【病例】双肺多发肺动静脉瘘1例CT影像表现
发布时间:2022-10-21
发布时间:2022-10-21
患者 女,56岁。活动后胸闷、气短4年,加重4月余。患者于4年前出现活动后心慌、气短。余无异常,因而未给予特殊治疗。自2012年8月上述症状逐渐加重,且口唇明显紫绀,双手轻度杵状指。
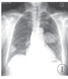
X线检查:左肺中野及右下肺野外带可见团块状密度增高影,边缘较光整,右肺团块大小约2.7 cm×3.7 cm,左肺团块大小约6.6 cm×5.0 cm,且右下肺野团块影上方可见条带状阴影与右肺门相连(图1)。X线诊断:右下肺动静脉瘘;左肺门区团块状密度增高影,建议进一步CT检查。

图1 术前平片,胸部平片显示左肺中野及右下肺野外带可见团块状密度增高影,边缘较光整,且右下肺野团块影上方可见条带状阴影与右肺门相连
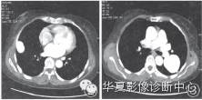
CT检查:肺窗示双肺纹理清晰,走行自然,肺野透光度可,双肺可见大小不等类圆形囊状影,边界清晰,增强扫描内可见对比剂充盈,并可见供血动脉(起自肺动脉)及引流静脉(汇人肺静脉),位于右肺者大小约为3.7 cm×2.8 cm×2.7 cm,位于左肺者大小约为6.6 cm×4.9 cm×5.0 cm,双肺门不大。纵隔窗示心影及大血管形态正常,纵隔内未见肿块及肿大淋巴结(图2~4)。CT诊断:双肺动静脉瘘。

图2,3增强扫描双肺团块状密度增高影明显强化,强化程度与主肺动脉及主动脉相一致

图4 VRT重组图像清晰显示供血动脉、引流静脉及扩大的畸形血管团
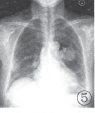
住院行介入治疗,治疗后复查胸片示:左肺团块影较前片明显缩小;右肺团块状影较前片密度明显变淡(图5)。

图5介入治疗后复查.左肺团块影较前明显缩小;右肺团块状影较前密度明显变淡
讨论:
肺动静脉瘘(pulmonary arterio-venous fistula)又称肺动静脉畸形,是肺部的动脉和静脉直接相通而引起的血流短路,多为先天性,少数可由于胸部创伤累及肺血管而形成。本病分为2型[2]:①单纯型:输入、输出血管各1条,交通血管呈瘤样扩张;②复杂型:输入及输出血管各为多条,异常的交通血管或为瘤样,常有分隔,或为迂曲的扩张血管,也可为互相连通的多支小血管。
本病多无症状,常偶然发现,较大的肺动静脉瘘主要表现为活动后呼吸困难、心慌、气短、发绀、杵状指、胸痛及红细胞增多症等。X线平片表现为单发或多发结节状密度增高影,边缘凹凸不平或有分叶,密度较均匀,边缘锐利,典型者可见一支或数支粗大扭曲的血管引向肺门,多为输入血管;CT表现除显示X线平片表现外,增强扫描病变区明显强化,多层螺旋CT增强VRT三维组可以清晰显示供血动脉、囊状扩大的畸形血管团及引流的静脉。
本病例属双肺多发单纯型肺动静脉瘘,右肺病灶较典型,X线平片及CT平扫即可明确诊断,左肺病灶供血动脉及引流血管均较短,且较大的畸形血管团并位于左肺门旁,故X线平片及CT平扫不能明确诊断,但在CT增强扫描检查时可明确诊断。