【病例】永存左上腔静脉1例CT影像表现
发布时间:2022-10-21
发布时间:2022-10-21
[病程描述]
女,53岁,胸憋气短。





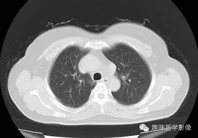
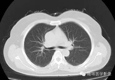
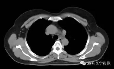
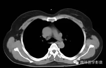
[影像描述]
两肺未见明显异常。纵隔左侧见血管影,经主动脉弓与左肺肺门之前向下走行,汇入冠状静脉窦。
[检查结果]
永存左上腔静脉
[讨论分析]
永存左上腔静脉(Persistent left superior vena cava,PLSVC),是一种常见的体静脉连接异常,可单独存在。PLSVC根据静脉引流部位不同,可分为4型:
Ⅰ型:PLSVC引流入冠状静脉窦开口入右心房;
Ⅱ型:PLSVC经冠状静脉窦引流入右心房,但与左心房间短路产生部分右向左分流;
Ⅲ型:PLSVC直接引流入左房,产生右向左分流;
Ⅳ型:PLSVC直接连接于左肺静脉。
Ⅰ型约占90%,因解剖上没发生血流动力学改变,即无明显功能上重要性;Ⅱ型、Ⅲ型、Ⅳ型因发生静脉血进入左房与氧合血混合,产生了功能上改变,类似肺静脉联接异常的病理生理变化。若不伴有其他心脏畸形,在临床上则仅表现不同程度的发绀,而无其他任何体征发现,心脏也常无杂音闻及。