【病例】肺脓肿1例CT影像特点
发布时间:2022-10-21
发布时间:2022-10-21
[病程描述]
男,71岁,发热待查。













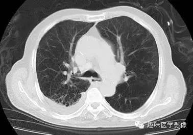
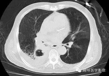
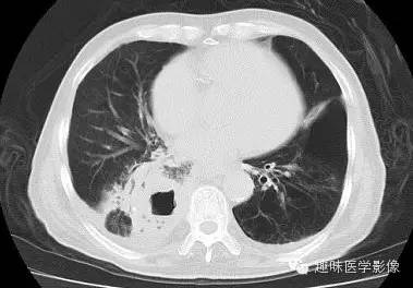
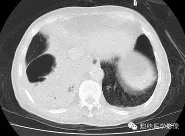
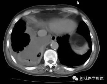
[影像描述]
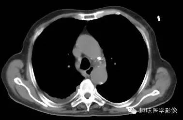
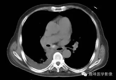
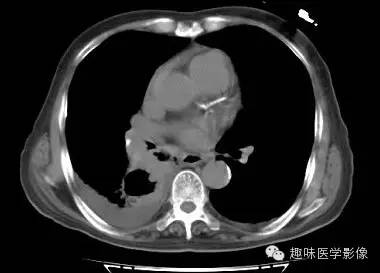
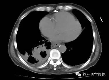
双肺多发无壁低密度区,以右肺下叶底部为主。右肺下叶见大片不规则实变阴影伴多发空洞影,实变肺组织内见支气管气象,右肺下叶支气管局部显示不清。纵隔内见淋巴结。右侧胸腔内见积液影,邻近胸膜肥厚。主动脉、冠状动脉钙化。
[检查结果]
右肺下叶肺脓肿、肺炎伴胸腔积液,肺气肿、肺大泡。
[思路]
右胸廓变小,心影右移;右肺下叶多房性空洞,空洞内未见明显液平面,右下肺病变应该是下叶阻塞性肺炎,实变肺组织内见支气管气像,邻近胸膜增厚,并合并胸腔积液,支持肺脓肿。