少见的细支气管腺瘤1例CT影像
发布时间:2022-10-25
发布时间:2022-10-25





















微信群讨论
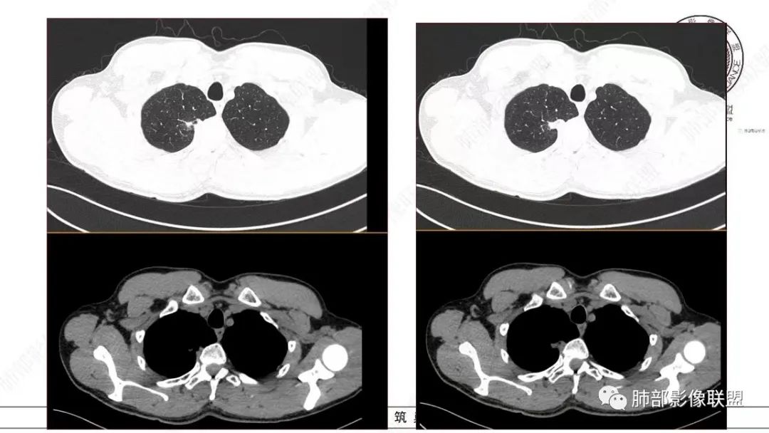
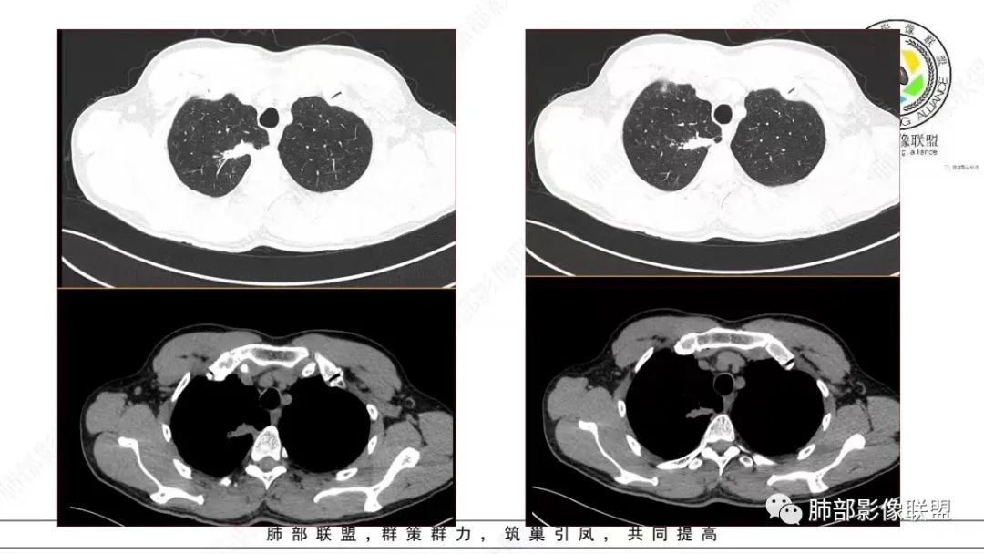
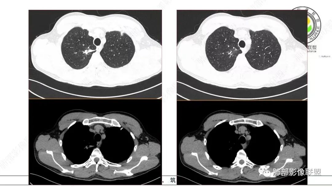
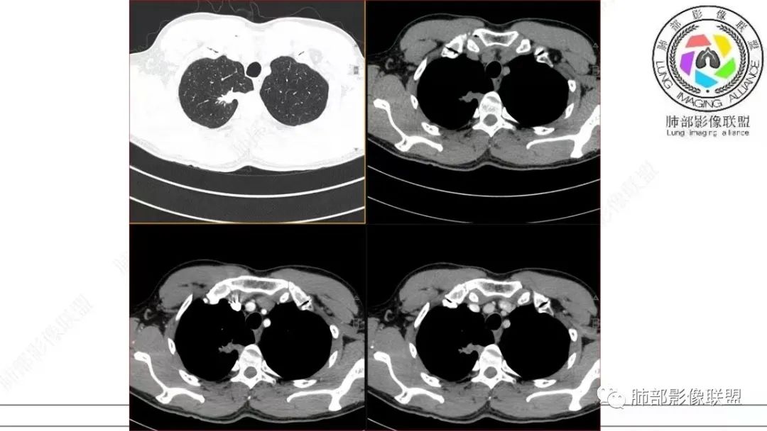
飞鹰行动:中年男性,右肺上叶不规则病灶,与胸膜粘连,多发长毛刺,周围模糊的磨玻璃影,相邻胸膜增厚,增强病灶中度以上强化,内见血管影,没有重建图像,感觉病灶符合良性病变征象多一些,考虑炎性病变,OP?
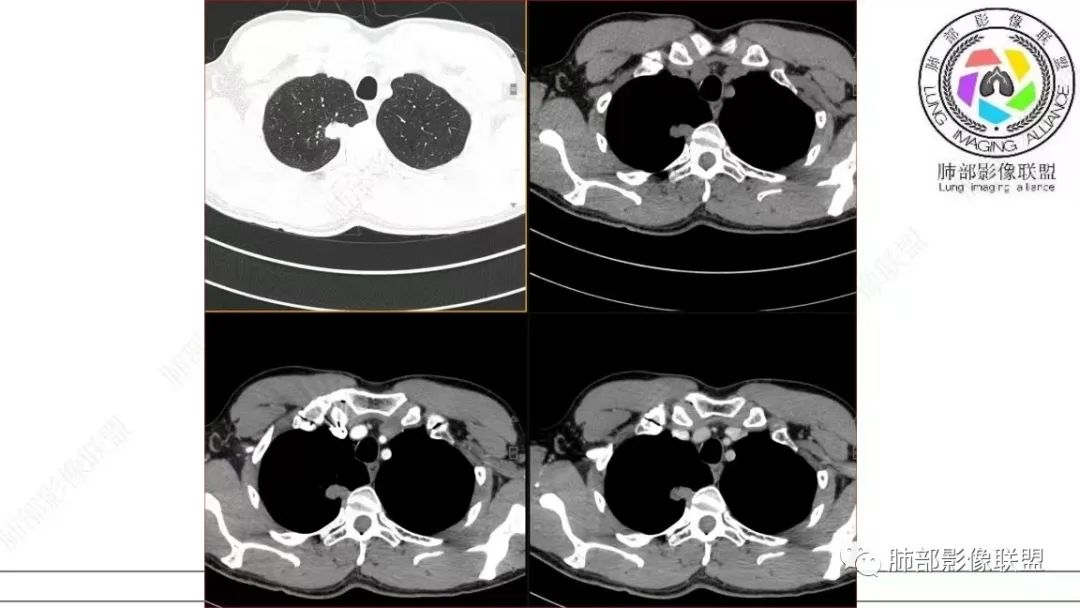
小兜:男,50岁,体检发现右肺上叶胸膜下不规则软组织结节,分叶,长毛刺,与胸膜相连,胸膜增厚,渐进性强化,强化不均匀,内部可见小灶状低强化灶,内部血管穿行。首先考虑肉芽肿性病变,鉴别腺癌
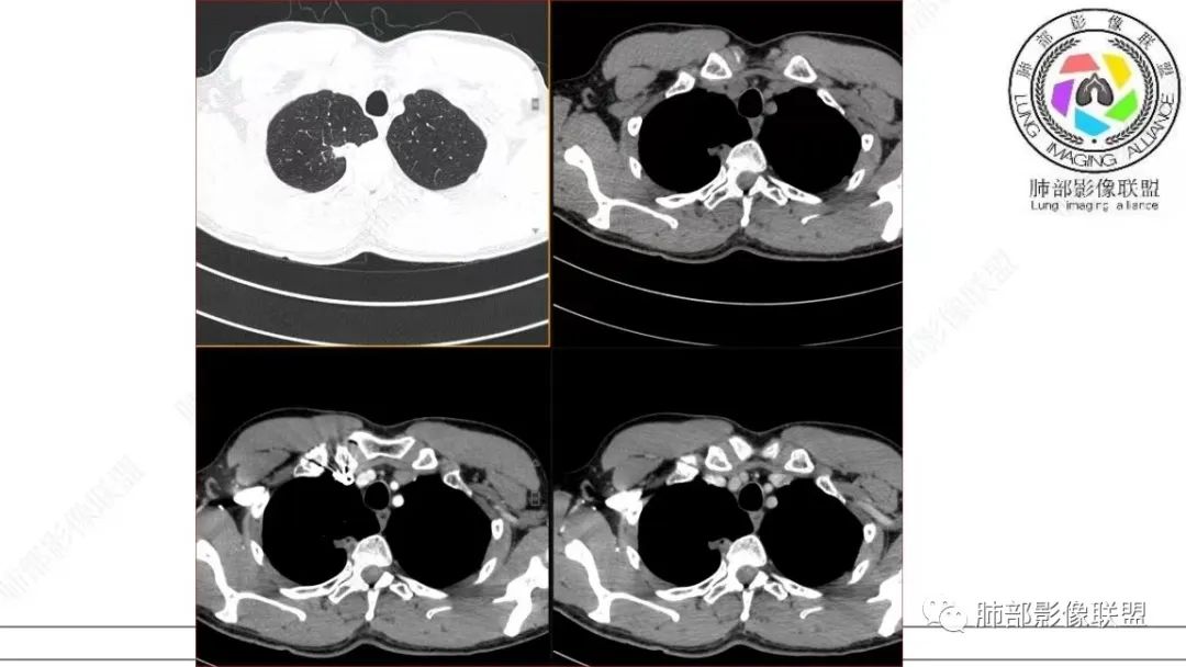
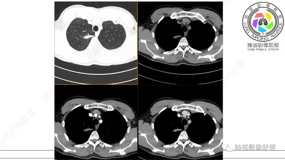
衡妈:中年男性,右肺上叶尖段不规则实性病灶,边缘多深分叶局部形似并见数条长毛刺,与胸膜面数条牵拉中年男性,右肺上叶尖段不规则实性病灶,边缘多深分叶局部形似枫叶,侧胸膜局部幕状增厚,病灶增强后不均匀中等强化。考虑恶性肿瘤,腺癌可能,鉴别炎性肉芽肿(结核)、炎性肌纤维母细胞瘤。
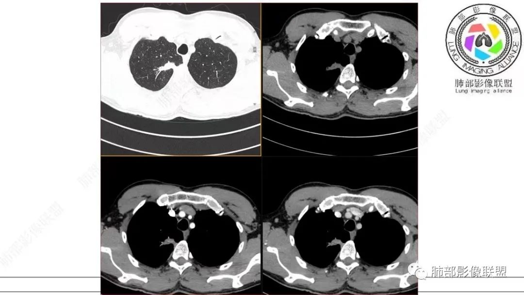
谢加平:右肺上叶尖段内侧胸膜下分叶状结节,不规则,见尖角状凸起,边缘支气管锥形中断,实性不均匀强化,血管进入增粗和集血管束特点,宽基底胸膜牵拉,形成兔耳征,冠状面结节外侧见指头状凸起,恶性特点明显,支持浸润性腺Ca。
病理结果

群内老师解析
细支气管腺瘤的病理要点中,很重要的一点就是双层细胞。返回来看影像,这个病变还是很有特点的,诊断结核确实有点不合适。一点点的看。
:
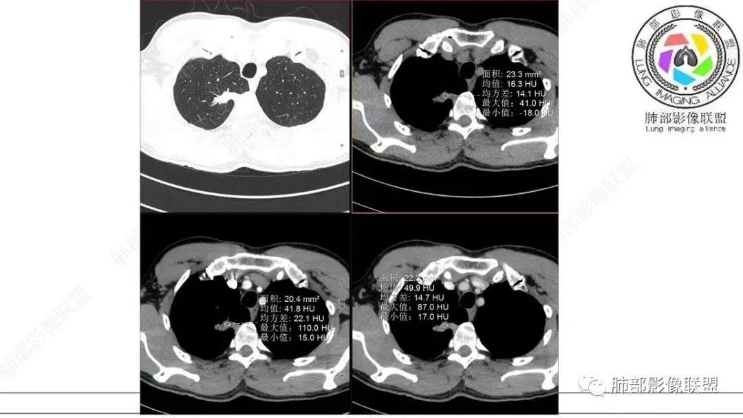
仔细看,里面是有低密度的。平扫CT值也很低,才16HU。
增强也很有特点。这些低密度,是有延迟强化特点的。
平扫低密度,就这个病变而言,我们最容易想到的:干酪性坏死、黏液。而延迟强化。所以这个病变是不符合干酪性坏死的表现的。很多平直凹陷的地方,与胸膜宽基底接触,是否存在胸膜牵拉不详,需重建看看。说明这个病变是有收缩力的。里面含有一部分纤维。当然,含有纤维的,肿瘤的肌成纤维可以,上皮间质转换可以,慢性炎也可以,好多病变里面可以有纤维。干酪样坏死,是不会强化的。延迟强化,肉芽肿可以,纤维比较多的或者黏液多的也可以。
还是和病变成分有关。在肿瘤当中,或者上皮间质转换比较明显等,可以有不同的强化方式。当然也可以表现为延迟强化,可以动脉期明显强化。和肿瘤的具体类型,以及具体病变的病理成分有关。多层面观察,病变是明确有细支气管进入的,而且明确的有铸型的低密度粘液栓。
总结一下:肺内,周围型病变,含有黏液/纤维的,有收缩力的,支气管进入,有粘液栓形成的病变。常见疾病谱当然就是腺癌、特别是结节型的黏液腺癌,还有一些非特异性的慢性炎、结核等。容易形成支气管粘液栓的病变很多,慢性病变中,除了非特异性感染,一些细菌,比较常见的就是结核、曲霉。但是,支气管进入,有粘液栓形成的,周围型,肿瘤性病变,却少之又少。疾病谱中,最常见的就是气管腔内占位,以远粘液栓是继发改变。比如鳞癌、类癌。
在细支气管腺瘤的文献中,病例较少,没有看到过提到有粘液栓形成的病例描述。细支气管腺瘤的病理要点中,1,可以见到细支气管进入病灶。2.双层细胞。细支气管水平的病变,当然就可以有纤毛,有可以分泌黏液的细胞。在细支气管腺瘤中,形成的粘液,可以弥散在组织间隙,也可以聚集,形成粘液湖。更容易经过细支气管排出,形成空洞。类似于腺癌的空泡。这个病例虽然有延迟强化,收缩力比较强,也有支气管粘液栓,但是比较难解释这么低密度的,有延迟强化的,可疑粘液成分。
这个病例还可以深挖,图像有点少,我感觉部分层面可疑少许磨玻璃。最难鉴别的是结节型黏液腺癌,特别是细支气管腺瘤的收缩力比较弱的时候。这个病例收缩力太强,结节型黏液腺癌不太好解释。结合病理及影像表现,这个病例最终诊断:倾向于细支气管腺瘤、合并一些非特异性的感染、支气管内粘液栓形成。细支气管腺瘤,疑难。实性的细支气管腺瘤,更疑难。再合并感染,难上加难。不讲理的一个病例。
诸如黏液腺癌这种病变中的黏液,相对于浆液要粘稠一些,虽然合并一部分肿瘤细胞,但是它还是很稀薄的,更容易经气道排出,或沿肺泡孔播散。我感觉很难在细支气管内积聚,形成铸型的这么低的密度。我们看了那么多黏液腺,甚至是大片的,肺炎型。表现更多的是肺泡性病变特点,支气管是衬托出来的含气低密度,或许有轻微扩张。但是没见到过有粘液栓的。
概述
细支气管腺瘤(bronchiolar adenoma,BA)是新 近提出来的诊断名词,其组织学特点是与细支气管 黏膜上皮相对应的一种良性肿瘤。肿瘤的主体位 于细支气管外的肺实质内,虽界限清楚但无包膜, 呈乳头状和/或沿肺泡壁(平坦状)生长,其最为突 出的组织学特点是由连续 p63、p40、细胞角蛋白 (CK)5/6 阳性的基底细胞层和腔面细胞层构成的 双层细胞结构 。腔面细胞层则由黏液细胞、纤毛 细胞、Clara细胞及肺泡细胞所构成,根据黏液细胞 和纤毛细胞所占腔面细胞的比例,将细支气管腺瘤 分为近端型(proximal‑type)和远端型(distal‑type), 远端型的腔面细胞中缺乏黏液和纤毛细胞,甚至仅 为Clara或肺泡细胞。
影像诊断
本研究对22处BA的CT影像进行分析,发现以下方面对诊断本病有一定提示意义:①病变部位:本组病例均为周围型病变,多位于下叶,且以胸膜下区为主,与既往研究结果一致。本病细支气管黏膜上皮的起源赋予了其特有的位置分布。②类型:本组GGO14处,实性结节8处。Chang等收集的14处BA中,GGO6处、实性结节8处,与既往研究结果基本一致。此外,部分学者报道呈空洞表现的BA。由此可见,BA的影像表现多样,但主要表现为GGO和实性结节。③大小:本研究显示BA普遍较小,最大径约(0.9±0.7)cm,95%的病变不超过2.0cm。王蓓等、高何等分别纳入8例、15例BA,病灶平均最大径均为1.0cm,与本研究结果一致。④形态:本组BA无论表现为GGO还是实性结节,其形态不规则且边缘毛糙,仅少部分体积较小的BA可呈类圆形或椭圆形,与Kamata等的研究结果相似,推测BA的形态学改变与肿瘤无包膜有关。⑤伴发征象:本研究中BA多伴有中央或外周空泡征、细支气管充气征及血管征,其中以中央空泡征最具特征。刘芳兵等报道2例表现为GGO的BA均伴空泡征;苏雷等报道11例BA中,伴有空泡征8例、血管征10例。可见空泡征和血管征对诊断本病具有重要意义。上述征象与镜下瘤内、瘤周常见细支气管及伴行的厚壁血管有关。此外,胸膜牵拉征、分叶征及毛刺征罕见。⑥强化方式:实性结节表现的BA增强扫描呈延迟性显著强化,部分病灶动脉期可见血管造影征,血管走行自然,未见破坏。血管造影征与镜下病变常见细支气管动脉束穿行相符,此征象也反映了肿瘤位于细支气管周围的定位。⑦随访中病灶保持稳定或缓慢增长。此段内容及病例图片摘自并感谢,黄勇教授、王越老师-细支气管腺瘤的CT表现,发表于中国医学影像杂志。
上一篇:乳腺粘液腺癌1例MR影像
下一篇:【病例】子宫腺肌瘤1例MR影像