例MR影像-10

【病例】子宫腺肌瘤1例MR影像-11

【病例】子宫腺肌瘤1例MR影像-12

【病例】子宫腺肌瘤1例MR影像-13

【病例】子宫腺肌瘤1例MR影像-14

【病例】子宫腺肌瘤1例MR影像-15

【病例】子宫腺肌瘤1例MR影像-16

【病例】子宫腺肌瘤1例MR影像-17

【病例】子宫腺肌瘤1例MR影像-18

【病例】子宫腺肌瘤1例MR影像-19

精彩图片

热门精选