「反 S」征——肺部肿瘤的危险标志
发布时间:2022-10-21
发布时间:2022-10-21
「反 S」征指的是右肺上叶膨胀不全,水平裂向上移位,右肺门肿块共同形成胸片上反 S 形的凸出影。现结合 Zachary Laste 博士近日在 ACR 上发布的一例右上肺癌的病例对「反 S」征进行介绍。
病史
57 岁男性,咳嗽数周。
影像学表现

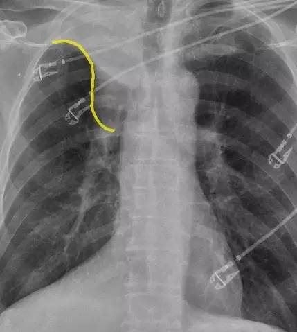
图 1. 正位胸片示「反 S」征(黄线示)

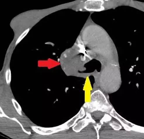
图 2. 横断增强 CT 示一巨大中央型肿块(红色箭头),并侵入右侧主支气管(黄色箭头)

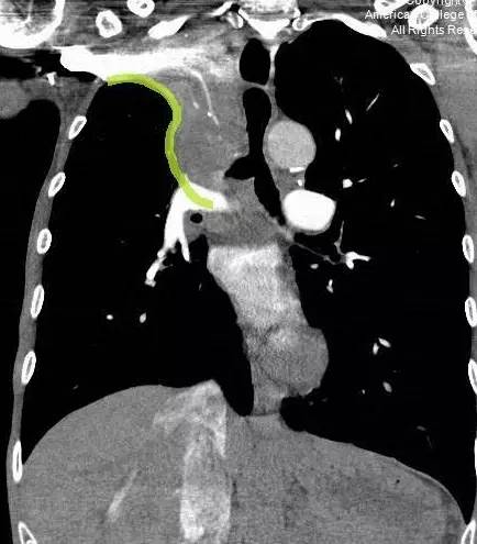
图 3. 冠状 CT 示「反 S」征(绿色箭头)。
诊断
「反 S」征(肺癌)
病例要点
「反 S」征指的是右肺上叶膨胀不全,水平裂向上移位,右肺门肿块共同形成胸片上反 S 形的凸出影。肺癌是引起「反 S」征最常见的病因。其他病因有转移淋巴瘤、压迫气道的纵膈肿瘤以及支气管内的转移灶。一旦胸片上发现「反 S」征,就需要 CT 检查来评价病灶的恶性程度。
病例讨论
「反 S」征是正位胸片上一个经典的影像学征象,最早由 Ross Golden 医生描述。S 征是由右肺上叶不张,水平裂向上中移位,中央型肿块向右肺门突出共同形成。正位胸片的典型表现包括水平裂向上凹陷,并向上内侧移位,以及肺门肿块形成的凸起。侧位胸片上,肺大间裂向前上移位是典型的表现。
当右肺上叶完全塌陷时,影像学上的表现为右侧帽装结构,或纵膈增宽。当看到向下突出的 S 征时,需要注意中央阻塞性肿物的可能性。有事这个征象也用来描述其他肺叶的膨胀不良。但是,最典型的还是右肺上叶的膨胀不良。
胸片 S 征的出现提示原发性肺癌的可能性,进一步检查通常采用强化 CT。其他可以导致 S 征的病因可有转移性淋巴瘤,压迫气道的纵膈肿瘤和支气管内的转移灶。
上一篇:100张典型X线图片
下一篇:【病例】肺脓肿1例CT影像特点