100张典型X线图片
发布时间:2022-10-21
发布时间:2022-10-21

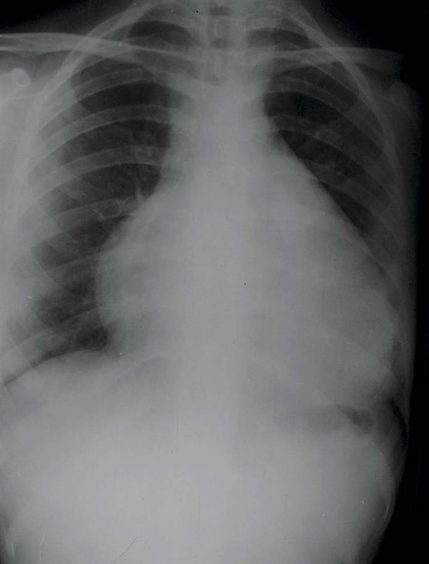
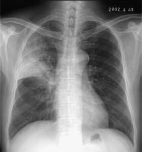
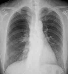
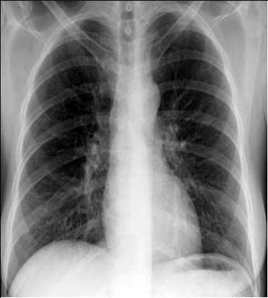
照片名称:高血压心脏病

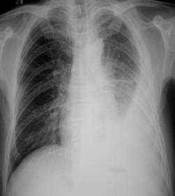
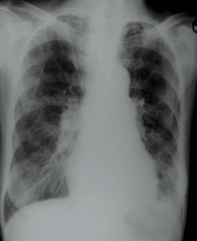
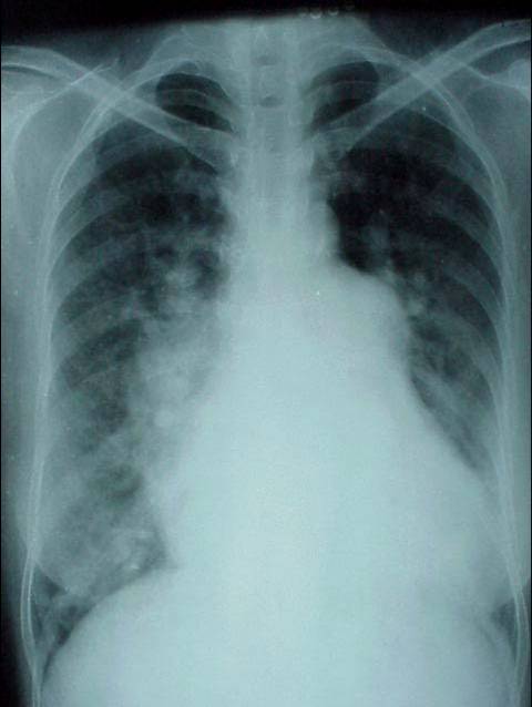
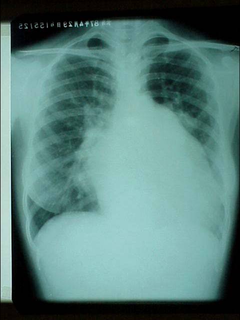
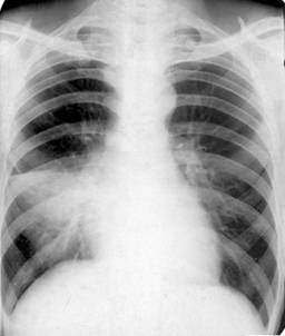
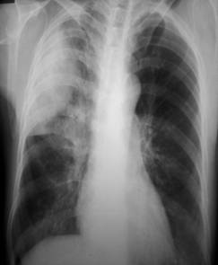
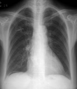
照片名称:风心病,梨型心

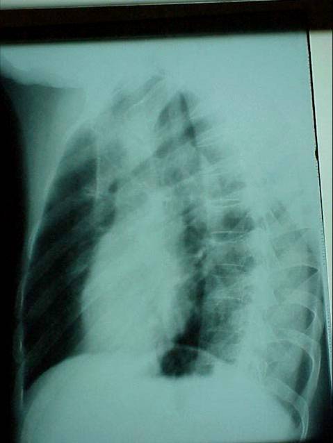
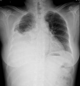
照片名称:胸腔积液

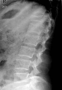
照片名称:胸椎压缩性骨折

照片名称:左侧胸腔积液

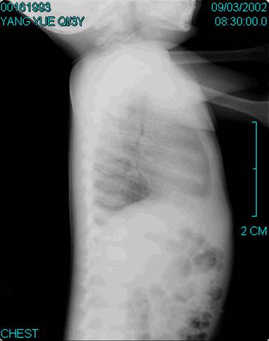
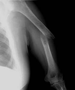
照片名称:左肱骨骨折

照片名称:消化道穿孔

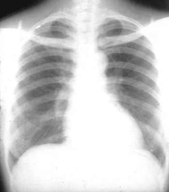
照片名称:正常胸片

照片名称:右胫腓骨骨折

照片名称:右肺炎

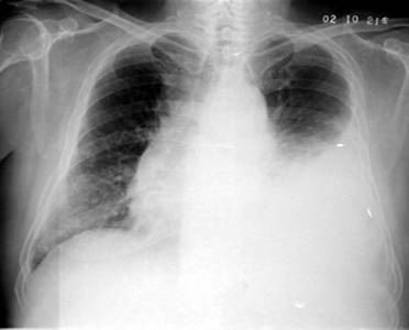
照片名称:右侧胸腔积液

照片名称:大叶性肺炎

照片名称:右侧气胸

照片名称:右中叶肺炎

照片名称:右上肺炎

照片名称:食管裂孔疝x线表现2

照片名称:输尿管结石5

照片名称:附睾及睾丸结核钙化

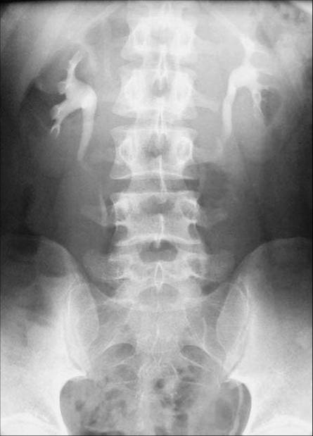
照片名称:静脉尿路造影

照片名称:食管裂孔疝x线表现

照片名称:输尿管结石3

照片名称:输尿管结石

照片名称:薄壁空洞

照片名称:膀胱癌5

照片名称:胸锁乳突肌和锁骨上皮肤皱褶

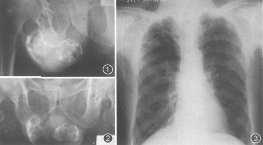
照片名称:膀胱癌

照片名称:膀胱癌2

照片名称:膀胱癌4

照片名称:胸膜肥厚粘接钙化

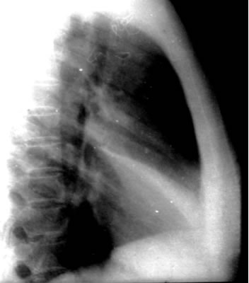
照片名称:胸腔少量积液

照片名称:胆囊结石

照片名称:肿块

照片名称:肾结石4

照片名称:肾结核6

照片名称:肾盂积水‘

照片名称:肺部病变-增值

照片名称:肺部病变空洞

照片名称:肺门增大

照片名称:肾性骨营养不良,cppd

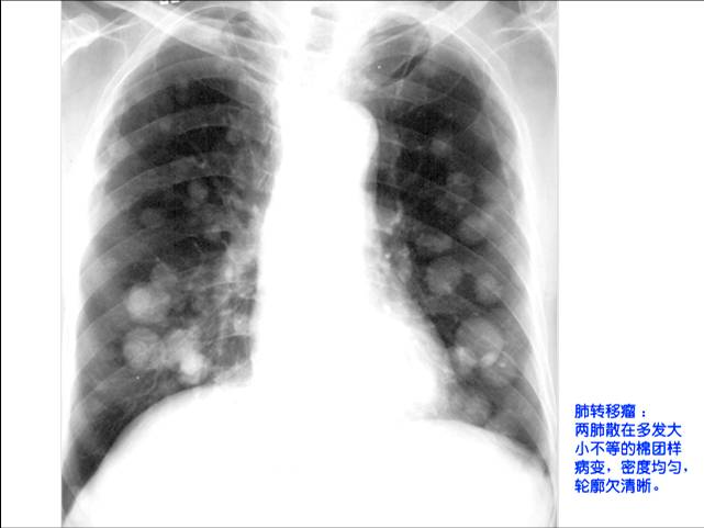
照片名称:肺转移瘤

照片名称:肺炎—右肺支气管扩张

照片名称:空腔

照片名称:熊内甲状腺肿

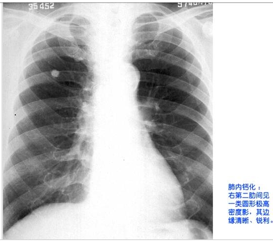
照片名称:肺内钙化

照片名称:液气胸的x射线表现

照片名称:液气胸

照片名称:浸入性肺结核

照片名称:法乐氏四联症

照片名称:正常肺动脉造影

照片名称:正常肺纹理

照片名称:气胸

照片名称:正常乳房影

照片名称:正常x光胸片

照片名称:支气管肺炎

照片名称:正常纵隔

照片名称:慢性肾源性心脏病

照片名称:慢性肺脓肿

照片名称:慢性纤维空洞性肺结核

照片名称:恶性淋巴瘤x射线

照片名称:平滑肌肉瘤

照片名称:废气中局部放大

照片名称:心包积液

照片名称:急性粟粒型肺结核

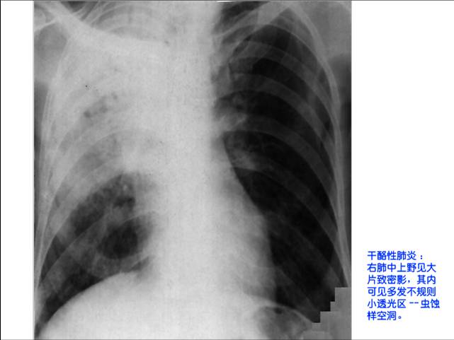
照片名称:干酪性肺炎

照片名称:左胸腔包裹积液

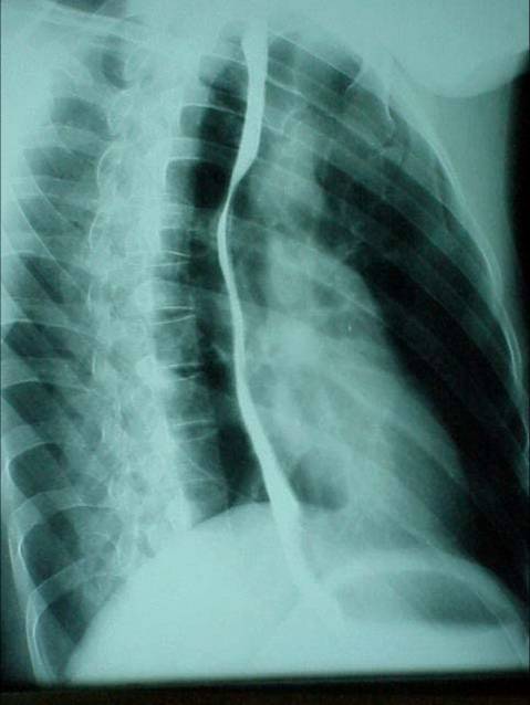
照片名称:左前斜位

照片名称:左上叶下舌段肺癌——空洞

照片名称:子宫输卵管造影3

照片名称:子宫输卵管造影4

照片名称:室间隔缺损2

照片名称:局限性纤维化

照片名称:子宫输卵管造影2

照片名称:子宫输卵管造影1

照片名称:子宫输卵管造影

照片名称:大量胸腔积液

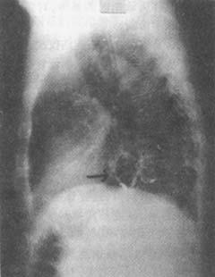
照片名称:叶间积液

照片名称:大叶性肺炎

照片名称:大叶肺炎-消散期

照片名称:大叶肺炎-突变期

照片名称:右肺下中心型肺癌伴纵膈淋巴结转

照片名称:右股骨正侧位x线片

照片名称:右前斜位

照片名称:右中叶肺不张(侧位)

照片名称:卧位胸腔积液

照片名称:右上叶不张

照片名称:单心室核01

照片名称:先天性心脏病

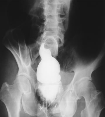
照片名称:临床医师实践技能—乙状结肠扭转

照片名称:临床医师实践技能—正常心脏

照片名称:二尖瓣狭窄瓣关闭不全

照片名称:作废夏夜中心型肺癌内转移

照片名称:右上肺炎

照片名称:右中叶肺炎

照片名称:右侧气胸

照片名称:右侧胸腔积液

照片名称:右肺炎

照片名称:右胫腓骨骨折

照片名称:大叶性肺炎

照片名称:左侧胸腔积液

照片名称:左肱骨骨折

照片名称:正常胸片

照片名称:消化道穿孔

照片名称:胸椎压缩性骨折

照片名称:风心病,梨型心

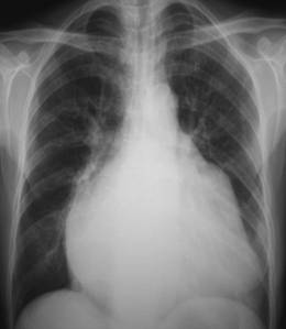
照片名称:高血压心脏病
上一篇:乳腺单纯型黏液腺癌的MRI表现